你是否正在为寻找一家靠谱的北京种植牙医院而烦恼?北京中诺口腔医院在当地声名远扬,凭借特色的技术实力、丰富的临床经验和优质的服务态度,赢得了广大患者的信赖和好评。特别是在种植牙领域,更是众多患者的优选之地。接下来,让我们深入了解北京中诺口腔医院种植牙的相关信息。

北京中诺口腔医院种植牙医生团队实力
雄厚的医生团队是关键:北京中诺口腔医院的种植牙医生团队实力强劲,他们拥有扎实的口腔科学基础和丰富的临床经验。在种植牙领域各有所长,能为患者提供个性化的治疗方案。
李时顺医生:拥有10余年口腔临床工作经验,成功完成各类口腔种植实例达10000余例。擅长微创不痛种植、前牙美学种植、即刻种植等。有朋友牙齿缺了好几颗,找李医生做种植牙,手术过程微痛,术后修复快,种上的牙齿和真牙几乎无区别。
孟岩医生:在口腔种植领域经验多、造诣深厚。从事口腔种植临床工作多年,多次参加国内外学术交流及进修学习。擅长种植美学修复、微创种植等复杂条件下的种植修复,对各类骨量不足的高难度病例经验多。曾有牙槽骨条件差的患者,孟医生成功为其完成种植手术。

北京中诺口腔医院总院种植牙医生风采
张永磊医生:深耕口腔修复与种植牙修复领域多年,擅长通过个性化方案解决复杂缺牙问题。注重将美学理念融入种植修复,能兼顾牙齿形态与面部整体协调性。结合数字化技术施术,曾为牙齿缺失重度、面部凹陷的患者制定种植方案,术后成效显著。
李时顺医生:作为总院种植科核心力量,精通即刻种植、骨增量技术及全口半口无牙颌种植修复,尤其擅长处理牙槽骨吸收导致的骨量不足问题。曾为牙槽骨吸收重度的老人成功解决缺牙问题。
孟岩医生:专注于单颗、多颗及全口种植领域,在美学种植修复方面造诣颇深。擅用动态导航技术规划种植路径,针对半口/全口缺牙患者,常采用ALL - ON - 4/6即刻负重技术,实现当天戴牙的快速修复。曾为商务人士采用该技术,当天种牙当天就能吃东西。

北京中诺口腔医院海淀分院种植牙医生特色
刘忠祥医生:毕业于哈佛大学口腔医学校,视野广阔、技术理念精良。擅长将种植技术与国人颌骨特点相结合,在穿颧种植、穿翼板种植等疑难术式上表现突出,为骨重萎缩患者提供更多修复可能。曾为骨重萎缩患者实施穿颧种植手术,解决难题。
潘火青医生:以严谨细致的手术风格著称,专攻前牙美学区种植修复。通过软组织增量技术优化牙龈形态,配合个性化基台设计,使种植牙与天然牙过渡自然流畅。为前牙缺失患者种出的牙齿外观自然。
董春强医生:深度应用3D导板种植技术,通过CBCT扫描数据重建颌骨三维模型,实现种植体位置、角度的毫米级控制。适用于多颗牙连续缺失病例,为多颗牙连续缺失患者精细定位种植体位置,手术顺利,术后修复好。

北京中诺口腔医院种植牙医生技术优势剖析
王晖医生:专注微创隐形种植,采用超声骨刀与镇静技术,实现“无刀口”操作。擅长糖尿病、高血压患者的精细化种植管理,为糖尿病患者制定全方面方案,成功完成种植手术。
李刚医生:作为“立得用”种植体系的实践者,在即刻种植与即刻修复领域有独到见解。主攻半口/全口牙缺失的即刻功能重建,通过术前数字化模拟设计,拔牙后同步完成种植体植入,术后肿胀轻微,受上班族患者青睐。

北京中诺口腔医院种植牙医生服务贴心之处
全方面贴心服务:北京中诺口腔医院的种植牙医生不仅技术不错,服务也十分贴心。他们耐心与患者沟通,了解需求和担忧,制定适合的治疗方案。手术中关注患者感受,减少痛苦。术后提供详细护理指导。
刘成医生:从事口腔临床工作10余年,完成种植病例近万颗。擅长“立得用”种植牙体系、即刻种植、即刻负重等新技术,对疑难种植病例经验多。对待患者如亲人,耐心解答疑问,术后还关心患者修复情况。

北京中诺口腔医院种植牙价格与性价比分析
合理的价格与高性价比:北京中诺口腔医院的种植牙价格合理。美国皓圣种植牙价格3470元起一颗、德国HT种植牙价格4470元起一颗、瑞典诺贝尔种植牙价格5350元起一颗、瑞士iti种植牙价格6350元起一颗、半口立得用种植牙价格3万元左右、全口种植牙价格5万元起。与其他医院相比,价格合理,医生技术和医院服务好,性价比极高。有患者对比多家医院后选择这里,种完牙对成效满意。

北京中诺口腔医院种植牙技术设备保护
精良的技术设备支撑:北京中诺口腔医院在种植牙技术设备方面投入大。引进可靠的种植牙技术和设备,采用数字化诊疗系统,确保种植牙手术的精细性和可预测性。德国卡瓦种植机、瑞士士卓曼种植系统等高端设备,为医生手术提供强力支撑,提高手术成功几率和患者舒适度。有患者看到精良设备后手术顺利,术后修复快。

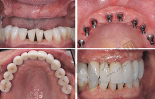
北京中诺口腔医院种植牙成功实例分享
众多成功实例见证实力:北京中诺口腔医院有特别多种植牙成功实例。老大爷牙齿全掉光,刘忠祥医生为其制定全口种植方案,术后能正常吃饭,身体修复健康。年轻女士前牙缺失,潘火青医生为其进行前牙美学区种植修复,牙齿美观,女士变得自信。

北京中诺口腔医院种植牙患者评价与口碑
良好的评价与口碑:北京中诺口腔医院的种植牙患者评价好,口碑佳。患者普遍反映医生技术好、服务周到。有的患者说手术不疼,医生操作熟练;有的称赞医院环境优雅,医护人员态度和蔼。有患者评价称种牙选择这里正确,会推荐给朋友。

北京中诺口腔医院种植牙服务流程体验
规范贴心的服务流程:北京中诺口腔医院的种植牙服务流程规范贴心。患者到院后,专精医护人员接待,了解基本情况和需求。安排全方面口腔检查,医生根据结果制定个性化治疗方案并解释内容和费用。手术严格按规范操作,术后医护人员回访并提供护理指导。有患者分享种牙体验,称赞医护人员热情专精。

北京中诺口腔医院种植牙与其他医院对比优势
显著的对比优势:和其他医院相比,北京中诺口腔医院在种植牙方面优势明显。医生团队实力雄厚,不断学习引进精良种植技术;设备精良,采用数字化诊疗系统;服务贴心,全程有专精人员跟进;价格合理,性价比高。有患者对比后选择这里,种完牙特别满意。

北京中诺口腔医院种植牙未来发展展望
广阔的发展前景:北京中诺口腔医院在种植牙领域未来发展前景广阔。随着科技进步,会引进更精良的种植技术和设备,提高种植牙质量和成效。医生团队会提升专精水平,加强与国内外口腔医疗机构交流合作。未来有望成为更多患者种植牙的优选医院。现在可通过线上渠道询问24小时客服,享受便捷的线上预约挂号服务。

评价(已有0人点评)