珠海瑞尔口腔门诊部成立于2022年,是经珠海市香洲区卫生健康局批准建立的现代化齿科机构,营业面积420平米,正规可靠。该门诊部的诊疗优势突出,以“数字化微创种植”“精细数字化正畸”为特色项目。院内环境优雅,设备精良,为患者提供了良好的诊疗环境。这里的医生团队经验多、技术不错,均具备深厚的专精知识和丰富的临床经验,深受当地人信赖和认可。

珠海瑞尔口腔门诊部简介概述
珠海瑞尔口腔门诊部成立于2022年,是经珠海市香洲区卫生健康局批准建立的正规齿科机构。诊疗项目丰富,涵盖镶牙种植牙、牙齿矫正、牙齿美白、牙周病治疗、儿牙等。特色技术优势明显,采用“数字化微创种植”“精细数字化正畸”技术。诊疗环境优雅,营业面积达420平米。设备精良,能为患者提供更精细的诊疗服务。门诊部开诊项目齐全,医生团队经验多、技术不错,凭借优质的服务和良好的治疗成效,深受当地患者的信赖和认可。

珠海瑞尔口腔门诊部是正规医院吗?
珠海瑞尔口腔门诊部是正规的口腔诊疗机构。2024年6月21日经卫健委官网公开信息查询可知,其省份为广东省,审批机关是珠海市香洲区卫生健康局,登记号为MABN0TDP444040217D1522,诊疗科目为口腔科,级别为无级别,拥有正规资质,值得患者信赖。

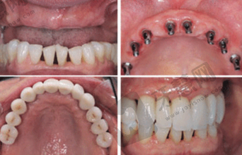
珠海瑞尔口腔门诊部特色项目及技术优势
1. 数字化微创种植:采用精良的数字化技术,精细定位种植位置,手术创口小,术后修复快,能有效减少患者的痛苦和治疗时间。
2. 精细数字化正畸:利用数字化手段进行精细诊断和方案设计,正畸过程更加精细、效率高,能为患者提供个性化的正畸方案,达到理想的矫正成效。
3. 专精儿牙诊疗:针对儿童牙齿特点,提供专精的儿牙预防、治疗服务,帮助儿童养成良好的口腔卫生习惯,保护儿童牙齿健康成长。

珠海瑞尔口腔门诊部医生团队实力强大及骨干医生简介
1. 汪宇翔 主治医师:擅长镶牙种植牙、牙周病治疗。具备丰富的临床经验,能够熟练运用精良的技术和方法为患者解决口腔问题。

珠海瑞尔口腔门诊部地址电话营业时间
地址:珠海市香洲区石花东路58号28栋8单元101、201商铺。电话:0756 - 22x98x0。营业时间:周一至周日 09:00 - 19:00。

珠海瑞尔口腔门诊部收费价格表/收费标准
1. 超声波洗牙:100 - 300元
2. 树脂补牙:200 - 500元
3. 拔牙:100 - 800元
4. 烤瓷牙:800 - 3000元
5. 全瓷牙:1500 - 5000元
6. 牙齿矫正:8000 - 30000元
7. 种植牙:5000 - 20000元
8. 牙齿美白:1000 - 3000元
9. 牙周治疗:500 - 2000元
10. 根管治疗:500 - 1500元
11. 儿童涂氟:100 - 300元
12. 儿童窝沟封闭:100 - 300元
13. 口腔检查:50 - 200元
14. 牙冠修复:800 - 5000元
15. 活动假牙:500 - 3000元
16. 固定假牙:1000 - 5000元
17. 隐形矫正:15000 - 40000元
18. 正畸保持器:300 - 800元
19. 口腔CBCT检查:300 - 800元
20. 口腔全景片:100 - 300元
以上价格仅供参考。

珠海瑞尔口腔门诊部真人口碑评价怎么样?
1. 我之前牙齿排列不整齐,一直想矫正。来到珠海瑞尔口腔门诊部后,医生为我制定了详细的矫正方案。矫正过程中,医生和护士都特别负责,会定期跟进我的情况。现在矫正成效非常好,牙齿变得整齐美观,我非常满意。
2. 我有颗牙齿缺失,想做种植牙。在珠海瑞尔口腔门诊部,医生采用数字化微创种植技术,手术过程特别顺利,创口小,修复也快。现在种植牙使用起来和真牙一样,感觉太棒了。
3. 我孩子的牙齿有龋齿,带他来珠海瑞尔口腔门诊部治疗。医生特别有耐心,对孩子特别温柔,治疗过程中孩子也没有哭闹。治疗后,孩子的牙齿问题解决了,以后还会带他来这里看牙。
4. 我一直想美白牙齿,朋友推荐我来珠海瑞尔口腔门诊部。医生根据我的牙齿情况进行了个性化美白方案。美白后,牙齿明显变白了,成效特别自然。而且整个过程没有不适感,体验非常好。
5. 我有牙周炎,在珠海瑞尔口腔门诊部接受了牙周治疗。医生的技术特别专精,治疗后我的牙周炎症状得到了明显改善。这里的环境也特别舒适,服务周到,以后会继续来这里维护口腔健康。

