在口腔健康备受关注的今天,选择一位专精靠谱的口腔医生至关重要。北京优米口腔门诊部(天通西苑店)的李谦医生,就是众多患者信赖的口腔骨干医生。下面为大家详细介绍李谦医生的相关信息。

李谦医生怎么样
李谦医生任职于北京优米口腔门诊部(天通西苑店),是一位专精的主治医师。他擅长多种口腔治疗项目,包括根管治疗、补牙、洗牙、牙齿美白等,在成人和儿童口腔诊疗方面都积累了丰富的经验。在根管治疗中,他能够精细定位病灶,有效清除感染组织,较大程度保留患者的天然牙齿。其补牙技术不错,会根据患者情况选择合适的材料,补后的牙齿坚固耐用。对于儿童正畸、儿童补牙和儿童预成冠等儿童口腔项目,他耐心细致,能根据孩子的特点制定个性化方案,深受患者和家长的信任与好评。

李谦医生手术费用情况
李谦医生开展的手术项目费用因项目不同而有所差异。根管治疗的费用一般在 800 - 2000 元左右,具体会根据牙齿的位置和根管的复杂程度而定。补牙的费用大概在 200 - 800 元,这取决于补牙材料的选择。洗牙的价格通常在 100 - 300 元。牙齿美白的费用在 1000 - 3000 元。智齿拔除的费用因智齿的生长情况不同,在 300 - 2000 元。牙齿贴片的价格在 2000 - 5000 元每颗。烤瓷牙的费用在 800 - 3000 元每颗。活动义齿的价格在 1000 - 5000 元。儿童正畸的费用在 5000 - 20000 元,儿童补牙费用在 100 - 500 元,儿童预成冠的费用在 300 - 1000 元。

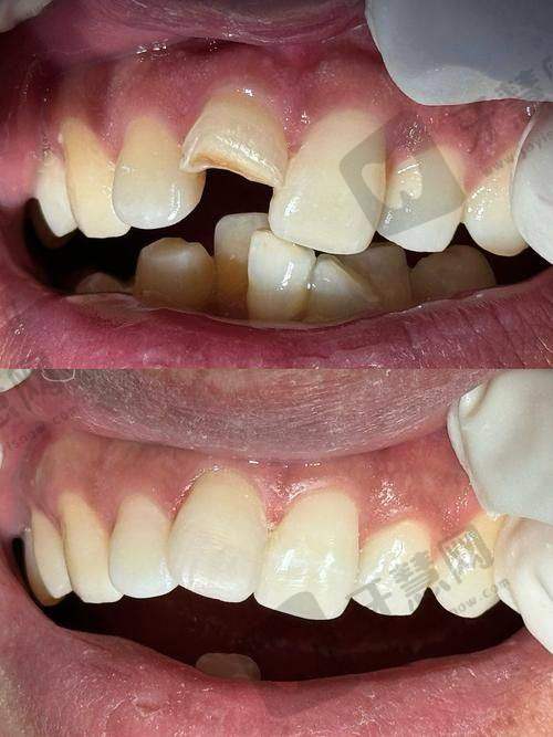
李谦医生做完手术的感受
有患者分享,之前找李谦医生做了根管治疗。手术前心里特别紧张,害怕会特别疼。李医生特别耐心地给患者讲解整个过程,让患者放松了不少。手术过程中,他操作非常轻柔,打麻药的时候也不怎么疼,而且时刻关注患者的感受。做完手术后,牙齿虽然有点轻微的不适,但在可承受范围内。按照李医生的嘱咐进行护理,修复得特别快。现在牙齿已经完全不疼了,能正常吃东西。患者对这次治疗非常满意,特别感谢李医生的专精和负责。

李谦医生真实评价
患者们对李谦医生的评价都非常高。特别多患者表示李医生医术不错,在治疗过程中能够正确诊断病情,并给出至佳的治疗方案。他对待患者态度和蔼可亲,有耐心,会详细解答患者的疑问。在儿童口腔治疗方面,他特别有办法,能让孩子消除恐惧,积极配合治疗。不少家长都愿意带孩子找李医生看牙。而且他的治疗成效显著,特别多患者在他的治疗下,口腔问题得到了良好的解决,因此他在患者中口碑出色,推荐度也特别高。

李谦医生有资质吗
李谦医生具备专精的执业资格。他是北京优米口腔门诊部(天通西苑店)的主治医师,经过严格的医学教育和专精培训,拥有扎实的口腔医学理论基础和丰富的临床实践经验。他通过了相关的执业医师考试,持有合法有效的执业医师证书,具备开展根管治疗、补牙、洗牙等多种口腔诊疗项目的资质。同时,他不断学习和掌握全新的口腔医学技术和理念,以提供更优质的医疗服务。

