在牙齿修复领域,全瓷牙和烤瓷牙是特别多人会考虑的选择。但全瓷牙与烤瓷牙有什么区别呢?这是不少人心中的疑问。今天,我们不仅会详细探讨全瓷牙和烤瓷牙的区别,还会给大家介绍一家收费透明且口碑良好的口腔机构——邳州牙卫士口腔。

全瓷牙与烤瓷牙有什么区别之基本概念
首先,咱们来了解一下烤瓷牙。烤瓷牙,也就是烤瓷熔附金属全冠,也被叫做金属烤瓷联合冠。它是瓷粉经过高温烧结熔附于金属内冠表面而形成的全冠修复体。这种牙齿修复方式已经流行了十几年,所以特别多牙齿缺失患者一提到修复牙齿,首先就会想到烤瓷牙。它在强度方面有一定优势,能够承受较大的咀嚼压力,外观也相对自然,能和周围牙齿颜色相匹配。
而全瓷牙其实也是假牙的一种,属于口腔修复中的一种修复体。它之所以被称为全瓷牙,是因为这种假牙中不含任何的金属层,完全是由陶瓷切削烧制而成的。全瓷牙采用与牙齿颜色相近的高强度瓷材料制成内冠,具有对周边组织无刺激等优点,在临床上被广泛应用,尤其是在前牙美学修复时经常被选用。
从基本概念上我们就能看出,两者的材质构成有较大不同,这也为它们在后续的性能、外观等方面的差异埋下了伏笔。

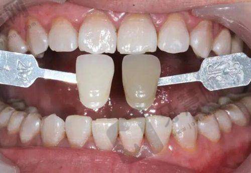
全瓷牙与烤瓷牙有什么区别之外观真实度
在外观真实度方面,烤瓷牙和全瓷牙有着明显的差异。烤瓷牙由于金属内冠的不透明,需要用不透明瓷来遮盖金属基底,这就影响了修复体的透明度。所以烤瓷牙美容后会有明显的白垩色,看起来苍白、虚假,特别是在牙颈部,还会有金属基底造成的“黑线”,重度影响美观。比如说,有些人做完烤瓷牙后,从侧面看牙齿,能明显看到牙颈部的黑线,这在一定程度上破坏了整体的美观度。
全瓷牙则不同,它有良好的透明性与折光性,高强度的内冠解决了美观方面的难题。全瓷牙能够使牙颈部也达到良好的美观成效,看起来更加自然,就像真牙一样。特别多对美观要求较高的患者,比如演员、模特等职业人群,会更倾向于选择全瓷牙来修复牙齿,以确保在各种场合下牙齿都能呈现出理想的状态。
所以,如果您特别在意牙齿的外观真实度,希望修复后的牙齿能够以假乱真,那么全瓷牙会是一个更好的选择。

全瓷牙与烤瓷牙有什么区别之牙齿黑线问题
烤瓷牙存在一个比较常见的问题,就是牙齿出现黑线。这是因为烤瓷牙的金属在口腔内会氧化形成灰色氧化物,这些氧化物会散在沉积到牙龈边缘。长期下来,就会造成牙龈根部出现发黑或发灰的现象,重度影响美观。而且这种黑线一旦出现,特别难通过日常的口腔清洁去除,只能通过重新修复牙齿等方式来解决。
全瓷牙则没有牙齿黑线的困扰。由于全瓷牙不含金属层,不会产生金属氧化的问题,所以牙龈根部不会出现发黑或发灰的情况。这对于那些注重牙齿美观,不希望牙齿出现任何瑕疵的人来说,是全瓷牙的一个重要优势。
牙齿黑线问题虽然看似只是一个美观上的小问题,但实际上会对人的心理产生一定的影响。特别多人因为牙齿有黑线而不敢开怀大笑,影响了自信心。所以在选择牙齿修复方式时,牙齿黑线问题是一个需要考虑的因素。

全瓷牙与烤瓷牙有什么区别之磨损程度
从磨损程度来看,烤瓷牙和全瓷牙也有较大差别。烤瓷牙的硬度大于牙釉质,在咀嚼过程中,它可能会对与之相对的牙齿造成磨损。长期使用烤瓷牙,可能会导致对颌牙的牙釉质受损,影响对颌牙的健康。比如说,有些人在安装烤瓷牙后,发现对颌牙出现了敏感等问题,这可能就是烤瓷牙过度磨损对颌牙导致的。
全瓷牙的硬度与牙釉质近似,在咀嚼过程中,它不会对颌牙造成明显的磨损。这就确保了对颌牙的健康,减少了因为牙齿修复而带来的其他牙齿问题。而且全瓷牙自身的磨损也相对较小,能够在较长时间内保持良好的状态。
牙齿的磨损程度不仅关系到牙齿的健康,还会影响牙齿修复体的使用寿命。如果牙齿磨损重度,可能需要频繁更换修复体,增加了治疗成本和患者的痛苦。所以在选择烤瓷牙还是全瓷牙时,磨损程度是一个需要重点考虑的因素。

