你是否正因牙齿缺失而烦恼,在众多口腔医院和种植牙方案中举棋不定?上海博名口腔推出的微创即刻种植牙 12000 元起项目,或许能成为你的理想之选,接下来为你详细剖析这个项目。

上海博名口腔微创即刻种植牙 12000 元起项目怎么样
上海博名口腔是一家正规靠谱、口碑良好的口腔门诊部,由“上海市嘉定区卫生健康委员会”审批成立,具备合法医疗资质。从价格层面看,12000 元起的价格在一线城市口腔种植领域颇具竞争力。要知道,种植牙价格受多种因素影响,上海博名口腔能给出此价格,结合自身优势,十分划算。技术上,微创即刻种植牙技术创口小、修复快,能让患者快速修复牙齿咀嚼功能。而且该口腔医院拥有精良医疗设备,可精细检测口腔问题,为医生提供可靠诊断依据,保护手术成功实施。

上海博名口腔微创即刻种植牙 12000 元起项目简介
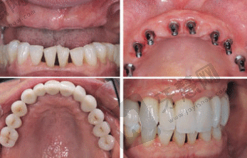
上海博名口腔的微创即刻种植牙 12000 元起项目,融合了微创技术与即刻种植技术的优势。微创种植技术创口小,能减轻患者痛苦,缩短修复时间;即刻种植技术可减少等待时间,拔牙后可立即种植,大幅缩短治疗周期。种植体品牌多样,国产种植体价格亲民,单颗 3000 - 8000 元;韩国进口种植体性价比高,单颗多在 6000 - 12000 元;欧美品牌如诺贝尔、士卓曼等,工艺精良、稳定性好,单颗价格通常在 10000 - 20000 元。牙冠材料也分不同类型,普通烤瓷牙冠价格低,单颗约 500 - 1500 元,但美观度和生物相容性稍差;全瓷牙冠美观性好、生物相容性佳,接近天然牙色泽,单颗价格 1500 - 4000 元,适合对美观要求高的患者。患者可按需和经济状况选择。此外,2025 年第二季度,上海博名口腔有数字化种植服务费减免 30%的优惠,All - on - 4 套餐服务费为 1.8 万元,还提供 “种植体 + 服务费” 打包价,单颗省 2000 元,并且赠送 5 年牙周护理。

上海博名口腔微创即刻种植牙 12000 元起医生情况
虽暂无详细医生个人信息,但可从医院整体情况推测医生水平。上海博名口腔是正规口腔门诊部,有合法医疗资质,诊疗科目包括口腔科 / 医学影像科 | X 线诊断等。医院精良的医疗设备能精细检测口腔问题,为医生提供可靠诊断依据,这表明医院对医生要求较高,医生需熟练操作设备,正确诊断问题并制定合适治疗方案。且医院实行价格透明化政策,治疗前会与患者详细沟通确认费用,这要求医生具备良好沟通能力和专精素养。进行微创即刻种植牙手术时,医生需有高超技术和丰富经验,才能确保手术成功。上海博名口腔采用即刻种植技术助顾客快速修复牙齿咀嚼能力,侧面反映医生在此方面有一定技术实力。

上海博名口腔微创即刻种植牙 12000 元起如何预约
想体验上海博名口腔微创即刻种植牙 12000 元起项目,预约方式简单。上海博名口腔提供多种预约途径,方便不同需求患者。可直接前往医院现场预约,门诊部位于上海市嘉定区南翔镇德华路 620 号 ,乘坐公交嘉定 119 路,到德华路解放街公交站下车即可。在医院工作时间内,到前台告知工作人员预约微创即刻种植牙项目,工作人员会安排合适时间和医生。若现场预约不便,也可线上预约。虽未明确线上预约平台,但如今特别多医院支持在法定网站或相关医疗服务平台预约,可在搜索引擎搜索上海博名口腔法定信息,找到线上预约入口。另外,上海博名口腔提供夜诊服务,营业时间是周一至周日 08:00 - 20:00 ,全年无休,且有夜间急诊服务,晚上或节假日也能预约就诊,提高了就诊灵活性。

