西安未央广安海涛口腔门诊部(广安店)成立于2020年,营业面积达10000平方米,是经过西安当地监管部门认可的正规私立连锁口腔医院。该医院诊疗优势显著,提供口腔身体科、外科、正畸、修复、儿童口腔及预防保健等综合服务,其中种植、正畸和美学修复是核心优势学科。医院配备精良设备,实施严格消毒,营造了舒适的诊疗环境。医生技术不错,院长赵海涛是留美哈佛学者,致力于降低国内牙病率,在业内口碑良好。

西安未央广安海涛口腔门诊部(广安店)简介概述
西安未央广安海涛口腔门诊部(广安店)成立于2020年,是一家经西安当地监管部门认可的正规私立连锁口腔医院。医院规模较大,营业面积达10000平方米。诊疗项目丰富,涵盖口腔身体科、外科、正畸、修复、儿童口腔及预防保健等。特色技术及优势突出,种植、正畸和美学修复是核心优势学科。诊疗环境舒适,医院严格执行消毒制度。在设备方面,配备了精良的医疗设备。医生技术高超,院长赵海涛是留美哈佛学者,有着丰富的从业经验。凭借优质的服务和专精的技术,医院在患者中口碑良好。

西安未央广安海涛口腔门诊部(广安店)是正规医院吗?
西安未央广安海涛口腔门诊部(广安店)是正规医院。该医院成立于2020年,经过西安当地监管部门的认可,拥有合法的经营资质。医院严格按照相关规定开展医疗服务,在诊疗过程中遵循科学、规范的流程。配备了精良的医疗设备,拥有专精的医生团队,能够为患者提供高质量的口腔医疗服务,值得患者信赖。

西安未央广安海涛口腔门诊部(广安店)特色项目及技术优势
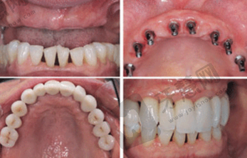
1. 种植技术:医院在种植牙领域有着丰富的经验,医生能够根据患者的具体情况制定个性化的种植方案,确保种植成效稳定、美观。
2. 正畸技术:采用精良的正畸技术,如隐形矫正等,能够有效改善牙齿排列不齐等问题,治疗过程舒适,成效显著。
3. 美学修复:注重牙齿的美观与功能相结合,通过美学修复技术,能够修复牙齿缺损、变色等问题,让患者拥有自然、美观的牙齿。

西安未央广安海涛口腔门诊部(广安店)医生团队实力强大及骨干医生简介
1. 赵海涛:主治医师,从业24年,留美哈佛学者,创立该口腔门诊部旨在让国内的牙病率低于美国水平,擅长口腔正畸、口腔种植等项目,技术不错,经验多。

西安未央广安海涛口腔门诊部(广安店)地址电话营业时间
地址:陕西省西安市浐灞生态区玄武东路999号罗马嘉园2号楼底商S10101、S10102、S10103商铺。电话:1559x**830 。营业时间:周一至周日 09:00 - 18:00。

西安未央广安海涛口腔门诊部(广安店)收费价格表/收费标准
1. 种植牙:8000 - 20000元
2. 牙齿矫正:5000 - 30000元
3. 烤瓷牙:1000 - 5000元
4. 补牙:200 - 800元
5. 拔牙:100 - 500元
6. 洗牙:100 - 300元
7. 牙齿美白:800 - 3000元
8. 儿童牙科:200 - 1000元
9. 活动义齿:1000 - 5000元
10. 牙周治疗:500 - 3000元
11. 口腔预防保健:100 - 500元
12. 地包天矫正:10000 - 50000元
13. 口腔修复:1000 - 8000元
14. 隐形矫正:15000 - 40000元
15. 牙齿贴面:1000 - 5000元
16. 根管治疗:500 - 2000元
17. 口腔颌面外科手术:5000 - 50000元
18. 牙齿脱敏治疗:200 - 800元
19. 口腔CBCT检查:200 - 500元
20. 全景片拍摄:100 - 300元
以上价格仅供参考。

西安未央广安海涛口腔门诊部(广安店)真人口碑评价怎么样?
1. 我之前牙齿排列不齐,一直想矫正。来到西安未央广安海涛口腔门诊部(广安店)后,医生给我制定了详细的矫正方案。整个矫正过程特别顺利,医生技术特别专精,会定期跟进我的矫正情况。现在牙齿变得整齐了,我非常满意,也更自信了。
2. 我因为牙齿缺失来这里做种植牙。医生详细地给我介绍了种植牙的过程和注意事项,手术过程中没有感到明显的疼痛。术后修复得也特别快,种植牙的成效良好,和真牙差不多,吃东西也特别方便。这家医院的服务和技术都值得称赞。
3. 我的牙齿有点发黄,影响美观。在这家医院做了牙齿美白项目。医生操作特别熟练,成效立竿见影,牙齿变得白净了特别多。而且医院的环境特别舒适,工作人员服务也特别热情,让我有良好的就诊体验。
4. 孩子牙齿有问题,带他来这里看儿童牙科。医生特别有耐心,和孩子沟通得良好,孩子一点也不害怕。医生正确地诊断出孩子的问题,并给出了合适的治疗方案。治疗后孩子的牙齿问题得到了解决,我特别感谢这里的医生。
5. 我做了烤瓷牙修复,医生根据我的牙齿情况进行了精心设计。烤瓷牙的颜色和我的真牙特别接近,而且特别坚固。在治疗过程中,医生特别细心,每一个环节都处理得良好。现在我的牙齿不仅修复了功能,还变得美观了,我对这次治疗非常满意。

