北京欢乐中关口腔门诊部是众多患者看牙的热门选择之一,特别多人都想了解这家门诊部是否正规、擅长什么项目、地址在哪以及价格如何等问题。接下来,我们将为您详细介绍北京欢乐中关口腔门诊部的各方面情况。

北京欢乐中关口腔门诊部是正规医院吗
北京欢乐中关口腔门诊部是经卫生部门审批成立的正规口腔机构。自成立以来,该门诊部始终秉持以患者为中 心的服务理念,不断提升医疗技术和服务水平。从更初小规模起步,逐步发展成拥有精良设备和专精医疗团队的口腔机构。门诊部不断引进国内外精良口腔医疗技术和设备,注重人才培养与技术创新,致力于为患者打造舒适、安心、效率高的就诊环境,在当地口腔医疗领域树立了良好口碑。

北京欢乐中关口腔门诊部更擅长什么
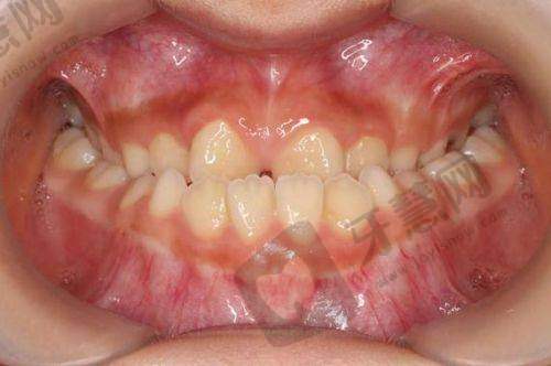
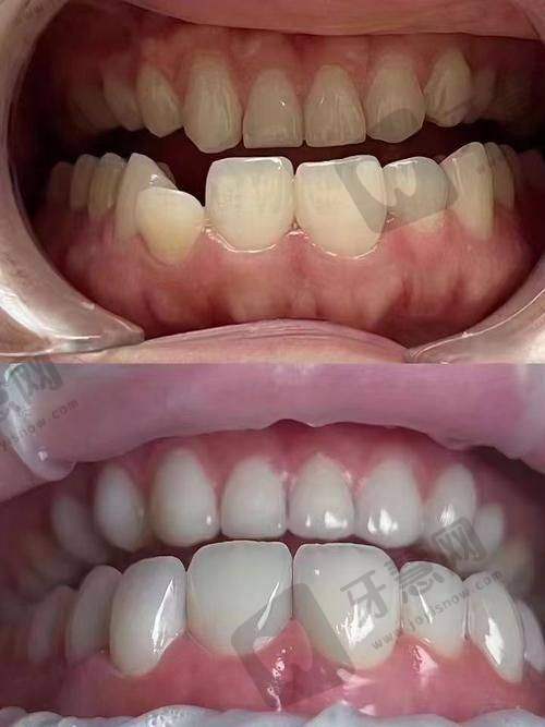
北京欢乐中关口腔门诊部成立多年,具有一定规模,拥有宽敞明亮且布局合理的就诊区域,为患者提供了舒适就医环境。门诊部设有多个专精科室,口腔正畸科擅长各类牙齿不齐的矫正,采用精良正畸技术,能为患者制定个性化矫正方案;口腔种植科拥有经验多的医生团队,熟练掌握各类种植技术,可为缺失牙患者提供高品质种植修复服务;口腔内科专注于牙体牙髓病、牙周病等疾病的诊断和治疗,采用精良治疗方法,有效缓解患者病痛;口腔外科主要开展拔牙、口腔颌面外科手术等项目;口腔修复科为患者提供烤瓷牙、全瓷牙、活动义齿等多种修复方案。

北京欢乐中关口腔门诊部地址在哪里
北京欢乐中关口腔门诊部位于北京市海淀区中关村大街[具体门牌号],周边交通十分便利,为患者就诊提供了极大方便。如果乘坐地铁,可乘坐地铁[具体线路]到[具体地铁站],从[具体出口]出站后,步行约[X]米即可到达门诊部。若乘坐公交车,有多条公交线路可直达门诊部附近,如[公交线路1]、[公交线路2]等,在[公交站点名称]下车后,按照指示牌步行几分钟就能到达。此外,门诊部周边设有停车场,方便自驾前来的患者停车。

北京欢乐中关口腔门诊部怎么样
北京欢乐中关口腔门诊部拥有众多特色项目。牙齿矫正项目独具优势,门诊部引进精良隐形矫正技术,矫正器几乎隐形,美观度高,患者在矫正过程中可正常社交和工作,不影响外观。且隐形矫正器可自行摘戴,方便患者清洁口腔,减少龋齿和牙周病发生风险。同时,医生会根据患者牙齿情况和面部特征,制定个性化矫正方案,确保矫正成效达到至佳。种植牙项目采用国内外精良种植系统,种植体生物相容性良好,能与牙槽骨快速结合,稳定性高。医生在种植过程中采用微创技术,减少患者痛苦和术后修复时间。此外,门诊部还提供种植牙的终身维护服务,让患者无后顾之忧。牙齿美白项目采用安心有效的美白技术,能快速去除牙齿表面色斑和色素,使牙齿变得洁白亮丽。美白过程对牙齿和牙龈损伤极小,患者可在短时间内拥有自信笑容。