珠海瑞尔口腔门诊部详细的预约挂号方式及流程
1. 电话预约:拨打0756 - 22x98x0,按照语音提示或与工作人员沟通进行预约挂号。
2. 网络在线预约挂号:登录珠海瑞尔口腔门诊部法定网站,在预约挂号板块填写相关信息进行预约。
3. 线下预约挂号:直接前往珠海瑞尔口腔门诊部,在前台向工作人员说明预约需求,进行挂号。
4. 网站在线客服弹窗:在门诊部法定网站上,点击在线客服弹窗,与客服人员沟通预约挂号事宜。


吴晓飞副主任医师
所属医院:珠海诺贝尔口腔(新香洲门诊)
诊疗项目:
2025-08-20 16:18:26

王犇主丨任
所属医院:北京禾禾口腔门诊部
诊疗项目:儿童齿科、全瓷牙、活动义齿、补牙
2025-08-25 06:11:02

马昌发执业医师
所属医院:长沙华悦口腔门诊部
诊疗项目:种植牙修复、儿童早期矫正、烤瓷牙、牙套
2025-08-26 06:19:01

潘灏副主丨任医师
所属医院:苏州市华夏口腔医院
诊疗项目:烤瓷牙、儿童齿科、活动义齿、牙套
2025-09-05 06:10:02

郭佳星主治医生
所属医院:北京欢乐口腔门诊部
诊疗项目:种植牙、牙齿矫正、牙齿美白、补牙、儿童齿科、根管治疗、全瓷牙、单颗种植、洗牙、牙齿矫正、儿童齿科、根管治疗、牙套、补牙、全瓷牙、牙齿美白、种植牙
2025-09-30 09:53:03

江苏徐州新沂苏贝口腔门诊部
项目:种植牙、牙齿矫正、牙齿美白、补牙、烤瓷牙、儿童齿科、根管治疗、全瓷牙、口腔颌面外科、下颌骨矫正、即刻种植牙、颞牙槽外科疾病、下颌关节疾病、美国3种种植体、威兰德全瓷牙、瑞士ITI、泽康全瓷牙、3M Lava全瓷牙、半口种植、多颗种植、单颗种植、陶瓷自锁矫正、窝沟封闭、氟化治疗、正颌手术、咬合不齐、凸嘴矫正、舌侧隐形矫正、四环素牙、洁牙、牙贴面、冷光美白、激光美白、皓齿美白、银汞合金充填术、树脂充填术、嵌体修复、二氧化锆烤瓷牙、贵金属烤瓷牙、镍铝合金烤瓷牙、儿童龋齿、奶瓶龋、地包天、牙性地包天、骨性地包天、种植牙修复、即刻种植、洗牙、牙齿矫正、烤瓷牙、儿童齿科
地址:江苏省徐州市新沂市新安街道商贸城三期2号楼16(大桥路与公园路交叉口东南约50米)
2025-10-16 11:08:31

广州德伦口腔(中山八路分院)
项目:种植牙、牙齿矫正、牙齿美白、补牙、烤瓷牙、儿童齿科、根管治疗、全瓷牙、口腔颌面外科、种植牙修复、即刻种植
地址:广州市荔湾区中山八路12号5楼502(荔景商场5F)
2025-10-17 15:54:02

广州爱顿⼝腔(东涌院区)
项目:种植牙、牙齿矫正、牙齿美白、补牙、烤瓷牙、儿童齿科、根管治疗、全瓷牙、口腔颌面外科、种植牙修复、即刻种植
地址:广州市南沙区东涌镇培贤东路18号
2025-10-17 17:09:01

广州德伦口腔(新塘分院)
项目:种植牙、牙齿矫正、牙齿美白、补牙、烤瓷牙、儿童齿科、根管治疗、全瓷牙、口腔颌面外科、种植牙修复、即刻种植
地址:广州市增城区新塘镇港口大道336号群星新村一层011号(大润发对面)
2025-10-20 15:27:01

珠海瑞尔口腔门诊部
项目:种植牙、牙齿矫正、牙齿美白、补牙、烤瓷牙、儿童齿科、根管治疗、全瓷牙、洗牙、牙齿矫正、烤瓷牙、儿童齿科、根管治疗、牙套、拔牙、补牙、全瓷牙、活动义齿、牙齿美白、颌面外科、种植牙
地址:珠海市香洲区石花东路58号28栋8单元101、201商铺
2025-10-20 18:21:01
评价(已有0人点评)