北京欢乐博瑞口腔门诊部是卫生部门审批成立的正规口腔机构,下面为您详细介绍该门诊部的相关情况。

北京欢乐博瑞口腔门诊部是正规医院吗
北京欢乐博瑞口腔门诊部定位为为周边居民提供专精口腔诊疗服务的医疗机构。其前身为北京博瑞望京口腔门诊部有限公司,于2012年4月24日成立,后更名为北京欢乐博瑞口腔门诊部有限公司。自成立以来不断发展壮大,凭借专精医疗团队、精良诊疗设备和优质服务,在口腔医疗领域站稳脚跟。它经过卫生部门严格审批,具有合法合规经营资质,是值得患者信赖的正规口腔门诊部。多年来始终坚持以患者为中 心,不断提升医疗技术和服务水平,致力于为每一位患者解决口腔问题,带来健康口腔环境。

北京欢乐博瑞口腔门诊部更擅长什么
多领域诊疗服务:北京欢乐博瑞口腔门诊部成立于2012年4月24日,注册资本为150万国币元。门诊部规模适中,拥有舒适诊疗环境和精良口腔诊疗设备。在科室设置方面,涵盖了口腔科多个领域,包括牙齿正畸、牙齿种植、牙齿修复、口腔综合治疗等。
牙齿正畸专长:牙齿正畸科室擅长针对不同年龄段患者的牙齿畸形问题,制定个性化矫正方案,采用精良矫正技术,帮助患者拥有整齐美观的牙齿。
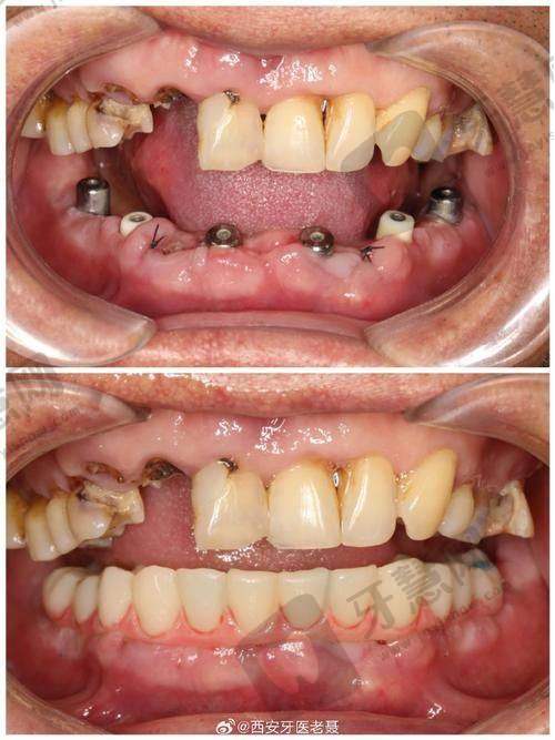
牙齿种植优势:牙齿种植科室拥有经验多的医生团队,能够熟练运用各种种植技术,为缺失牙患者提供稳固、美观的种植修复方案。
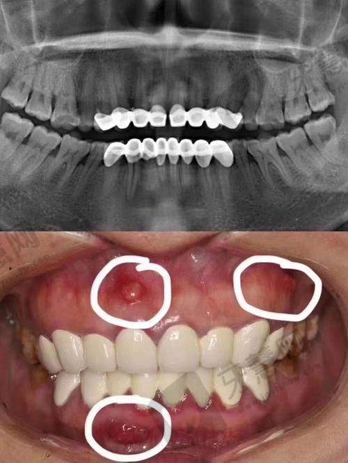
口腔综合治疗能力:口腔综合治疗科室可以处理常见的口腔疾病,如龋齿、牙周炎等,为患者提供全方面的口腔健康保护。

北京欢乐博瑞口腔门诊部地址在哪里
北京欢乐博瑞口腔门诊部位于北京市朝阳区广顺北大街33号院1号楼1层101室001号。如果选择乘坐公共交通前往,可以先乘坐地铁到望京站,从C口出站后,步行约10分钟即可到达门诊部。也可以乘坐公交车,在望京街西口站下车,步行几分钟就能到达。如果选择自驾前往,门诊部周边有停车场可供停车。需要注意的是,在高峰时段出行可能会遇到交通拥堵情况,建议合理安排出行时间。到达门诊部后,可在前台进行挂号和询问,工作人员会热情服务。

