福州海狸家口腔门诊部是卫生部门审批成立的正规口腔机构,在口腔诊疗领域有着出色的表现,下面为您详细介绍福州海狸家口腔门诊部的相关信息。

福州海狸家口腔门诊部是否为正规医院
正规资质实力:福州海狸家口腔门诊部是经过福州地区相关部门批准成立的正规口腔专科机构,隶属福州海狸家口腔科技有限公司。总公司于2016年成立,是青少儿高端口腔连锁品牌,资质实力齐全完善。
专注正畸领域:自成立以来,该门诊部一直专注于中小学生牙齿矫正问题,在正畸领域表现出色,同时在种植牙和儿童口腔诊疗方面也有不错的成绩。门诊部环境干净整洁,能让患者有舒适的诊疗服务体验,收获了广大口腔患者的一致好评。

福州海狸家口腔门诊部擅长项目
科室项目丰富:福州海狸家口腔门诊部成立多年,规模逐步扩大,拥有13家门诊,分布在福州、厦门、泉州等地。科室设置涵盖了儿童正畸、儿童早期干预、根管治疗、窝沟封闭、全口涂氟等项目,集牙齿美容、修复、保养为一体。
擅长青少年正畸:尤其擅长青少年正畸,是一家专做青少年正畸的牙科,客户群主要为6 - 18岁青少年。致力于解决儿童牙齿反颌、深覆颌、深覆盖、牙齿稀疏、牙齿拥挤、开颌等问题。在正畸过程中,采用3D数字化矫正技术,拥有较大的正畸临床数据库,且所有矫正方案都要经过硕博医生团队层层把关。

福州海狸家口腔门诊部地址及乘车路线
部分门诊地址:福州海狸家口腔门诊部有13家门诊,以下列举部分常见门诊地址及乘车路线。爱情海店位于福建省福州市仓山区爱琴海购物公园3F(肯德基对面);鼓山新区小学店在福建省福州市晋安区鼓山镇连洋路123号好来屋天翔大酒店1F(鼓山新区小学旁);屏东中学店地址为福建省福州市鼓楼区营迹路69号恒力创富中 心2F第08号商铺。
乘车路线及营业时间:爱情海店可乘坐6路、26路、82路等多路公交车抵达,鼓山新区小学店乘坐9路、16路、17路等公交车可到,屏东中学店可乘坐7路、14路、15路等公交车。这三家店营业时间均为周一至周日10:00 - 21:30。

福州海狸家口腔门诊部特色项目
补牙特色:在补牙方面,采用的技术和材料确保补牙疗效自然、持久。
正畸亮点:正畸项目是其一大亮点,采用3D数字化矫正技术,矫正前可以采用多维系统检测深度筛查口腔的健康隐患,智能化的面部检测能预知牙齿生长形态。并且所有矫正方案都经过硕博医生团队层层把关。以爱琴海店为例,拥有精良的口腔诊疗设备和扫描系统,能实时掌握口腔问题,避免频繁张嘴的麻烦,轻松制定初步诊疗方案。
青少年颌面发育治疗:针对青少年颌面发育问题,提倡早治疗早省心,开通线上问诊通道,量齿定制个性化正畸方案。儿童早期干预矫正特色的MRC肌功能训练,可针对咬手指、吐舌头等不良口腔习惯进行调整,让异常的面部肌肉通过锻炼修复正常。

福州海狸家口腔门诊部基本情况
专精医生团队:福州海狸家口腔门诊部汇聚了一批经验熟练、技术娴熟的口腔医疗专科医生团队。他们有深厚学术背景,临床经验多。
多方位诊疗服务:从基础的洁牙、补牙到复杂的牙齿矫正、种植牙、牙周病治疗等,都能提供多方位、个性化的诊疗方案。尤其在儿童口腔健康方面倾注大量心血,致力于降低6 - 18岁龋患率和错合畸形发病率。孩子们在治疗时能通过3D模拟动画提前预见矫治后的成效,提升了治疗过程的透明度和趣味性。

