广州德伦口腔(滨江分院)怎么样?
广州德伦口腔(滨江分院)是一家连锁口腔门诊部,具备较高的正规性和专精性。在诊疗领域方面,涵盖了牙齿矫正、种植牙、牙齿美容修复、牙齿美白、儿童齿科等多个专精项目。其技术精良,引进了海内外领跑的数字化口腔技术,开展数字化舒适微痛种牙、All - on - 4/6全口种植牙、数字化金属托槽矫正、数字化隐形矫正等特色项目。医生团队实力雄厚,有吴小娟、施卫东、易子君等专精医师。吴小娟擅长青少年及成人错颌畸固定矫治/隐形矫治等;施卫东擅长单颗牙/多颗牙微创种植等;易子君擅长美学贴面修复等。他们都有着丰富的临床经验和专精技能。医院配备了全景机、超声洁治器、高频电刀等多种精良的设备仪器,能为患者提供更精细的诊疗服务。在服务方面,严选优质服务商家,有店铺会员权益,并且服务态度温柔细心。从口碑来看,有患者称德伦口腔滨江分院是自己的口腔守护神,也有患者对医生的治疗手法和服务表示认可和喜爱。

广州德伦口腔(滨江分院)正规吗?
广州德伦口腔(滨江分院)是正规的口腔门诊部。从医院资质上看,它是连锁口腔门诊部,有着多年的经营历史。医生方面,吴小娟、施卫东、易子君等医师都具备专精的认证和丰富的临床经验,如吴小娟是时代天使隐形矫治技术认证医师等。设备上,配备了全景机、超声洁治器等多种精良设备,能保护诊疗的精细性。收费方面会遵循市场规范合理收费。卫生方面,有高温高压消毒设备,能确保医疗用品的卫生安心。

广州德伦口腔(滨江分院)诊疗项目:
数字化舒适微痛种牙:采用精良的数字化技术,能精细定位种植位置,减少手术创伤,实现舒适微痛的种植体验。
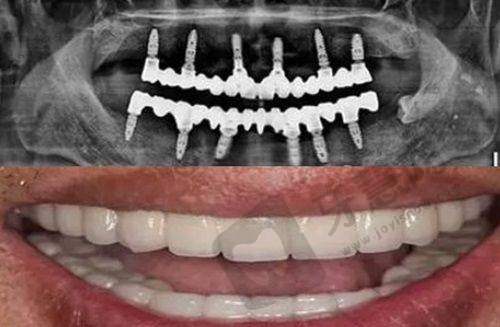
All - on - 4/6全口种植牙:通过4颗或6颗种植体支撑全口牙,减少种植体数量,缩短治疗周期,为全口缺牙患者提供效率高的解决方案。
数字化金属托槽矫正:借助数字化技术精细设计矫正方案,金属托槽坚固耐用,能有效矫正牙齿不齐。
数字化隐形矫正:利用数字化技术定制隐形牙套,美观舒适,可自行摘戴,不影响日常生活。
青少年及成人错颌畸固定矫治/隐形矫治:针对不同年龄段的错颌畸形问题,提供固定矫治和隐形矫治两种方案,满足患者多样化需求。
儿童早期干预及矫治:在儿童生长发育阶段进行早期干预,引导牙齿和颌骨正常发育。
单颗牙/多颗牙微创种植:采用微创技术,减少手术创口,缩短修复时间。
美学贴面修复:通过粘贴贴面改善牙齿外观,达到美观成效。
显微根管治疗:借助显微镜提高治疗的精细度,有效治疗牙髓疾病。
牙周病治疗:专精治疗牙周疾病,维护口腔健康。