全瓷牙与烤瓷牙有什么区别之内外结合材质
烤瓷牙是金属和瓷相结合的。不过它们的结合只是薄弱的一层,在实际使用中,常常可以看见两者间是有间隙存在的。当看到牙齿有灰黑的金属症状时,就是因为它们分离的结果。这种分离不仅会影响牙齿的美观,还可能导致细菌等进入间隙,引发牙齿炎症等问题。
全瓷牙里外都是瓷性物质,两者结合更加贴切。由于没有金属和瓷结合的间隙问题,全瓷牙的整体性更好,能够更好地抵御细菌的侵入,减少牙齿疾病的发生。而且全瓷牙的这种材质结构也使得它在外观上更加统一,不会出现因为材质分离而导致的颜色差异等问题。
内外结合材质的不同,使得全瓷牙在稳定性和健康性方面更具优势。对于那些希望牙齿修复后能够长期保持良好状态,减少牙齿疾病发生的患者来说,全瓷牙是一个更可靠的选择。

全瓷牙与烤瓷牙有什么区别之价格差异
在价格方面,全瓷牙和烤瓷牙也有明显的不同。全瓷牙在制作过程和医生技术上把控都有比较高的要求。它需要使用进口的切割机等设备,制作工艺也更加复杂,所以相应的在价格上比较高。一般来说,做全瓷牙的价格在两千以上,具体价格还会根据患者的具体需求和所选材料进行个性化定价。
烤瓷牙在制作工序上相对简单便捷,成本较低。所以,烤瓷牙的价格相对要低一些。在邳州牙卫士口腔,烤瓷牙的基础制作费用为300元起,具体价格依据材料选择和制作工艺而定。一般做烤瓷牙的费用在几百到两千之间。
价格差异是特别多患者在选择牙齿修复方式时会考虑的重要因素。如果您的经济条件允许,并且对牙齿的美观、健康等方面有较高的要求,那么全瓷牙可能更适合您;如果您的预算有限,烤瓷牙也是一个可以考虑的选择。

全瓷牙与烤瓷牙有什么区别之其他性能差异
从硬度和抗裂程度来看,烤瓷牙的硬度更好,但比较脆;在抗裂程度上烤瓷牙比全瓷牙更好。不过在耐磨性方面,全瓷牙又更胜一筹。所以在选择时,需要综合多个方面的因素考虑。比如,如果您经常咀嚼较硬的食物,可能需要更注重牙齿的抗裂程度和硬度,那么烤瓷牙可能更合适;如果您更关注牙齿的长期使用和耐磨性能,全瓷牙会是更好的选择。
在颜色变化方面,烤瓷牙一旦时间久了就容易变色;而全瓷牙基本不会出现这种情况,因为它里外用的都是全瓷粉。这对于那些希望牙齿能够长期保持美观颜色的患者来说,全瓷牙具有较大的优势。
在安装过程上,一般而言烤瓷牙的安装过程要比全瓷牙更加繁琐。这就意味着患者可能需要花费更多的时间和精力在烤瓷牙的安装上。而且繁琐的安装过程也可能增加一些不确定性和风险。

邳州牙卫士口腔介绍
邳州牙卫士口腔是一家备受好评的口腔机构。它的收费标准透明公开,让患者看牙无忧。在种植牙方面,基础费用从2980元起,具体价格会根据患者的口腔状况、所选种植体品牌及手术难度有所调整。牙齿矫正基础费用从4999元起,提供多种矫正方案,包括传统金属托槽、陶瓷托槽及隐形矫正等,确保每位患者都能找到适合自己的矫正方式。
对于烤瓷牙和全瓷牙,邳州牙卫士口腔也有明确的收费标准。烤瓷牙的基础制作费用为300元起,全瓷牙基础费用为500元起,同样会根据患者的具体需求和所选材料进行个性化定价。这样透明的收费标准,让患者在看牙前就能心中有数,不用担心会有额外的费用。
除了收费透明,邳州牙卫士口腔还有特别多看牙优势。它拥有一支由老牌口腔医师组成的团队,他们临床经验多,技术纯熟,能够为患者提供齐全、精细的诊疗服务。诊所还配备了国内外新型的口腔诊疗设备,如数字化口腔扫描仪、激光治疗仪等,提高了诊疗的精细度和舒适度。同时,诊所注重营造温馨舒适的就诊环境,从装修风格到服务态度,都力求让患者感受到家一般的温暖。而且每位患者来诊前,都会进行详细的口腔检查,并根据检查结果制定个性化的治疗方案,确保治疗成效较大化。
特别多市民对邳州牙卫士口腔给出了真实的评价。张阿姨说:“我之前一直担心看牙贵,但来到牙卫士后,发现他们的价格特别透明,而且医生技术好,服务态度也特别好,让我感觉特别安心。”小李同学表示:“我选择在这里做牙齿矫正,主要是看中了他们的可靠性和性价比。现在矫正成效特别明显,人也自信多了。”王叔叔说:“我的烤瓷牙就是在牙卫士做的,价格合理,质量也非常好,朋友们都说看起来跟真牙一样。”赵女士评价:“全瓷牙的体验太棒了,做完后牙齿不仅美观,而且使用起来也特别舒适,完全不影响日常生活。”
综上所述,全瓷牙和烤瓷牙在多个方面存在明显的区别。在选择牙齿修复方式时,大家需要综合考虑自己的需求、经济条件等因素。而邳州牙卫士口腔以其透明的收费标准、可靠的医疗团队、良好的诊疗设备以及优质的患者口碑,是您看牙的一个不错选择。希望大家都能拥有健康、美观的牙齿。
评价(已有0人点评)