北京欢乐和平口腔门诊部是经卫生部门审批成立的正规口腔机构,在口腔医疗领域有着显著的优势和良好的口碑。以下将从多个方面为您详细介绍这家备受关注的北京欢乐和平口腔门诊部。

北京欢乐和平口腔门诊部是正规医院吗
北京欢乐和平口腔门诊部是一家定位明确、发展态势良好的正规口腔医疗机构。自成立以来,始终致力于为广大患者提供优质、专精的口腔医疗服务。它紧跟口腔医学发展趋势,不断提升自身的医疗水平和服务质量。在发展历程中,门诊部不断完善内部管理体系,引进精良的医疗设备和技术。经过多年的沉淀和积累,已经在当地口腔医疗领域树立了良好的口碑。凭借专精的医疗团队、严谨的医疗态度和优质的服务,赢得了患者的广泛信任和认可,成为众多患者看牙的优选之地。

北京欢乐和平口腔门诊部更擅长什么
北京欢乐和平口腔门诊部兴建于2011年,经过十几年的发展,已发展成为集诊疗、科研、教学、培训管理为一体的大型口腔门诊连锁加盟组织。在北京有20多家院区,并在上海、重庆、沈阳、天津、西安、青岛、深圳等十几个大城市设立了60多家连锁加盟机构。门诊部科室设置齐全,涵盖了种植牙、牙齿矫正、牙齿美白、补牙、儿童牙科、牙周治疗、牙齿修复、口腔颌面外科等多个领域。在种植牙方面,采用精良的种植技术,能够为患者提供个性化的种植方案;牙齿矫正项目中,拥有多种矫正方式,满足不同患者的需求;牙齿美白则采用安心有效的美白技术,让患者拥有洁白亮丽的牙齿。

北京欢乐和平口腔门诊部地址在哪里
北京欢乐和平口腔门诊部在朝阳区有两家分院,和平里分院①位于北京市朝阳区和平西苑20号楼座103 - 1内1 - 2层、2层C座103 - 2;和平里分院②位于北京市朝阳区小黄庄路1 - 7号朝阳区小黄庄路1 - 7号。如果您选择公共交通前往和平里分院①,可乘坐地铁到达附近站点,然后步行几分钟即可到达。周边有多条公交线路经过,出行十分便利。若您选择自驾前往,门诊部周边有停车场可供停车。前往和平里分院②同样交通便捷,公共交通和自驾都特别方便,周边的交通标识清晰,便于您快速找到门诊部。

北京欢乐和平口腔门诊部怎么样
北京欢乐和平口腔门诊部的特色项目众多,优势明显。
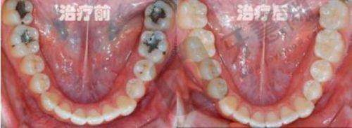
种植牙项目:门诊部采用精良的种植技术和高品质的种植体,医生经验多,能够根据患者的口腔情况和需求,制定个性化的种植方案。种植过程安心、效率高,术后修复快,能够为患者修复牙齿的咀嚼功能和美观。
牙齿矫正项目:拥有多种矫正方式,如隐形矫正、金属托槽矫正等。隐形矫正具有美观、舒适、可自行摘戴等优点,不影响患者的日常生活和社交;金属托槽矫正则价格相对较低,矫正成效显著。医生会根据患者的牙齿情况和个人需求,选择更适合的矫正方式。
牙齿美白项目:采用安心有效的美白技术,如冷光美白、皓齿美白等。这些美白技术能够快速去除牙齿表面的色素,让牙齿变得洁白亮丽。美白过程舒适,对牙齿的损伤小,术后成效持久。

北京欢乐和平口腔门诊部基本情况
北京欢乐和平口腔门诊部拥有一支专精的医生团队,黄岩、孙悦、杨国柱、杨新波等医生都在口腔领域有着丰富的经验。
黄岩医生擅长牙齿矫正,他从事口腔正畸工作多年,积累了大量的临床经验。在牙齿矫正方面,他能够根据患者的牙齿情况和面部特征,制定个性化的矫正方案,让患者在矫正牙齿的同时,改善面部美观。
孙悦医生专注于牙齿美容,她精通各种牙齿美白和修复技术。在牙齿美白方面,她能够根据患者的牙齿颜色和需求,选择更适合的美白方法,让患者拥有洁白亮丽的牙齿;在牙齿修复方面,她能够为患者提供高品质的修复方案,修复牙齿的功能和美观。
杨国柱医生在牙齿调节等方面有着深厚的造诣,他能够正确诊断患者的口腔问题,并提供有效的治疗方案。他对待患者认真负责,深受患者的信赖。
杨新波医生在口腔领域也有着丰富的经验,他擅长多种口腔疾病的治疗,能够为患者提供全方面的口腔医疗服务。