广州德伦口腔(滨江分院)医生介绍:
吴小娟:德伦口腔精品院正畸兼全科医生,是时代天使隐形矫治技术认证医师、医学会口腔正畸专委会会员等。具有多年临床工作经验,专长于青少年和成人固定矫治及隐形矫治技术,接受过多位口腔医生正畸治疗技术指导培训,参加多次国内正畸学术交流活动和全科前列技术进修。擅长青少年及成人错颌畸固定矫治/隐形矫治、儿童早期干预及矫治等。
施卫东:德伦口腔精品院全科兼种植医生,是数字化微创种植医师、微创根管治疗医师等。有多年临床经验,在微创根管治疗领域对弯曲和复杂根管治疗有独到心得,美学修复方面能结合精良数字化技术制定个性化美牙方案。擅长单颗牙/多颗牙微创种植、上颌窦内提升术等。
易子君:德伦口腔滨江精品院全科医生,毕业于广州大学临床口腔学士,原广州市石溪口腔科医师,数字化美学修复医师。具备扎实口腔多学科理论知识,积累丰富口腔全科疾病临床诊疗经验。多次前往国内各地参与高新技术培训和深造。擅长美学贴面修复、嵌体修复等。

广州德伦口腔(滨江分院)收费价格表:
广州德伦口腔(滨江分院)种植牙:5000元起
广州德伦口腔(滨江分院)牙齿矫正:8000元起
广州德伦口腔(滨江分院)烤瓷牙:1000元起
广州德伦口腔(滨江分院)补牙:200元起
广州德伦口腔(滨江分院)拔牙:100元起
广州德伦口腔(滨江分院)洗牙:150元起
广州德伦口腔(滨江分院)儿牙治疗:300元起
广州德伦口腔(滨江分院)牙齿美白:1200元起
广州德伦口腔(滨江分院)根管治疗:500元起
广州德伦口腔(滨江分院)美学贴面修复:2000元起

广州德伦口腔(滨江分院)地址电话及营业时间:
广州德伦口腔(滨江分院)地址:
广州市海珠区滨江东路39号滨江宏岸一楼东门自编92号铺
广州德伦口腔(滨江分院)电话:
020 - 837****5
广州德伦口腔(滨江分院)的营业时间:
周一至周日 8:00 - 18:00

广州德伦口腔(滨江分院)预约挂号方式:
1.电话预约:您可以拨打广州德伦口腔(滨江分院)电话020 - 837****5,说明您的姓名、面诊项目等详细信息进行预约。
2.到院预约:广州德伦口腔(滨江分院)地址在广州市海珠区滨江东路39号滨江宏岸一楼东门自编92号铺,您可以直接到医院现场进行预约。
3.在线预约:通过本页面广州德伦口腔(滨江分院)的线上接诊平台,只需点击即可进入后台对话窗口,留下姓名、联系方式等信息,方便客服进行备注,即可进行线上预约和询问。

广州德伦口腔(滨江分院)口碑评价:
“我之前牙齿不齐,一直想矫正。在朋友的推荐下来到了广州德伦口腔(滨江分院)。吴小娟医生非常专精,她根据我的牙齿情况制定了详细的矫正方案。整个矫正过程中,吴医生都特别耐心地解答我的疑问,而且治疗手法特别娴熟。现在我的牙齿已经整齐了特别多,我非常感谢德伦口腔和吴医生。在这里治疗,我感受到了专精的服务和贴心的关怀,以后我还会推荐给身边的人。”
“我因为牙齿缺失,想做种植牙。来到德伦口腔(滨江分院)后,施卫东医生为我进行了详细的检查和评估。他推荐我做单颗牙微创种植,给我讲解了手术的过程和优势。手术过程非常顺利,施医生的技术真的特别棒,创口特别小,修复也特别快。现在我的种植牙使用起来和真牙一样,非常满意。德伦口腔的设备也特别精良,服务也特别周到,让我没有了后顾之忧。”
“我家孩子牙齿有问题,带他来到了广州德伦口腔(滨江分院)。易子君医生对待孩子非常有耐心,温柔细心地为孩子检查牙齿。她给孩子做了儿牙治疗,还教孩子正确的刷牙方法。孩子在治疗过程中一点都不害怕,还特别配合。经过治疗,孩子的牙齿问题得到了良好的解决。易医生的专精和服务让我特别放心,以后孩子的牙齿问题就交给德伦口腔了。”