北京欢乐博瑞口腔门诊部怎么样
牙齿正畸特色:北京欢乐博瑞口腔门诊部牙齿正畸项目采用精良的隐形矫正技术,这种矫正器几乎隐形,不影响美观,而且佩戴舒适,可自行摘戴,方便患者清洁口腔。与传统矫正器相比,减少了对口腔黏膜的刺激,大大提高了患者的矫正体验。
牙齿种植优势:牙齿种植项目采用国内外精良的种植系统,具有种植成功几率高、稳定性好等优点。医生会根据患者的口腔情况和需求,选择合适的种植体,为患者打造个性化的种植方案。
牙齿美白亮点:牙齿美白项目采用冷光美白技术,能够快速、安心地去除牙齿表面的色斑和色素,使牙齿变得洁白亮丽。该技术对牙齿的损伤较小,治疗过程舒适,成效显著。

北京欢乐博瑞口腔门诊部基本情况
虽然目前没有详细的医生信息,但可以推测门诊部拥有一支专精的医生团队。这些医生可能具备丰富的从业经验和扎实的专精知识。在牙齿正畸领域,医生可能擅长运用多种矫正技术,如传统金属矫正、陶瓷矫正、隐形矫正等,能够根据患者的具体情况制定个性化的矫正方案。在牙齿种植方面,医生可能熟练掌握各种种植技术,能够正确地植入种植体,确保种植成效的稳定性和美观性。在口腔综合治疗方面,医生可能擅长治疗各种口腔疾病,如龋齿、牙周炎、牙髓炎等,为患者提供全方面的口腔健康服务。

北京欢乐博瑞口腔门诊部资质
北京欢乐博瑞口腔门诊部具有合法合规的经营资质。其社会统一信用代码为91110105593810681K,由北京市朝阳区市场检查管理局登记注册。门诊部的经营范围包括口腔科医疗服务,这表明它经过了卫生部门的严格审批,具备开展口腔诊疗服务的资格。门诊部还销售日用品和Ⅰ类医疗器械,这也体现了其在经营方面的多元化。多年来,门诊部始终遵守相关法律法规,不断提升医疗服务质量,以确保为患者提供安心、有效的口腔诊疗服务。

北京欢乐博瑞口腔门诊部顾客实例
北京欢乐博瑞口腔门诊部在患者中拥有良好的口碑。许多患者对门诊部的医疗技术和服务态度都给予了高度评价。
顾客A实例:“我之前牙齿特别不整齐,一直想矫正。来到北京欢乐博瑞口腔门诊部后,医生为我制定了详细的矫正方案。矫正过程中,医生和护士都非常负责,经常关心我的矫正情况。现在我的牙齿已经变得整齐美观了,真的非常感谢他们!”
顾客B实例:“我因为牙齿缺失来这里做种植牙。医生的技术非常不错,种植过程特别顺利,而且术后修复得也特别快。现在我的牙齿就像自己的真牙一样,吃饭也方便多了。这家门诊部的服务也良好,以后看牙就认准这里了!”

北京欢乐博瑞口腔门诊部价格表
北京欢乐博瑞口腔门诊部的收费价格合理透明。牙齿正畸的价格根据矫正方式的不同而有所差异,传统金属矫正的价格一般在8000 - 15000元左右,陶瓷矫正的价格在12000 - 20000元左右,隐形矫正的价格在25000 - 40000元左右。牙齿种植的价格因种植体品牌和型号的不同而有所不同,单颗种植的价格在5000 - 15000元左右。牙齿美白的价格一般在1000 - 3000元左右。口腔综合治疗的价格根据具体治疗项目而定,如补牙的价格在200 - 500元左右,洗牙的价格在100 - 300元左右。门诊部会根据患者的具体情况制定个性化的治疗方案,并明确告知患者各项治疗的费用。


李锦春执业医师
所属医院:烟台孙周口腔(黄务门诊部)
诊疗项目:口腔颌面外科、种植牙修复、儿童齿科、根管治疗、地包天
2025-08-24 06:20:02

李翔主治医师
所属医院:北京整齐娃娃口腔门诊部
诊疗项目:种植牙、牙齿矫正、牙齿美白、补牙、烤瓷牙、儿童齿科、根管治疗、全瓷牙、窝沟封闭、牙齿矫正、烤瓷牙、儿童齿科、窝沟封闭、根管治疗、牙套、补牙、全瓷牙、牙齿美白、种植牙、窝沟封闭
2025-09-18 10:36:01

钟铭
所属医院:上海西郊众植口腔医院
诊疗项目:烤瓷牙、根管治疗、牙套、拔牙、补牙、全瓷牙、地包天、活动义齿、牙齿美白、种植牙
2025-09-19 17:48:40

王长晟主治医师
所属医院:深圳麦芽口腔门诊部
诊疗项目:种植牙、牙齿美白、补牙、全瓷牙、即刻种植牙、种植牙修复、即刻种植、拔牙、补牙、全瓷牙、活动义齿、牙齿美白、瓷贴面、种植牙、瓷贴面
2025-09-25 14:56:24

