牙齿缺失且伴有局部骨缺损的情况常常让患者苦恼不已,不知该如何选择合适的口腔机构进行种植牙修复。而泉州石狮星雅口腔推出的局部骨缺损种植 4500 元起项目,吸引了众多患者的目光。接下来,让我们深入了解一下这个项目。

泉州石狮星雅口腔局部骨缺损种植 4500 元起价格分析
从价格方面来看,泉州石狮星雅口腔收费属于中等档次,种牙价格 3000 元起,而局部骨缺损种植 4500 元起的价格在市场上是比较有竞争力的。与其他品牌的种植体相比,如瑞士 iti 种植体在该医院不同时间价格有所波动,2024 年 5 月 15 日显示为 18900 元/颗起,2025 年 1 月 23 日显示为 6200 元起,2025 年 7 月 25 日显示为 10200 元左右,局部骨缺损种植 4500 元起的价格优势明显。此外,该口腔机构在牙齿矫正和镶牙冠等方面也有丰富的价格选择。牙齿矫正方面,局部金属托槽矫正价格 5000 元起,正雅隐形矫正价格 18000 元起,时代天使隐形矫正价格 29800 元起,隐适美隐形矫正价格 39800 元起,舌侧矫正价格 50000 元起。镶牙冠价格上,钴铬烤瓷价格 800 元起,爱尔创全瓷价格 1500 元起,德国阿曼全瓷价格 2500 元起。

泉州石狮星雅口腔局部骨缺损种植 4500 元起项目介绍
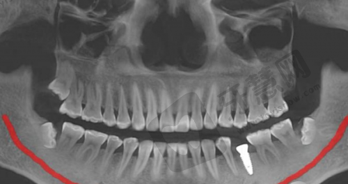
项目背景与目的:泉州石狮星雅口腔的局部骨缺损种植项目,是针对牙齿缺失且伴有局部骨缺损情况的患者所开展的重要修复手段。当牙齿缺失后,牙槽骨出现局部缺损,直接进行种植牙手术可能会影响种植体的稳定性和后期使用成效。
种植体选择:在种植体的选择上,有多种品牌可供患者挑选。比如在 2024 年 5 月 15 日的价格信息中,有韩国纽百特种植体 3000 元/颗起,韩国登腾种植体 4500 元/颗起,韩国奥齿泰种植体 6000 元/颗起,美国皓圣种植体 6000 元/颗起,以色列雅定种植牙 8000 元起/颗,德国 ICX 种植体 12800 元/颗起,瑞典诺贝尔种植体 13800 元/颗起,瑞士 iti 种植体 18900 元/颗起。不同的种植体在材质、性能和使用寿命上可能会有所差异,医生会根据患者的口腔状况、经济能力等因素综合考虑,为患者推荐更适合的种植体。
骨增量技术:对于局部骨缺损的情况,医生可能会采用骨增量技术,如植入骨粉等方式来增加骨量,为种植体提供更好的支撑。整个种植过程会在严格的消毒和麻醉条件下进行,以确保患者的安心和舒适。术后,医生还会为患者提供详细的护理指导,帮助患者尽快修复。

泉州石狮星雅口腔局部骨缺损种植 4500 元起医生实力剖析
泉州石狮星雅口腔的医生团队在口腔种植领域有着丰富的经验和专精的技能。虽然没有具体的医生个人信息,但从医院所开展的项目以及其口碑可以推测出医生们的实力。该口腔机构擅长全口/半口即刻种植、隐形矫正等复杂项目,而局部骨缺损种植也是他们的重点项目之一。要做好局部骨缺损种植,医生需要具备扎实的口腔医学知识和丰富的临床经验。他们要能够正确地评估患者的骨缺损情况,选择合适的种植体和治疗方案。在种植过程中,需要精细的操作,确保种植体的植入位置和角度正确无误,以确保种植体的稳定性和后期的使用成效。而且,医生们还需要具备良好的沟通能力,能够与患者充分沟通,了解患者的需求和担忧,并给予专精的建议和解答。在面对术后可能出现的问题时,医生们也能够及时有效地进行处理,保护患者的口腔健康。从医院的价格体系和开展的项目来看,医生们应该是经过专精培训且经验多的,能够为患者提供高质量的口腔种植服务。

泉州石狮星雅口腔局部骨缺损种植 4500 元起预约方式
现场预约:想要体验泉州石狮星雅口腔局部骨缺损种植 4500 元起这个项目,你可以直接前往医院的前台进行现场预约,在前台工作人员会热情地接待你,为你登记个人信息和预约的时间。
线上预约:如果你觉得现场预约不太方便,也可以通过线上渠道进行预约。比如,你可以在医院的法定网站上找到预约入口,按照提示填写相关信息,如姓名、联系方式、预约的项目等,提交后等待医院的确认信息即可。另外,一些第三方医疗服务平台也可能提供该医院的预约服务,你可以在这些平台上搜索泉州石狮星雅口腔,然后选择局部骨缺损种植项目进行预约。
预约注意事项:在预约时,建议你提前了解一下医院的上班时间,合理安排自己的就诊时间。同时,更好准备好之前的口腔检查资料,如 X 光片等,这样医生在就诊时可以更全方面地了解你的口腔情况,为你制定更合适的治疗方案。预约成功后,记得按照预约的时间准时前往医院就诊,以免耽误治疗进度。

