深圳汇港口腔门诊部是一家值得信赖的口腔医疗机构。它成立于2024年8月22日,具有正规的运营资质。该门诊部诊疗项目丰富,涵盖口腔诊疗、健康询问、医疗器械销售等。其地理位置优越,邻近黄贝岭地铁站,交通十分便利。内部环境舒适,布局合理,能让患者在轻松的氛围中接受治疗。不少患者反馈,这里的洗牙服务手法柔和,贴面修复成效显著,医生面诊时也特别细心,价格还特别良心,整体口碑良好。

深圳汇港口腔门诊部简介概述
深圳汇港口腔门诊部成立于2024年8月22日,是一家正规的口腔诊疗机构。诊疗项目丰富多样,包括口腔诊疗、健康询问(非诊疗)、医疗器械销售(一/二类)及预包装食品销售等。在诊疗环境上,周边社区商业配套密集,且邻近黄贝岭地铁站,交通便利。内部环境舒适宜人,布局合理。虽然暂未了解到其设备的具体精良性,但从其正规运营来看,设备应能满足日常诊疗需求。门诊部注册资本30万元国币,具备一定的规模。从患者反馈来看,洗牙服务“手法柔和”,贴面修复成效提升明显,医生面诊细心,价格实惠,口碑良好。

深圳汇港口腔门诊部是正规医院吗?
深圳汇港口腔门诊部是正规的口腔医疗机构。它于2024年8月22日正式成立,拥有明确的法定代表人何远伟,同时何远伟还担任董事职务。门诊部具有合法的注册资本30万元国币,经营范围也在相关规定许可的范围内,涵盖了口腔诊疗、健康询问、医疗器械销售等多个方面。从这些信息可以看出,该门诊部经过了合法的注册和审批流程,是一家值得患者信赖的正规口腔机构。

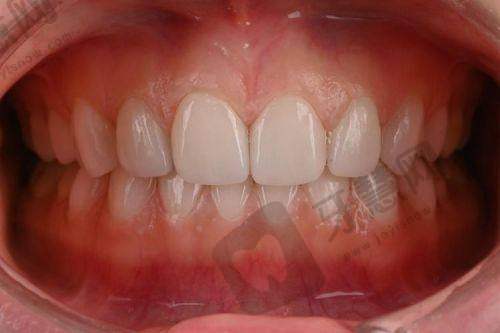
深圳汇港口腔门诊部特色项目及技术优势
1. 洗牙服务:患者反馈洗牙手法柔和,在清洁牙齿的过程中能较大程度减少患者的不适感,让洗牙成为一种较为舒适的体验。
2. 贴面修复:贴面修复成效提升明显,能够有效改善牙齿外观,使牙齿更加美观自然,帮助患者重拾自信笑容。
3. 价格优势:超声波洁牙加抛光清理牙结石只需18元,价格十分良心,为患者提供了高性价比的口腔诊疗服务。

深圳汇港口腔门诊部地址电话营业时间
地址:深圳市罗湖区黄贝街道深南东路1002号 黄贝岭下村1栋201
电话:400 - xxxx - xxxx
营业时间:周一至周日 09:00 - 18:00

深圳汇港口腔门诊部收费价格表/收费标准
1. 超声波洁牙:18 - 50元
2. 牙齿抛光:30 - 80元
3. 拔牙:100 - 500元
4. 补牙:200 - 800元
5. 根管治疗:500 - 2000元
6. 牙齿美白:800 - 3000元
7. 烤瓷牙:1000 - 3000元
8. 全瓷牙:2000 - 5000元
9. 种植牙:5000 - 15000元
10. 牙齿矫正:5000 - 30000元
11. 儿童涂氟:50 - 200元
12. 儿童窝沟封闭:80 - 300元
13. 牙周治疗:300 - 1500元
14. 牙贴面:1000 - 5000元
15. 口腔检查:30 - 100元
16. 口腔全景片:100 - 300元
17. 口腔CT:300 - 1000元
18. 活动义齿:500 - 3000元
19. 固定义齿:1000 - 5000元
20. 隐形矫正:15000 - 40000元
以上价格仅供参考。

深圳汇港口腔门诊部真人口碑评价怎么样?
1. 我之前牙齿上有特别多牙结石,一直想找个地方洗牙。来到深圳汇港口腔门诊部,医生的洗牙手法特别柔和,整个过程一点都不难受。洗完后牙齿干净了特别多,感觉口气都清新了。而且价格只要18元,真的太划算了,以后洗牙就认准这里了。
2. 我的牙齿有一些小瑕疵,影响美观,就想做个贴面修复。在深圳汇港口腔门诊部做完后,成效让我特别惊喜。牙齿变得又白又整齐,就像天生的一样自然。医生技术特别棒,沟通也特别顺畅,给我制定了合适的方案。
3. 我去拔智齿,本来心里特别害怕,但医生特别温柔,一直安慰我,让我放松。打麻药的时候有点疼,不过拔牙过程一点都不疼。医生还时刻关注我的感受,让我有问题就举手示意。拔完后修复得也特别快,体验非常好。
4. 孩子牙齿不齐,我带他来做牙齿矫正。医生特别有耐心,给孩子做了详细的检查和评估,制定了适合的矫正方案。现在孩子矫正一段时间了,成效特别明显。这里环境好,医生专精,特别放心把孩子交给他们。
5. 我有颗牙齿坏了,需要补牙。在深圳汇港口腔门诊部,医生面诊时特别细心,把牙齿的情况跟我解释得特别清楚。补牙过程中也特别小心,补完后牙齿和原来的几乎一样,吃东西也没问题。价格也合理,特别满意这次治疗。