福州海狸家口腔门诊部资质情况
正规合法经营:福州海狸家口腔门诊部是经过福州地区相关部门批准成立的正规口腔专科机构,资质实力非常齐全完善。旗下的福州市仓山海狸家口腔门诊部有限公司、福州市鼓楼海狸家口腔诊所有限公司、福州台江海狸家口腔诊所有限公司等都处于合法经营状态。
科研成果突出:其中,福州市鼓楼海狸家口腔诊所有限公司注重科技创新、专注于儿童口腔健康,拥有强大科研团队,获得20多项专项和版权证书,被认定为高新技术企业和科技型中小企业,在行业中表现突出,入围相关榜单50强,还荣获“前列口腔科技企业奖”和“领跑口腔服务品牌奖”。

福州海狸家口腔门诊部顾客实例
良好口碑见证:福州海狸家口腔门诊部凭借多店连锁的便捷性、技术可靠的专科性以及收费合理的亲民性,在福州口腔医疗领域树立了良好的口碑。许多家长表示,孩子在这里治疗后牙齿变整齐,面部美观改善,自信心得到提升。
顾客评价实例:顾客A称,孩子牙齿不整齐,医生特别专精,制定详细正畸方案,孩子戴牙套异物感低、不疼,半年过去牙齿有位移,复诊还提供校门口就诊服务;顾客B表示,带孩子做儿童早期干预矫正,医生推荐MRC肌功能训练,孩子不良习惯明显改善,环境干净,医护耐心解释治疗过程和注意事项,对治疗体验非常满意。

福州海狸家口腔门诊部价格表
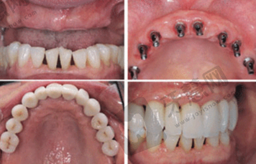
种植牙价格:韩国登腾种植牙4680元起/颗;韩国奥齿泰种植牙5560元起/颗;美国皓圣种植牙7840元起/颗;德国ICX种植牙8430元起/颗;瑞士ITI种植牙11350元起/颗;瑞典诺贝尔种植牙12780元起/颗。
牙齿矫正价格:传统金属矫正8350元起;金属自锁矫正12580元起;正雅隐形矫正19850元起;时代天使隐形矫正28860元起;隐适美隐形矫正36980元起。
口腔综合价格:儿童窝沟封闭98元起;儿童全口涂氟183元起;超声波洗牙158元起;3M树脂补牙198元起;智齿拔牙398元起;前牙根管治疗498元起;后磨牙根管治疗800元起;牙齿贴面美白1880元起;烤瓷牙680元起;全瓷牙980元起。


贾亚梅院长
所属医院:长春朝阳区爱齿口腔繁荣路门诊部
诊疗项目:补牙、地包天、烤瓷牙、活动义齿、拔牙
2025-08-31 06:11:01

程成主治医师
所属医院:长春净月嘉泰口腔门诊部
诊疗项目:烤瓷牙、根管治疗、拔牙、补牙、全瓷牙
2025-09-05 11:15:35

杨树杉主治医师
所属医院:北京中科领军口腔
诊疗项目:种植牙、种植牙
2025-09-17 18:22:02

钟铭
所属医院:上海西郊众植口腔医院
诊疗项目:烤瓷牙、根管治疗、牙套、拔牙、补牙、全瓷牙、地包天、活动义齿、牙齿美白、种植牙
2025-09-19 17:48:40

邵俊强主治医师
所属医院:深圳麦芽口腔门诊部
诊疗项目:种植牙、牙齿矫正、牙齿美白、补牙、烤瓷牙、儿童齿科、根管治疗、全瓷牙、洗牙、牙齿矫正、烤瓷牙、儿童齿科、儿童早期矫正、根管治疗、补牙、全瓷牙、牙齿美白、种植牙、儿童早期矫正
2025-10-05 10:57:02