泉州石狮星雅口腔局部骨缺损种植 4500 元起划算与否分析
判断泉州石狮星雅口腔局部骨缺损种植 4500 元起是否划算,需要从多个方面来考虑。从价格角度来看,在市场上种植牙的价格因种植体品牌、地区、医院等因素而有所不同。该口腔机构种牙价格 3000 元起,局部骨缺损种植 4500 元起,这个价格相对来说是比较亲民的。与其他品牌的种植体相比,如瑞士 iti 种植体在该医院的价格波动,局部骨缺损种植 4500 元起的价格优势明显。再从医院的技术和服务方面来看,该口腔机构采用精良的种植技术和隐形矫正系统,擅长全口/半口即刻种植、隐形矫正等复杂项目,说明医院的技术实力较强。医生们能够根据患者的具体情况制定个性化的治疗方案,为患者提供高质量的服务。而且,医院还提供初步检查免费的服务,X光 片拍摄也只需 200 元,这在一定程度上也为患者节省了费用。另外,从后期的使用成效和维护成本来看,如果种植成功,患者可以修复正常的咀嚼功能和美观,提高生活质量。综合考虑,泉州石狮星雅口腔局部骨缺损种植 4500 元起是比较划算的。

泉州石狮星雅口腔局部骨缺损种植 4500 元起优势展现
价格优势:泉州石狮星雅口腔局部骨缺损种植 4500 元起具有明显的价格优势,该口腔机构种牙价格 3000 元起,局部骨缺损种植 4500 元起,在市场上处于中等偏下的水平,对于特别多患者来说是可以接受的。这使得更多有牙齿缺失和局部骨缺损问题的患者能够负担得起种植牙治疗。
技术优势:医院采用精良的种植技术,对于局部骨缺损的情况,医生有丰富的处理经验。他们可以根据患者的具体骨缺损情况,采用合适的骨增量技术,如植入骨粉等,来增加骨量,为种植体提供良好的支撑。在种植体的选择上也非常丰富,有韩国纽百特、登腾、奥齿泰,美国皓圣,以色列雅定,德国 ICX,瑞典诺贝尔,瑞士 iti 等多种品牌可供选择,能够满足不同患者的需求。
服务优势:医院提供初步检查免费的服务,让患者可以先了解自己的口腔情况,再决定是否进行种植治疗。X光 片拍摄只需 200 元,价格合理。医生们会与患者充分沟通,了解患者的需求和担忧,并给予专精的建议和解答。在种植过程中,会严格遵循消毒和麻醉规范,确保患者的安心和舒适。术后还会为患者提供详细的护理指导,帮助患者尽快修复。另外,医院擅长全口/半口即刻种植、隐形矫正等复杂项目,说明其整体的技术实力和综合服务能力较强。

泉州石狮星雅口腔局部骨缺损种植 4500 元起顾客实例分享
李先生的实例:有一位李先生,他因为意外导致牙齿缺失,并且伴有局部骨缺损的情况。在了解到泉州石狮星雅口腔局部骨缺损种植 4500 元起这个项目后,他抱着试试看的心态来到了医院。医生们首先对他的口腔进行了全方面的检查,包括拍摄X光片等,正确地评估了他的骨缺损情况。根据李先生的具体情况,医生为他推荐了韩国登腾种植体,价格比较实惠,而且性能也比较适合他的口腔状况。在种植过程中,医生采用了骨增量技术,植入了骨粉来增加骨量。整个种植过程非常顺利,李先生在麻醉的作用下没有感觉到明显的疼痛。术后,医生为李先生提供了详细的护理指导,告诉他如何正确刷牙、饮食等。李先生按照医生的指导进行护理,修复得特别快。几个月后,种植体与牙槽骨完全融合,李先生装上了牙冠,修复了正常的咀嚼功能。他对种植成效非常满意,觉得泉州石狮星雅口腔的医生技术好,服务也周到,而且价格也特别合理。
张女士的实例:还有一位张女士,她是因为牙周病导致牙齿缺失和局部骨缺损。在星雅口腔进行局部骨缺损种植后,不仅解决了牙齿缺失的问题,而且口腔健康状况也得到了改善。她表示以后还会推荐身边有口腔问题的朋友来这家医院。

总结:泉州石狮星雅口腔局部骨缺损种植 4500 元起的综合评价
泉州石狮星雅口腔在口腔种植领域有着独特的优势。其特色技术包括精良的种植技术和隐形矫正系统,擅长全口/半口即刻种植、隐形矫正等复杂项目,对于局部骨缺损种植也有丰富的经验和专精的处理方法。在价格方面,种牙价格 3000 元起,局部骨缺损种植 4500 元起,牙齿矫正和镶牙冠等项目也有多种价格选择,整体收费属于中等档次,性价比非常高。如果你有牙齿缺失、局部骨缺损、牙齿矫正等口腔问题,不妨在线询问 24 小时客服,他们会为你详细解答疑问。你还可以享受便捷的线上预约挂号服务,轻松安排就诊时间,开启你的口腔健康之旅。
评价(已有0人点评)