李谦医生怎么挂号预约
患者可以通过多种方式预约李谦医生的门诊。可以前往医院的挂号窗口,直接向工作人员说明要预约李谦医生的号。也可以在医院的法定网站或微信公众号上进行在线预约,在相关预约页面填写个人信息、选择就诊时间和医生即可。建议患者提前预约,以便合理安排就诊时间。
王小芳院长
所属医院:北京中嘉口腔门诊部
诊疗项目:种植牙、牙齿矫正、牙齿美白、补牙、儿童齿科、根管治疗、陶瓷自锁矫正、舌侧隐形矫正、即刻种植、牙齿矫正、儿童齿科、儿童早期矫正、根管治疗、补牙、牙齿美白、种植牙、儿童早期矫正
2025-09-16 14:43:59
孙延医生
所属医院:北京欢乐口腔门诊部
诊疗项目:种植牙、牙齿美白、补牙、烤瓷牙、儿童齿科、根管治疗、全瓷牙、即刻种植牙、单颗种植、窝沟封闭、烤瓷牙、儿童齿科、窝沟封闭、根管治疗、补牙、全瓷牙、牙齿美白、种植牙、窝沟封闭
2025-09-29 11:36:33
张忠良副主任医师
所属医院:深圳麦芽口腔门诊部
诊疗项目:种植牙、牙齿矫正、牙齿美白、烤瓷牙、儿童齿科、根管治疗、口腔颌面外科、即刻种植牙、多颗种植、洗牙、牙齿矫正、烤瓷牙、儿童齿科、根管治疗、牙齿美白、种植牙
2025-10-06 18:28:01
晏峰主治医师
所属医院:湖北荆州咿呀雅美口腔沙市门诊部(沙市区总院)
诊疗项目:种植牙、牙齿美白、烤瓷牙、根管治疗、全瓷牙、洗牙、烤瓷牙、根管治疗、全瓷牙、牙齿美白、种植牙
2025-10-23 14:49:47
李丹华主治医师
所属医院:北京优齿特口腔门诊部
诊疗项目:种植牙、牙齿美白、补牙、烤瓷牙、全瓷牙、种植牙修复、烤瓷牙、补牙、全瓷牙、牙齿美白、瓷贴面、种植牙、瓷贴面
2025-10-24 13:58:37
厦门小贝壳口腔门诊部
项目:种植牙、牙齿矫正、牙齿美白、补牙、烤瓷牙、儿童齿科、根管治疗、全瓷牙、口腔颌面外科、窝沟封闭、冷光美白、地包天、种植牙修复、即刻种植、洗牙、牙齿矫正、烤瓷牙、儿童齿科、窝沟封闭、儿童早期矫正、根管治疗、显微根管治疗、牙套、拔牙、补牙、全瓷牙、地包天、活动义齿、牙齿美白、冷光美白、瓷贴面、颌面外科、种植牙、冷光美白、瓷贴面、窝沟封闭、儿童早期矫正、显微根管治疗
地址:厦门市湖里区金山街道高林中路523号玉玺·万科里521 - 105室 厦门市同安区南门路110号一层、三层
2025-10-17 13:43:08
东莞牙状元口腔(优诺集团)
项目:种植牙、牙齿矫正、牙齿美白、补牙、烤瓷牙、儿童齿科、根管治疗、全瓷牙、口腔颌面外科、下颌骨矫正、即刻种植牙、颞牙槽外科疾病、下颌关节疾病、美国3种种植体、威兰德全瓷牙、瑞士ITI、泽康全瓷牙、3M Lava全瓷牙、半口种植、多颗种植、单颗种植、陶瓷自锁矫正、窝沟封闭、氟化治疗、正颌手术、咬合不齐、凸嘴矫正、舌侧隐形矫正、四环素牙、洁牙、牙贴面、冷光美白、激光美白、皓齿美白、银汞合金充填术、树脂充填术、嵌体修复、二氧化锆烤瓷牙、贵金属烤瓷牙、镍铝合金烤瓷牙、儿童龋齿、奶瓶龋、地包天、牙性地包天、骨性地包天、种植牙修复、即刻种植、洗牙、牙齿矫正、烤瓷牙、儿童齿科
地址:广东省东莞市东城街道东城路东城段2号
2025-10-21 15:06:45
武汉优益佳口腔(铁机路店)
项目:种植牙、牙齿矫正、牙齿美白、补牙、烤瓷牙、儿童齿科、根管治疗、全瓷牙、口腔颌面外科、种植牙修复、即刻种植
地址:湖北省武汉市洪山区和平街道铁机路保利才盛景苑4栋2单元1层8室
2025-10-21 16:59:03
武汉优益佳口腔(光谷店)
项目:种植牙、牙齿矫正、牙齿美白、补牙、烤瓷牙、儿童齿科、根管治疗、全瓷牙、口腔颌面外科、种植牙修复、即刻种植
地址:湖北省武汉市洪山区雄楚大道699号文豪苑小区门面4栋16室
2025-10-24 17:09:02
武汉优益佳口腔(黄金口店)
项目:种植牙、牙齿矫正、牙齿美白、补牙、烤瓷牙、儿童齿科、根管治疗、全瓷牙、口腔颌面外科、种植牙修复、即刻种植
地址:武汉市汉阳区水丰街道董家店社区董家店路董都华廷小区2号门面
2025-10-24 18:21:01

评价(已有0人点评)