武汉晴川立康口腔(白沙洲店)
项目:种植牙、牙齿矫正、牙齿美白、补牙、烤瓷牙、儿童齿科、根管治疗、全瓷牙、地包天、种植牙修复、即刻种植
地址:湖北省武汉市洪山区张家湾街烽胜路毛坦港湾A区6栋主楼二楼6号商铺
2025-10-15 16:52:01

江苏徐州新沂苏贝口腔门诊部
项目:种植牙、牙齿矫正、牙齿美白、补牙、烤瓷牙、儿童齿科、根管治疗、全瓷牙、口腔颌面外科、下颌骨矫正、即刻种植牙、颞牙槽外科疾病、下颌关节疾病、美国3种种植体、威兰德全瓷牙、瑞士ITI、泽康全瓷牙、3M Lava全瓷牙、半口种植、多颗种植、单颗种植、陶瓷自锁矫正、窝沟封闭、氟化治疗、正颌手术、咬合不齐、凸嘴矫正、舌侧隐形矫正、四环素牙、洁牙、牙贴面、冷光美白、激光美白、皓齿美白、银汞合金充填术、树脂充填术、嵌体修复、二氧化锆烤瓷牙、贵金属烤瓷牙、镍铝合金烤瓷牙、儿童龋齿、奶瓶龋、地包天、牙性地包天、骨性地包天、种植牙修复、即刻种植、洗牙、牙齿矫正、烤瓷牙、儿童齿科
地址:江苏省徐州市新沂市新安街道商贸城三期2号楼16(大桥路与公园路交叉口东南约50米)
2025-10-16 11:08:31

武汉爱齿尔口腔(南湖院)
项目:种植牙、牙齿矫正、牙齿美白、补牙、烤瓷牙、儿童齿科、根管治疗、全瓷牙、口腔颌面外科、种植牙修复、即刻种植
地址: 武汉市洪山区文治街32号南湖维佳佰港城2楼爱齿尔口腔医院(公交站南湖建安街站)
2025-10-16 15:55:05

厦门宝金惠民口腔门诊部
项目:种植牙、牙齿矫正、牙齿美白、补牙、烤瓷牙、儿童齿科、根管治疗、全瓷牙、口腔颌面外科、窝沟封闭、冷光美白、地包天、种植牙修复、即刻种植、洗牙、牙齿矫正、烤瓷牙、儿童齿科、窝沟封闭、儿童早期矫正、根管治疗、显微根管治疗、牙套、拔牙、补牙、全瓷牙、地包天、活动义齿、牙齿美白、冷光美白、瓷贴面、颌面外科、种植牙、冷光美白、瓷贴面、窝沟封闭、儿童早期矫正、显微根管治疗
地址:厦门市海沧区兴港路675、677、679、681、683号
2025-10-17 13:34:55

东莞大朗牙博士口腔
项目:种植牙、牙齿矫正、牙齿美白、补牙、烤瓷牙、儿童齿科、根管治疗、全瓷牙、口腔颌面外科、下颌骨矫正、即刻种植牙、颞牙槽外科疾病、下颌关节疾病、美国3种种植体、威兰德全瓷牙、瑞士ITI、泽康全瓷牙、3M Lava全瓷牙、半口种植、多颗种植、单颗种植、陶瓷自锁矫正、窝沟封闭、氟化治疗、正颌手术、咬合不齐、凸嘴矫正、舌侧隐形矫正、四环素牙、洁牙、牙贴面、冷光美白、激光美白、皓齿美白、银汞合金充填术、树脂充填术、嵌体修复、二氧化锆烤瓷牙、贵金属烤瓷牙、镍铝合金烤瓷牙、儿童龋齿、奶瓶龋、地包天、牙性地包天、骨性地包天、种植牙修复、即刻种植、洗牙、牙齿矫正、烤瓷牙、儿童齿科
地址:广东省东莞市大朗镇富民中路233号2011室
2025-10-17 15:03:14
评价(已有0人点评)