北京欢乐和平口腔门诊部资质
北京欢乐和平口腔门诊部是经有关部门准许成立的正规口腔机构。该机构聚集了北大口腔科多名大夫,并有来自国内台湾、美国、日本的口腔科医生按时出诊。还相继与美国哥伦比亚大学、德国哥德堡大学、国立大学台湾阳明高校的医学校签署了学术交流互相访问协议,为青年人口腔科医生提供了更专精的进修机会和职业发展平台。门诊部严格遵守国内相关的法律法规和医疗行业的规范标准,从医疗设备的采购、使用到医疗服务的提供,都进行严格的管理和检查。在医疗质量控制方面,门诊部建立了完善的质量控制体系,确保每一位患者都能得到安心、有效的治疗。

北京欢乐和平口腔门诊部顾客实例
北京欢乐和平口腔门诊部在患者中拥有良好的口碑,许多患者都对门诊部的医疗服务和治疗成效给予了高度评价。
顾客实例一:李先生在欢乐和平口腔门诊部进行了牙齿矫正。他表示,一开始对牙齿矫正有些担忧,害怕疼痛和影响日常生活。但在医生的耐心讲解和专精治疗下,他逐渐消除了顾虑。戴上矫正器后,并没有想象中的那么难受。医生还定期对他的矫正情况进行检查和调整,服务非常贴心。现在,他的牙齿已经有了明显的改善,非常期待更终的矫正成效。
顾客实例二:王女士在门诊部进行了种植牙手术。她的牙齿缺失多年,一直影响着咀嚼功能和美观。在门诊部,医生为她制定了详细的种植方案。手术过程非常顺利,术后修复也特别快。现在,她已经能够正常咀嚼食物,牙齿的外观也和真牙几乎没有区别。她对门诊部的医生和服务都非常满意,还推荐给了身边的朋友。