西安未央广安海涛口腔门诊部(广安店)详细的预约挂号方式及流程
1. 电话预约:拨打医院联系电话1559x**830,告知工作人员预约的时间和项目。
2. 网络在线预约挂号:登录医院法定网站,在网站上找到预约挂号入口,填写个人信息和预约信息进行预约。
3. 线下预约挂号:直接前往医院前台,向工作人员说明预约需求,进行现场预约。
4. 网站在线客服弹窗:在医院法定网站上会有在线客服弹窗,点击弹窗与客服沟通,进行预约挂号。


吴凤霞主丨任医师
所属医院:上海维佳康口腔(静安美琦口腔)
诊疗项目:种植牙、牙齿矫正、牙齿美白、烤瓷牙、拔牙
2025-08-26 06:02:01

龙银芳主治医师
所属医院:深圳麦芽口腔门诊部
诊疗项目:种植牙、牙齿美白、补牙、烤瓷牙、儿童齿科、根管治疗、全瓷牙、窝沟封闭、洗牙、烤瓷牙、儿童齿科、窝沟封闭、根管治疗、补牙、全瓷牙、牙齿美白、种植牙、窝沟封闭
2025-09-25 14:53:21

游勤波副主任医师
所属医院:深圳麦芽口腔门诊部
诊疗项目:种植牙、牙齿矫正、牙齿美白、补牙、烤瓷牙、儿童齿科、根管治疗、全瓷牙、即刻种植、牙齿矫正、烤瓷牙、儿童齿科、根管治疗、补牙、全瓷牙、活动义齿、牙齿美白、种植牙
2025-09-25 14:54:12

田忠奇主治医师
所属医院:深圳麦芽口腔门诊部
诊疗项目:种植牙、牙齿矫正、牙齿美白、烤瓷牙、根管治疗、全瓷牙、即刻种植牙、牙贴面、洗牙、牙齿矫正、烤瓷牙、儿童早期矫正、根管治疗、全瓷牙、牙齿美白、种植牙、儿童早期矫正
2025-09-25 14:54:40

邢晓峰主治医师
所属医院:深圳麦芽口腔门诊部
诊疗项目:种植牙、牙齿矫正、牙齿美白、儿童齿科、半口种植、多颗种植、单颗种植、种植牙修复、即刻种植、洗牙、牙齿矫正、儿童齿科、牙齿美白、种植牙
2025-10-04 13:10:02

福州闽侯金诺口腔门诊部
项目:种植牙、牙齿矫正、牙齿美白、补牙、烤瓷牙、儿童齿科、根管治疗、全瓷牙、口腔颌面外科、窝沟封闭、冷光美白、地包天、种植牙修复、即刻种植、洗牙、牙齿矫正、烤瓷牙、儿童齿科、窝沟封闭、儿童早期矫正、根管治疗、显微根管治疗、牙套、拔牙、补牙、全瓷牙、地包天、活动义齿、牙齿美白、冷光美白、瓷贴面、颌面外科、种植牙、冷光美白、瓷贴面、窝沟封闭、儿童早期矫正、显微根管治疗
地址:福州市闽侯县上街镇国宾大道338号英泰第一城B区商住3#楼2层212 - 215商住
2025-10-09 14:19:45

武汉咿呀口腔(青年路门诊)
项目:种植牙、牙齿矫正、牙齿美白、补牙、烤瓷牙、儿童齿科、根管治疗、全瓷牙、口腔颌面外科、种植牙修复、即刻种植
地址:武汉市江汉区航空路电业新村一期5栋1、2层1室4号
2025-10-09 17:51:12

武汉艺星医疗美容医院口腔科
项目:种植牙、牙齿矫正、牙齿美白、补牙、烤瓷牙、儿童齿科、根管治疗、全瓷牙、口腔颌面外科、地包天、种植牙修复、即刻种植
地址:武汉市江汉区新华路476号时代财富中心2层1-0层29层办
2025-10-10 16:33:02

武汉清华阳光口腔(岳家嘴分院)
项目:种植牙、牙齿矫正、牙齿美白、补牙、烤瓷牙、儿童齿科、根管治疗、全瓷牙、口腔颌面外科、地包天、种植牙修复、即刻种植
地址:武昌区中北路252号菩提金商务中心B座2楼
2025-10-10 17:05:02

武汉德韩口腔(新唐万科分院)
项目:种植牙、牙齿矫正、牙齿美白、补牙、烤瓷牙、儿童齿科、根管治疗、全瓷牙、口腔颌面外科、种植牙修复、即刻种植
地址:湖北省武汉市江汉区常青一路218号新唐万芊荟F2
2025-10-14 16:27:03
评价(已有0人点评)