北京欢乐中关口腔门诊部基本情况
北京欢乐中关口腔门诊部拥有一支专精的医生团队。张医生,从事口腔临床工作[X]年,擅长口腔正畸领域。他在牙齿矫正方面经验多,尤其擅长青少年和成人的各类错颌畸形矫正。他熟练掌握多种矫正技术,能根据患者具体情况制定个性化矫正方案,帮助众多患者解决牙齿不齐问题,赢得患者一致好评。李医生,专注于口腔种植多年,拥有[X]年从业经验。他精通各类种植技术,能熟练处理复杂种植病例。在种植手术中,他以不错技术和严谨态度,确保种植体精细植入,为患者提供高质量种植修复服务。王医生,在口腔内科方面造诣深厚,从事口腔内科工作[X]年。他擅长牙体牙髓病、牙周病的诊断和治疗,能正确判断病情,采用精良治疗方法,为患者缓解病痛,修复口腔健康。

北京欢乐中关口腔门诊部资质
北京欢乐中关口腔门诊部拥有完善的资质。该门诊部严格按照卫生部门相关规定和标准进行建设和运营,取得了《医疗机构执业许可证》,这是其合法开展口腔医疗服务的重要凭证。门诊部的医生团队均具备相应执业资格证书,他们毕业于有名口腔医学校校,经过严格专精培训和考核,具备扎实医学理论知识和丰富临床经验。同时,门诊部的医疗设备均经过严格质量检测和认证,确保医疗服务的安心性和有效性。在医疗质量管理方面,门诊部建立了完善质量控制体系,从患者就诊登记、诊断治疗到术后回访,每一个环节都有严格规范和标准,保护了患者的就医权益。

北京欢乐中关口腔门诊部顾客实例
北京欢乐中关口腔门诊部凭借专精医疗技术和优质服务,赢得众多患者好评,口碑良好。顾客A表示:“我之前牙齿特别不齐,一直想矫正但又怕疼。来到北京欢乐中关口腔门诊部后,张医生给我详细介绍了隐形矫正技术,让我消除了顾虑。整个矫正过程非常顺利,医生和护士都特别贴心,会定期提醒我复诊。现在我的牙齿已经变得整齐美观了,真的非常感谢欢乐中关口腔门诊部!”顾客B称:“我因为牙齿缺失,来到这里做种植牙。李医生技术非常不错,手术过程中几乎没有什么疼痛感。术后修复也特别快,现在种植牙用起来和真牙一样,非常舒服。而且门诊部的环境良好,服务也特别周到,以后看牙就认准这里了!”

北京欢乐中关口腔门诊部价格表
北京欢乐中关口腔门诊部的收费价格合理透明。在牙齿矫正方面,传统金属托槽矫正价格在8000 - 15000元左右,陶瓷托槽矫正价格大概在12000 - 20000元,隐形矫正价格则在25000 - 45000元不等。种植牙的价格根据种植体的品牌和型号有所不同,国产种植体一颗的价格在3000 - 6000元,韩国进口种植体价格在5000 - 8000元,欧美进口种植体价格在8000 - 15000元。牙齿美白项目中,冷光美白一次的价格在1500 - 2500元。烤瓷牙修复,普通烤瓷牙一颗价格在500 - 1500元,全瓷牙一颗价格在1500 - 3500元。活动义齿的价格根据材质和工艺不同,在800 - 3000元左右。门诊部还会不定期推出优惠活动,让患者能够享受到更实惠的价格。


酒小凡执业医师
所属医院:北京佳美口腔(双井店)
诊疗项目:地包天、洗牙、牙齿矫正、全瓷牙、拔牙
2025-08-22 06:22:01

刘轩主治医师
所属医院:柳州中瑞口腔门诊部
诊疗项目:牙齿美白、根管治疗、地包天、冷光美白、牙齿矫正
2025-08-30 06:20:01

张阳主治医师
所属医院:东莞长安霄边固美口腔门诊部
诊疗项目:根管治疗、种植牙修复、儿童早期矫正、牙套、颌面外科
2025-09-01 06:10:01

龙银芳主治医师
所属医院:深圳麦芽口腔门诊部
诊疗项目:种植牙、牙齿美白、补牙、烤瓷牙、儿童齿科、根管治疗、全瓷牙、窝沟封闭、洗牙、烤瓷牙、儿童齿科、窝沟封闭、根管治疗、补牙、全瓷牙、牙齿美白、种植牙、窝沟封闭
2025-09-25 14:53:21