北京欢乐和平口腔门诊部价格表
北京欢乐和平口腔门诊部的价格合理透明,以下是部分项目的价格参考:
3DS超薄瓷贴面:3704 - 9209元
牙齿瓷贴面:1773 - 11068元
E - MAX:1925 - 15634元
3D全瓷牙贴面:1927 - 16172元
Mega隐形瓷贴面:1573 - 15672元
美国皓齿:1929 - 16875元
瓷贴面:2287 - 15054元
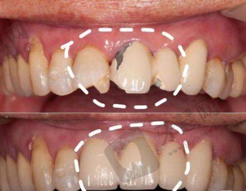
烤瓷牙补牙:1772 - 12295元
烤瓷牙种植:1836 - 22803元
全瓷牙种植:2769 - 28671元
合金烤瓷牙:2971 - 25891元
贵金属烤瓷牙:2604 - 30553元
二氧化锆全瓷牙:2934 - 25513元
镶牙:1732 - 11194元
牙冠:2407 - 28795元
前突牙:2790 - 31274元
内收牙:2952 - 27933元
牙齿脱落:2934 - 25085元
微创种植:2642 - 30530元
活动假牙:2469 - 27635元
假牙:2812 - 27262元
美容冠:1393 - 3578元
龅牙矫正:4193 - 11597元
地包牙矫正:4837 - 10257元
虎牙矫正:2922 - 10296元
牙齿不齐:1107 - 12247元
牙齿稀疏:1054 - 12004元
牙齿拥挤:5893 - 23345元
隐适美:9679 - 103050元
隐形正畸:8028 - 81830元
金属托槽矫正:7846 - 98323元
自锁托槽矫正:8021 - 92619元
透明托槽矫正:7416 - 97263元
透明隐形矫正:7017 - 93332元
隐形矫正:7812 - 90201元
隐形牙套:7124 - 93249元
牙齿拥挤矫正:8946 - 93478元
地包天矫正:8941 - 91321元
凸嘴矫正:8971 - 88749元
金属托槽:8212 - 96975元
半隐型矫正:8508 - 103745元
陶瓷矫正:9708 - 87910元
深覆颌:9836 - 91240元
牙套:8561 - 91378元
牙颌畸形:7543 - 97873元
补牙:983 - 12359元
牙齿缺损修复:1252 - 11305元
坏牙:1332 - 10246元
蛀牙:1212 - 12217元
拔智齿:1074 - 10428元
牙齿综合:1422 - 11936元
根管调节:1212 - 11644元
牙周护理:1239 - 11480元
牙渍:1139 - 10040元
阻生牙:1290 - 10583元
隐裂牙:1182 - 10405元
多生牙:1323 - 11753元
磨牙:1266 - 10630元
塞牙:1422 - 11711元
牙缝变大:1291 - 11875元
龋齿:1479 - 11352元
牙齿断裂:1211 - 12432元
虫牙:1092 - 10691元
牙洞:1184 - 11290元
树脂补牙:1490 - 12893元
浅龋:1230 - 10775元
中龋:1324 - 12594元
深龋:1164 - 11033元
3M树脂补牙:1491 - 10507元
烂牙:1250 - 12112元
牙齿龋坏:1073 - 11967元
微创根管:1188 - 10041元
牙痛:1098 - 10324元
牙磨损:1231 - 11220元
牙脱位:1370 - 11151元
牙齿外伤:1146 - 12352元
超声波洁牙:485 - 2157元
咖啡牙美白:407 - 2259元
喷砂洁牙:351 - 2251元
色素牙美白:451 - 8028元
四环素牙美白:413 - 7050元
洗牙:321 - 2173元
牙齿冷光美白:410 - 2216元
牙齿抛光:322 - 1783元
牙齿漂白:477 - 2262元
烟渍牙美白:428 - 2347元
冷光美白:405 - 2287元
皓齿美白:469 - 2317元
牙黄变白:467 - 2118元
氟斑牙美白:482 - 2322元
变色牙美白:467 - 2376元
黑牙美白:418 - 2060元
茶渍牙美白:471 - 2101元
牙美白:433 - 2189元
半口牙种植:52471 - 128657元
单颗牙种植:14075 - 28914元
多颗芽种植:24000 - 175848元
后牙种植:17596 - 53941元
前牙种植:9538 - 38382元
全口牙种植:91581 - 312370元
种植牙/颗:8326 - 16892元
瑞士ITI种植牙/颗:9472 - 17703元
美国3I种植牙/颗:8478 - 16369元
德国费亚丹种植牙/颗:8563 - 17875元
瑞典诺贝尔种植牙/颗:8534 - 15051元
德国贝格种植牙/颗:9812 - 18627元
美国百康种植牙/颗:8823 - 18627元
瑞典诺贝尔种植/颗:9271 - 16824元
ITI瑞锆种植牙/颗:9301 - 16130元
奥齿泰种植牙/颗:9923 - 19368元
韩国登特斯种植牙/颗:8152 - 17861元
韩国奥齿泰种植牙/颗:8258 - 16673元
韩国登腾种植牙/颗:8666 - 17748元
进口种植牙/颗:9579 - 19016元
国产种植牙:5718 - 14283元
以上价格仅供参考,实际价格可能会因患者的具体情况和治疗方案的不同而有所差异。在就诊时,医生会根据患者的口腔情况制定详细的治疗方案,并告知具体的费用。


吴凤霞主丨任医师
所属医院:上海维佳康口腔(静安美琦口腔)
诊疗项目:种植牙、牙齿矫正、牙齿美白、烤瓷牙、拔牙
2025-08-26 06:02:01

邱瑜蕾主治医师
所属医院:苏州市华夏口腔医院
诊疗项目:补牙、烤瓷牙、全瓷牙、口腔颌面外科、牙齿美白
2025-09-04 06:01:01

王小芳院长
所属医院:北京中嘉口腔门诊部
诊疗项目:种植牙、牙齿矫正、牙齿美白、补牙、儿童齿科、根管治疗、陶瓷自锁矫正、舌侧隐形矫正、即刻种植、牙齿矫正、儿童齿科、儿童早期矫正、根管治疗、补牙、牙齿美白、种植牙、儿童早期矫正
2025-09-16 14:43:59

周相宏医生
所属医院:北京欢乐口腔门诊部
诊疗项目:种植牙、牙齿矫正、牙齿美白、烤瓷牙、根管治疗、全瓷牙、陶瓷自锁矫正、舌侧隐形矫正、冷光美白、牙齿矫正、烤瓷牙、儿童早期矫正、根管治疗、全瓷牙、牙齿美白、冷光美白、种植牙、冷光美白、儿童早期矫正
2025-09-30 09:33:04

邢晓峰主治医师
所属医院:深圳麦芽口腔门诊部
诊疗项目:种植牙、牙齿矫正、牙齿美白、儿童齿科、半口种植、多颗种植、单颗种植、种植牙修复、即刻种植、洗牙、牙齿矫正、儿童齿科、牙齿美白、种植牙
2025-10-04 13:10:02