高玮力医生
所属医院:北京欢乐口腔门诊部
诊疗项目:种植牙、牙齿矫正、牙齿美白、补牙、儿童齿科、根管治疗、单颗种植、窝沟封闭、冷光美白、牙齿矫正、儿童齿科、窝沟封闭、根管治疗、显微根管治疗、补牙、牙齿美白、冷光美白、种植牙、冷光美白、窝沟封闭、显微根管治疗
2025-09-30 09:38:02

广州大拇指口腔门诊部
项目:种植牙、牙齿矫正、牙齿美白、补牙、烤瓷牙、儿童齿科、根管治疗、全瓷牙、地包天、种植牙修复、即刻种植
地址:广东省广州市增城区中新镇新市路38号
2025-09-25 15:20:17

北京三和欢乐口腔诊所
项目:种植牙、牙齿矫正、牙齿美白、补牙、烤瓷牙、儿童齿科、根管治疗、全瓷牙、口腔颌面外科、窝沟封闭、冷光美白、地包天、种植牙修复、即刻种植、洗牙、牙齿矫正、烤瓷牙、儿童齿科、窝沟封闭、儿童早期矫正、根管治疗、显微根管治疗、牙套、拔牙、补牙、全瓷牙、地包天、活动义齿、牙齿美白、冷光美白、瓷贴面、颌面外科、种植牙、冷光美白、瓷贴面、窝沟封闭、儿童早期矫正、显微根管治疗
地址:北京市西城区阜成门外大街2号1幢1层S1002、S1003;北京市朝阳区呼家楼街道小庄小区齿科联盟
2025-09-29 11:20:38

北京欢乐成府口腔门诊部
项目:种植牙、牙齿矫正、牙齿美白、补牙、烤瓷牙、儿童齿科、根管治疗、全瓷牙、口腔颌面外科、窝沟封闭、冷光美白、地包天、种植牙修复、即刻种植、洗牙、牙齿矫正、烤瓷牙、儿童齿科、窝沟封闭、儿童早期矫正、根管治疗、显微根管治疗、牙套、拔牙、补牙、全瓷牙、地包天、活动义齿、牙齿美白、冷光美白、瓷贴面、颌面外科、种植牙、冷光美白、瓷贴面、窝沟封闭、儿童早期矫正、显微根管治疗
地址:北京市海淀区成府路29号1层1 - 2
2025-10-09 14:01:02

福州福清德恒口腔医院
项目:种植牙、牙齿矫正、牙齿美白、补牙、烤瓷牙、儿童齿科、根管治疗、全瓷牙、口腔颌面外科、窝沟封闭、冷光美白、地包天、种植牙修复、即刻种植、洗牙、牙齿矫正、烤瓷牙、儿童齿科、窝沟封闭、儿童早期矫正、根管治疗、显微根管治疗、牙套、拔牙、补牙、全瓷牙、地包天、活动义齿、牙齿美白、冷光美白、瓷贴面、颌面外科、种植牙、冷光美白、瓷贴面、窝沟封闭、儿童早期矫正、显微根管治疗
地址:- 清昌万达店:福清市音西街道万达广场四楼(海底捞楼上) - 福和万达店:福清市音西街道福和万达广场B1层(原裕荣汇) - 龙田旗舰店:福清市龙田镇福庐中路融鼎阳光天地1F12#05—12铺 - 龙旺名城店:福清市玉屏街道西云村龙旺名城11号楼103 - 105 - 宏路分院:福清市宏路宏路村后铁铺223号二楼(海关隔壁) - 台江万达店:台江万达广场2号门3楼(星巴克楼上)
2025-10-09 14:17:36

福州牙丽爱口腔门诊部
项目:种植牙、牙齿矫正、牙齿美白、补牙、烤瓷牙、儿童齿科、根管治疗、全瓷牙、口腔颌面外科、窝沟封闭、冷光美白、地包天、种植牙修复、即刻种植、洗牙、牙齿矫正、烤瓷牙、儿童齿科、窝沟封闭、儿童早期矫正、根管治疗、显微根管治疗、牙套、拔牙、补牙、全瓷牙、地包天、活动义齿、牙齿美白、冷光美白、瓷贴面、颌面外科、种植牙、冷光美白、瓷贴面、窝沟封闭、儿童早期矫正、显微根管治疗
地址:福建省福州市台江区新港街道琯后街2 - 2号柔远雅苑1#、2#裙房三层301
2025-10-09 14:19:21
评价(已有0人点评)