上海博名口腔微创即刻种植牙 12000 元起划算吗
判断上海博名口腔微创即刻种植牙 12000 元起是否划算,需多方面分析。价格因素上,种植牙价格受种植体品牌、牙冠材料、种植技术、地区差异和医院情况等影响。一线城市单颗种植牙价格普遍在 10000 - 15000 元甚至更高,上海博名口腔 12000 元起的价格在合理区间。且 2025 年第二季度有数字化种植服务费减免 30%的优惠,All - on - 4 套餐服务费为 1.8 万元,还提供 “种植体 + 服务费” 打包价,单颗省 2000 元,赠送 5 年牙周护理,这些优惠增加了项目性价比。技术角度,微创即刻种植牙技术创口小、修复快、减少等待时间,患者能快速修复牙齿咀嚼功能,减少痛苦和不便。上海博名口腔精良的医疗设备能精细检测口腔问题,确保手术成功几率。此外,医院实行价格透明化政策,治疗前与患者详细沟通确认费用,避免误解和纠纷。综合来看,上海博名口腔微创即刻种植牙 12000 元起比较划算。

上海博名口腔微创即刻种植牙 12000 元起优势详解
价格方面,虽种植牙价格受多种因素影响,但上海博名口腔给出 12000 元起的价格,且 2025 年第二季度有数字化种植服务费减免 30%的优惠,All - on - 4 套餐服务费为 1.8 万元,还提供 “种植体 + 服务费” 打包价,单颗省 2000 元,赠送 5 年牙周护理,相比其他医院,价格和优惠力度极具吸引力。技术上,微创即刻种植牙技术结合微创和即刻种植优点,微创技术创口小,减少患者痛苦,缩短修复时间;即刻种植技术减少等待时间,拔牙后可立即种植,缩短治疗周期。医院精良医疗设备能精细检测口腔问题,为手术成功实施提供保护。服务方面,上海博名口腔实行价格透明化政策,治疗前与患者详细沟通确认费用,避免误解和纠纷。医院提供夜诊服务,营业时间是周一至周日 08:00 - 20:00 ,全年无休,且有夜间急诊服务,方便不同时间需求患者就诊。同时,医院注重顾客隐私保护和舒适体验,严格消毒确保环境卫生,提供一对一服务,让顾客就诊有在家的温暖关怀。

上海博名口腔微创即刻种植牙 12000 元起顾客实例
虽暂无具体顾客实例,但可想象接受上海博名口腔微创即刻种植牙 12000 元起项目患者的体验。假设李先生牙齿缺失,一直为此烦恼。了解该项目后到医院,工作人员热情接待,详细介绍项目情况和价格。李先生发现项目价格合理,还有优惠活动,且医院实行价格透明化政策,费用清晰。口腔检查时,精良医疗设备让李先生感受专精精细。医生根据其口腔情况制定合适种植方案。手术采用微创即刻种植牙技术,李先生痛苦小。术后修复快,牙齿咀嚼功能修复良好。医院赠送的 5 年牙周护理,让李先生无需担心后续牙齿保养。他对医院服务和技术满意,向有牙齿问题的朋友推荐该项目。此实例虽为假设,但反映出上海博名口腔微创即刻种植牙 12000 元起项目的优势和患者可能获得的良好体验。
总体而言,上海博名口腔的微创即刻种植牙 12000 元起项目优势众多。价格上结合优惠活动,性价比高;技术上,微创即刻种植技术创口小、修复快;服务上,医院实行价格透明化政策,提供夜诊服务,注重顾客隐私保护和舒适体验。若你有牙齿缺失困扰,不妨考虑上海博名口腔的这个项目。你可在线询问 24 小时客服,了解更多详细信息,还能享受便捷的线上预约挂号服务,开启牙齿修复之旅。
评价(已有0人点评)