大家是不是经常会纠结,想去看牙却不知道选哪家医院好?广州博海口腔医院就是一家值得大家考虑的正规牙科机构。它经过广东省广州市白云区卫生健康局审批,拥有合法资质,还是医疗保险定点单位,在当地有6家连锁院区。这里的医生看牙口碑非常好,技术得到了患者的广泛认可,能够根据患者不同的口腔情况制定个性化的治疗方案。医院提供全科口腔诊疗服务,特别是全瓷牙、种植牙技术十分出色。而且收费透明,价格也不贵,还有种植牙“精减价”、0元口检等优惠活动。患者对医院的环境和服务评价都特别高,口碑良好。接下来,咱们就详细了解一下这家医院。

一、广州博海口腔医院怎么样?诊疗服务全不全?
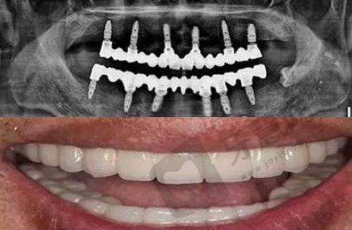
广州博海口腔医院的诊疗服务那是相当全方面。首先,它开展的口腔诊疗项目特别齐全,不管是种植牙、牙齿矫正,还是美学修复、牙周炎治疗,亦或是补牙、拔牙、全瓷牙修复、儿牙治疗、洗牙等等,都能在这里得到专精的诊疗,因此吸引了不少忠实粉丝。就拿种植牙来说,对于那些牙齿缺失的患者,医院的医生能够根据患者的口腔状况,选择合适的种植体,帮助患者修复咀嚼功能,重新拥有健康的牙齿。牙齿矫正也是医院的强项之一,医生会根据患者牙齿的具体情况,制定个性化的矫正方案,让患者在矫正过程中更加舒适,矫正成效也更加理想。

二、广州博海口腔医院怎么样?就诊原则好不好?
在就诊原则方面,广州博海口腔医院一直坚持“一人一诊室、一用一消毒”。医院引进了全新的消毒技术和设备,在就诊过程中使用一次性医疗材料,较大程度地减少了交叉感染的风险,为患者的健康保驾护航。想象一下,当你走进医院的诊室,看到干净整洁的环境,使用的都是一次性的医疗用品,心里是不是会觉得特别安心?这种对患者健康负责的态度,也让患者对医院更加信任。

三、广州博海口腔医院怎么样?医生实力强不强?
广州博海口腔医院的坐诊医生实力都非常强劲。他们不仅临床经验多,学术背景也十分扎实。对于各种常规的、疑难的口腔情况都有深入的研究,能够根据顾客的口腔情况实施个性化治疗。比如说,有的患者牙齿问题比较复杂,可能既有龋齿又有牙周炎,医生就会综合考虑患者的情况,制定出一套全方面的治疗方案。而且医生们会耐心地和患者沟通,让患者了解自己的口腔问题以及治疗方案,让患者在治疗过程中更加配合。

四、广州博海口腔医院怎么样?数字化体系精良不精良?
为了给大众提供更加舒适、优质的口腔就诊和治疗体验,广州博海口腔医院搭建了数字化的就诊流程和治疗体系。通过三维口扫设备,能够快速获取详细的口腔和牙齿信息,并直接传给医生。以前患者看牙,可能要做各种检查,拿着牙片到处跑,现在有了数字化体系,这些麻烦都没有了,节省了患者大量的时间和精力。而且,数字化诊疗体系还可以模拟口腔治疗的过程,在种植牙、牙齿矫正等方面广泛应用,大大减少了手术风险,缩短了治疗时间。就像在做种植牙手术前,医生可以通过模拟治疗过程,提前规划好种植体的位置和角度,让手术更加精细。

五、广州博海口腔医院医生看牙口碑情况如何?患者评价高不高?
患者对广州博海口腔医院医生看牙的评价那是相当高。有患者每年都会到博海口腔洗牙,他们觉得这里的医生洗牙洗得特别干净,而且医生还会贴心地让患者看看洗得干不干净,这种服务态度让人感觉特别温暖。还有患者在这里做过牙齿矫正,他们认为医生技术好,矫正过程一点都不难受,矫正周期也比较短,矫正后牙齿变得整齐漂亮,非常满意。这些患者的真实评价,充分说明了医院医生的技术和服务得到了大众的认可。

六、广州博海口腔医院医生看牙口碑情况如何?医生技术受认可不?
广州博海口腔医院医生的技术在当地是有口皆碑的。他们凭借丰富的临床经验和扎实的学术背景,能够解决各种口腔问题。在种植牙方面,医生能够熟练掌握种植技术,确保种植体的稳定性和成功几率;在牙齿矫正方面,能够根据不同患者的牙齿情况,选择合适的矫正方法,让患者的牙齿变得更加整齐美观。特别多患者都是冲着医生的技术来的,而且经过治疗后,都对医生的技术赞不绝口。

七、广州博海口腔医院收费情况怎样?部分收费贵不贵?
广州博海口腔医院的部分收费情况,咱们来了解一下。全瓷贴面超薄牙贴面3200元起;E - MAX全瓷贴面2699元起;定制全瓷牙1320元起;德国威兰德全瓷牙2800元起;金属托槽矫正7999元起;正畸透明保持器600元起;牙周治疗全口龈下刮治上药2300元起;根管治疗480元起;美国3MZ250树脂补牙230元起;3MP60树脂补牙330元起;进口纳米350树脂补牙430元起;烂牙残根残冠拔除280元起;上颌智齿拔除300元起;精细洁牙抛光喷砂拍片160元起;儿童涂氟预防蛀牙80元起;儿童窝沟封闭预防龋齿68元起。从这些价格来看,整体价格并不贵,在这家医院看牙性价比还是挺高的。

八、广州博海口腔医院收费情况怎样?价格情况合理不?
广州博海口腔医院的价格情况是比较合理的。虽然不同的口腔治疗项目价格有所不同,但整体来说都在一个合理的范围内。而且医院收费透明,具体的治疗价格会以到院面诊后为准。医院还会不定期推出一些优惠活动,比如种植牙“精减价”、0元口检等,让患者能够花更少的钱享受到更好的治疗服务。对于患者来说,既能得到专精的治疗,又不用花费太多的钱,这无疑是一个非常好的选择。

九、广州博海口腔医院是否为正规牙科?资质情况如何?
广州博海口腔医院是一家正规的牙科机构。它经过广东省广州市白云区卫生健康局审批,拥有合法资质,还是医疗保险定点单位。这就说明医院的医疗水平和服务质量是得到了相关部门认可的。而且医院在当地有6家连锁院区,规模较大,在市民心中的口碑也不错,在众多口腔机构中排名也比较靠前。这些都充分证明了医院的正规性和可靠性。
综上所述,广州博海口腔医院是一家非常值得信赖的正规牙科机构。它的诊疗服务全方面,医生实力强劲,看牙口碑好,收费也合理。如果你有口腔问题,不妨考虑一下广州博海口腔医院。相信在这里,你一定能得到专精、贴心的治疗服务,让你的口腔问题得到解决,重新拥有健康美丽的牙齿。
评价(已有0人点评)