上海城本口腔医院
项目:种植牙、牙齿矫正、牙齿美白、补牙、烤瓷牙、儿童齿科、根管治疗、全瓷牙、口腔颌面外科、窝沟封闭、冷光美白、地包天、种植牙修复、即刻种植、洗牙、牙齿矫正、烤瓷牙、儿童齿科、窝沟封闭、儿童早期矫正、根管治疗、显微根管治疗、牙套、拔牙、补牙、全瓷牙、地包天、活动义齿、牙齿美白、冷光美白、瓷贴面、颌面外科、种植牙、冷光美白、瓷贴面、窝沟封闭、儿童早期矫正、显微根管治疗
地址:上海市长宁区虹桥路1386号2楼
2025-09-24 15:14:02

上海新迈口腔门诊部
项目:种植牙、牙齿矫正、牙齿美白、补牙、烤瓷牙、儿童齿科、根管治疗、全瓷牙、口腔颌面外科、窝沟封闭、冷光美白、地包天、种植牙修复、即刻种植、洗牙、牙齿矫正、烤瓷牙、儿童齿科、窝沟封闭、儿童早期矫正、根管治疗、显微根管治疗、牙套、拔牙、补牙、全瓷牙、地包天、活动义齿、牙齿美白、冷光美白、瓷贴面、颌面外科、种植牙、冷光美白、瓷贴面、窝沟封闭、儿童早期矫正、显微根管治疗
地址:上海市闵行区都市路5001号仲盛世界商场2楼60J
2025-09-25 12:01:02

山西太原可睦口腔
项目:种植牙、牙齿矫正、牙齿美白、补牙、烤瓷牙、儿童齿科、根管治疗、全瓷牙、口腔颌面外科、下颌骨矫正、即刻种植牙、颞牙槽外科疾病、下颌关节疾病、美国3种种植体、威兰德全瓷牙、瑞士ITI、泽康全瓷牙、3M Lava全瓷牙、半口种植、多颗种植、单颗种植、陶瓷自锁矫正、窝沟封闭、氟化治疗、正颌手术、咬合不齐、凸嘴矫正、舌侧隐形矫正、四环素牙、洁牙、牙贴面、冷光美白、激光美白、皓齿美白、银汞合金充填术、树脂充填术、嵌体修复、二氧化锆烤瓷牙、贵金属烤瓷牙、镍铝合金烤瓷牙、儿童龋齿、奶瓶龋、地包天、牙性地包天、骨性地包天、种植牙修复、即刻种植、洗牙、牙齿矫正、烤瓷牙、儿童齿科
地址:山西省太原市迎泽区双塔西街86号金溪苑5号底商 - 02号 山西省太原市小店区平阳路街道亲贤北街99号4层F4 - G002(茂业天地北侧)
2025-09-26 16:18:53

曲靖京贝口腔门诊部
项目:种植牙、牙齿矫正、牙齿美白、补牙、烤瓷牙、儿童齿科、根管治疗、全瓷牙、口腔颌面外科、窝沟封闭、冷光美白、地包天、种植牙修复、即刻种植、洗牙、牙齿矫正、烤瓷牙、儿童齿科、窝沟封闭、儿童早期矫正、根管治疗、显微根管治疗、牙套、拔牙、补牙、全瓷牙、地包天、活动义齿、牙齿美白、冷光美白、瓷贴面、颌面外科、种植牙、冷光美白、瓷贴面、窝沟封闭、儿童早期矫正、显微根管治疗
地址:曲靖市麒麟区南宁西路153号2楼
2025-09-26 17:37:50

福州伽禾伽美医院口腔科
项目:种植牙、牙齿矫正、牙齿美白、补牙、烤瓷牙、儿童齿科、根管治疗、全瓷牙、口腔颌面外科、窝沟封闭、冷光美白、地包天、种植牙修复、即刻种植、洗牙、牙齿矫正、烤瓷牙、儿童齿科、窝沟封闭、儿童早期矫正、根管治疗、显微根管治疗、牙套、拔牙、补牙、全瓷牙、地包天、活动义齿、牙齿美白、冷光美白、瓷贴面、颌面外科、眼部、鼻部、口唇、眉毛种植、胡须种植、面部轮廓、下巴整形、皮肤、抗衰抗皱、美体塑形、胸部、肚脐眼整形、变性手术、大脚骨手术、骨水泥填充、骨水泥填充后脑勺、耳部、下巴整形、私密
地址:福州市仓山区浦上大道北侧金华小区(红星国际二期)第三幢
2025-10-09 14:19:11
评价(已有0人点评)