于久越院长
所属医院:北京欢乐口腔门诊部
诊疗项目:种植牙、牙齿矫正、牙齿美白、补牙、烤瓷牙、儿童齿科、根管治疗、半口种植、单颗种植、洗牙、牙齿矫正、烤瓷牙、儿童齿科、根管治疗、补牙、牙齿美白、种植牙
2025-09-29 11:36:17

深圳大学总医院口腔科
项目:种植牙、牙齿矫正、牙齿美白、补牙、烤瓷牙、儿童齿科、根管治疗、全瓷牙、口腔颌面外科、下颌骨矫正、即刻种植牙、颞牙槽外科疾病、下颌关节疾病、美国3种种植体、威兰德全瓷牙、瑞士ITI、泽康全瓷牙、3M Lava全瓷牙、半口种植、多颗种植、单颗种植、陶瓷自锁矫正、窝沟封闭、氟化治疗、正颌手术、咬合不齐、凸嘴矫正、舌侧隐形矫正、四环素牙、洁牙、牙贴面、冷光美白、激光美白、皓齿美白、银汞合金充填术、树脂充填术、嵌体修复、二氧化锆烤瓷牙、贵金属烤瓷牙、镍铝合金烤瓷牙、儿童龋齿、奶瓶龋、地包天、牙性地包天、骨性地包天、种植牙修复、即刻种植、洗牙、牙齿矫正、烤瓷牙、儿童齿科
地址:深圳市南山区桃源街道塘朗社区学苑大道1298号
2025-09-25 11:51:03

北京欢乐西悦口腔诊所
项目:种植牙、牙齿矫正、牙齿美白、补牙、烤瓷牙、儿童齿科、根管治疗、全瓷牙、口腔颌面外科、窝沟封闭、冷光美白、地包天、种植牙修复、即刻种植、洗牙、牙齿矫正、烤瓷牙、儿童齿科、窝沟封闭、儿童早期矫正、根管治疗、显微根管治疗、牙套、拔牙、补牙、全瓷牙、地包天、活动义齿、牙齿美白、冷光美白、瓷贴面、颌面外科、种植牙、冷光美白、瓷贴面、窝沟封闭、儿童早期矫正、显微根管治疗
地址:北京市西城区西四南大街62号南附楼一层101、二层、三层
2025-09-29 11:20:23

深圳市希華愛康健醫院口腔科
项目:种植牙、牙齿矫正、牙齿美白、补牙、烤瓷牙、儿童齿科、根管治疗、全瓷牙
地址:深圳市羅湖區和平路火車站西座二層G區(通港停車場步行100米)
2025-09-30 10:28:08

首都医科大学附属北京口腔医院
项目:种植牙、牙齿矫正、牙齿美白、补牙、烤瓷牙、儿童齿科、根管治疗、全瓷牙、口腔颌面外科、下颌骨矫正、即刻种植牙、颞牙槽外科疾病、下颌关节疾病、美国3种种植体、威兰德全瓷牙、瑞士ITI、泽康全瓷牙、3M Lava全瓷牙、半口种植、多颗种植、单颗种植、陶瓷自锁矫正、窝沟封闭、氟化治疗、正颌手术、咬合不齐、凸嘴矫正、舌侧隐形矫正、四环素牙、洁牙、牙贴面、冷光美白、激光美白、皓齿美白、银汞合金充填术、树脂充填术、嵌体修复、二氧化锆烤瓷牙、贵金属烤瓷牙、镍铝合金烤瓷牙、儿童龋齿、奶瓶龋、地包天、牙性地包天、骨性地包天、种植牙修复、即刻种植、洗牙、牙齿矫正、烤瓷牙、儿童齿科
地址:- 天坛院区:东城区天坛西里4号(地铁8号线天桥站C口); - 王府井院区:东城区锡拉胡同11号(地铁1号线王府井站); - 主院区:丰台区樊家村路9号(地铁10号线首经贸站)。
2025-10-09 11:20:27

北京欢乐英诺口腔门诊部
项目:种植牙、牙齿矫正、牙齿美白、补牙、烤瓷牙、儿童齿科、根管治疗、全瓷牙、口腔颌面外科、窝沟封闭、冷光美白、地包天、种植牙修复、即刻种植、洗牙、牙齿矫正、烤瓷牙、儿童齿科、窝沟封闭、儿童早期矫正、根管治疗、显微根管治疗、牙套、拔牙、补牙、全瓷牙、地包天、活动义齿、牙齿美白、冷光美白、瓷贴面、颌面外科、种植牙、冷光美白、瓷贴面、窝沟封闭、儿童早期矫正、显微根管治疗
地址:北京欢乐英诺口腔门诊部位于北京市海淀区学院路6号1号楼1层104、2层跃层
2025-10-09 17:04:03
评价(已有0人点评)