深圳汇港口腔门诊部详细的预约挂号方式及流程
1. 电话预约:可拨打400 - xxxx - xxxx进行预约挂号,告知工作人员您的姓名、联系方式、预约时间和诊疗项目。
2. 网络在线预约挂号:通过医院法定网站或相关医疗服务平台,按照指引填写个人信息和预约需求进行挂号。
3. 线下预约挂号:您可以直接前往深圳汇港口腔门诊部,在前台向工作人员说明您的预约需求,完成挂号手续。
4. 网站在线客服弹窗:在医院官网找到在线客服弹窗,与客服人员沟通预约挂号事宜。


吴豪阳执业医师
所属医院:平顶山牙尔康口腔医院
诊疗项目:种植牙、地包天、种植牙、儿童齿科、颌面外科
2025-08-20 06:09:01

周超苏副主丨任医师
所属医院:苏州市华夏口腔医院
诊疗项目:烤瓷牙、根管治疗、地包天、冷光美白
2025-09-03 06:01:01

吴伟华副主丨任医师
所属医院:苏州市华夏口腔医院
诊疗项目:补牙、洗牙、儿童齿科、活动义齿、补牙
2025-09-04 06:22:01

潘灏副主丨任医师
所属医院:苏州市华夏口腔医院
诊疗项目:烤瓷牙、儿童齿科、活动义齿、牙套
2025-09-05 06:10:02

汪淑云主治医师
所属医院:北京整齐娃娃口腔门诊部
诊疗项目:牙齿矫正、补牙、儿童齿科、根管治疗、全瓷牙、牙齿矫正、儿童齿科、儿童早期矫正、根管治疗、补牙、全瓷牙、瓷贴面、瓷贴面、儿童早期矫正
2025-09-16 14:45:09

武汉华硕口腔(黄陂分院)
项目:种植牙、牙齿矫正、牙齿美白、补牙、烤瓷牙、儿童齿科、根管治疗、全瓷牙、口腔颌面外科、种植牙修复、即刻种植
地址:湖北省武汉市黄陂区前川街西寺大道17号 - 1 - 4层
2025-10-16 16:31:04

厦门小贝壳口腔门诊部
项目:种植牙、牙齿矫正、牙齿美白、补牙、烤瓷牙、儿童齿科、根管治疗、全瓷牙、口腔颌面外科、窝沟封闭、冷光美白、地包天、种植牙修复、即刻种植、洗牙、牙齿矫正、烤瓷牙、儿童齿科、窝沟封闭、儿童早期矫正、根管治疗、显微根管治疗、牙套、拔牙、补牙、全瓷牙、地包天、活动义齿、牙齿美白、冷光美白、瓷贴面、颌面外科、种植牙、冷光美白、瓷贴面、窝沟封闭、儿童早期矫正、显微根管治疗
地址:厦门市湖里区金山街道高林中路523号玉玺·万科里521 - 105室 厦门市同安区南门路110号一层、三层
2025-10-17 13:43:08

厦门欧菲医疗美容口腔医院
项目:牙齿矫正、牙齿美白、补牙、烤瓷牙、儿童齿科、根管治疗、全瓷牙、口腔颌面外科、窝沟封闭、冷光美白、地包天、种植牙修复、即刻种植、洗牙、牙齿矫正、烤瓷牙、儿童齿科、窝沟封闭、儿童早期矫正、根管治疗、显微根管治疗、牙套、拔牙、补牙、全瓷牙、地包天、活动义齿、牙齿美白、冷光美白、瓷贴面、眼部、鼻部、口唇、眉毛种植、胡须种植、面部轮廓、下巴整形、皮肤、抗衰抗皱、美体塑形、胸部、肚脐眼整形、变性手术、大脚骨手术、骨水泥填充、耳部、下巴整形、私密、切包皮、阴茎增粗、前列腺、阴茎延长、激光缩阴、手术缩阴、小阴唇手术、处女膜修复、全飞秒激光手术、飞秒激光手术、准分子激光术、半飞秒激光手术、青光眼、小儿眼科、眼底病、泪道疾病、冷光美白、瓷贴面、窝沟封闭、儿童早期矫正、显微根管治疗
地址:厦门市湖里区东渡路119号
2025-10-17 13:48:20

石家庄全博口腔(德贤分院)
项目:种植牙、牙齿矫正、牙齿美白、补牙、烤瓷牙、儿童齿科、根管治疗、全瓷牙、种植牙修复、即刻种植
地址: 石家庄市裕华区塔南路76号中冶德贤名园2号住宅0101-0102底商
2025-10-17 16:31:02

大连爱齿美嘉口腔
项目:种植牙、牙齿矫正、牙齿美白、补牙、烤瓷牙、儿童齿科、根管治疗、全瓷牙、口腔颌面外科、窝沟封闭、冷光美白、地包天、种植牙修复、即刻种植、洗牙、牙齿矫正、烤瓷牙、儿童齿科、窝沟封闭、儿童早期矫正、根管治疗、显微根管治疗、牙套、拔牙、补牙、全瓷牙、地包天、活动义齿、牙齿美白、冷光美白、瓷贴面、颌面外科、种植牙、冷光美白、瓷贴面、窝沟封闭、儿童早期矫正、显微根管治疗
地址:辽宁省大连市沙河口区联合路36 - 2号1至2层公建
2025-10-20 17:27:01
评价(已有0人点评)