导语: 沧州莱恩口腔门诊部位于沧州市的核心区域,交通便利,周边有多条公交线路,方便患者前来就诊。无论是自驾还是乘坐公共交通,均可轻松抵达。医院环境优雅,设备先进,医生团队经验丰富,能够为患者提供高质量的口腔医疗服务。

沧州莱恩口腔门诊部的具体地址
想要找到沧州莱恩口腔门诊部?这里为您提供详细的地址信息,让您轻松抵达。沧州莱恩口腔门诊部的地址是:河北省沧州市御河路金鼎领域商业B区301铺。这个位置非常方便,您无论是从市区还是周边地区前来,都能轻松到达。

如何前往沧州莱恩口腔门诊部?
无论您选择自驾还是公共交通,这里有实用的交通指南,确保您顺利到达口腔门诊部。如果您选择自驾,可以通过导航直接前往金鼎领域商业区,附近有充足的停车位。如果您搭乘公交,建议搭乘16路或者158路公交车,均可在附近的站点下车,步行几分钟即可到达门诊部。对于需要更详细路线的朋友们,可以咨询(在线咨询客服),他们会提供详细的帮助。

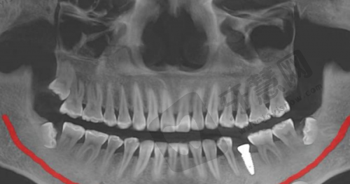
2025年种植牙的价格范围
对于考虑种植牙的朋友们,了解2025年的价格信息非常重要。根据最新的市场调查,种植牙的价格大约在4203元起,具体价格会因不同的材料和技术而有所不同。比如,韩国奥齿泰种植牙的价格为4203元起,而德国种植牙的价格则可能高达9847元。在选择种植牙时,建议您与医生详细沟通,了解适合自己的方案。

种植牙的口碑评价如何?
在选择种植牙服务时,口碑评价是关键因素之一。我们将为您分享一些真实的用户反馈。许多患者对沧州莱恩口腔门诊部的种植牙服务给予了高度评价,认为医生技术非常专业,手术过程细致,几乎没有疼痛感。患者张先生表示:“种植牙的效果非常好,跟我的真牙几乎没区别,吃东西也很舒服。”同时,医院的环境整洁、服务态度热情也得到了患者的认可。这样的口碑无疑为考虑种植牙的朋友们提供了信心。
沧州莱恩口腔门诊部的服务特色
了解沧州莱恩口腔门诊部提供的服务特色,帮助您做出更明智的选择。莱恩口腔门诊部提供多种口腔医疗服务,包括口腔身体科、外科、正畸和儿童口腔等。医院的医生团队经验丰富,特别是在种植牙和儿童正畸领域,医生张岩和何小妹分别在这方面有着十年以上的从业经验,能够为患者提供个性化的治疗方案。医院还配备了先进的医疗设备,如全景CT和数字化种植中心,确保每位患者都能享受到高质量的口腔医疗服务。

评价(已有0人点评)