莫金霖执业医师
所属医院:珠海仁爱口腔门诊部
诊疗项目:全瓷牙、种植牙修复、儿童早期矫正、种植牙、颌面外科
2025-08-21 06:01:01

酒小凡执业医师
所属医院:北京佳美口腔(双井店)
诊疗项目:地包天、洗牙、牙齿矫正、全瓷牙、拔牙
2025-08-22 06:22:01

高建峰主治医师
所属医院:东莞长安霄边固美口腔门诊部
诊疗项目:补牙、儿童齿科、种植牙修复、烤瓷牙、颌面外科
2025-09-01 06:01:01

王小芳院长
所属医院:北京中嘉口腔门诊部
诊疗项目:种植牙、牙齿矫正、牙齿美白、补牙、儿童齿科、根管治疗、陶瓷自锁矫正、舌侧隐形矫正、即刻种植、牙齿矫正、儿童齿科、儿童早期矫正、根管治疗、补牙、牙齿美白、种植牙、儿童早期矫正
2025-09-16 14:43:59

周彦恒主任
所属医院:北京大学口腔医院
诊疗项目:牙齿矫正、陶瓷自锁矫正、正颌手术、咬合不齐、凸嘴矫正、舌侧隐形矫正
2025-10-11 10:43:13

厦门金山佳聚美口腔门诊部
项目:种植牙、牙齿矫正、牙齿美白、补牙、烤瓷牙、儿童齿科、根管治疗、全瓷牙、口腔颌面外科、窝沟封闭、冷光美白、地包天、种植牙修复、即刻种植、洗牙、牙齿矫正、烤瓷牙、儿童齿科、窝沟封闭、儿童早期矫正、根管治疗、显微根管治疗、牙套、拔牙、补牙、全瓷牙、地包天、活动义齿、牙齿美白、冷光美白、瓷贴面、颌面外科、种植牙、冷光美白、瓷贴面、窝沟封闭、儿童早期矫正、显微根管治疗
地址:厦门市湖里区枋湖东路121 - 8号
2025-10-17 13:43:45

广东东莞清溪莞口口腔
项目:种植牙、牙齿矫正、牙齿美白、补牙、烤瓷牙、儿童齿科、根管治疗、全瓷牙、口腔颌面外科、下颌骨矫正、即刻种植牙、颞牙槽外科疾病、下颌关节疾病、美国3种种植体、威兰德全瓷牙、瑞士ITI、泽康全瓷牙、3M Lava全瓷牙、半口种植、多颗种植、单颗种植、陶瓷自锁矫正、窝沟封闭、氟化治疗、正颌手术、咬合不齐、凸嘴矫正、舌侧隐形矫正、四环素牙、洁牙、牙贴面、冷光美白、激光美白、皓齿美白、银汞合金充填术、树脂充填术、嵌体修复、二氧化锆烤瓷牙、贵金属烤瓷牙、镍铝合金烤瓷牙、儿童龋齿、奶瓶龋、地包天、牙性地包天、骨性地包天、种植牙修复、即刻种植、洗牙、牙齿矫正、烤瓷牙、儿童齿科
地址:广东省东莞市清溪镇香芒东路20号2002铺(镇中心,毗邻盛和新都会商业广场) 广东省东莞市横沥镇中山中路1号双龙舫步行街8栋309室 广东省东莞市长安镇长青南路1号 广东省东莞市黄江镇公常路155号108室 广东省东莞市寮步镇塘边社区红荔路1号
2025-10-17 15:06:20

石家庄全博口腔(德贤分院)
项目:种植牙、牙齿矫正、牙齿美白、补牙、烤瓷牙、儿童齿科、根管治疗、全瓷牙、种植牙修复、即刻种植
地址: 石家庄市裕华区塔南路76号中冶德贤名园2号住宅0101-0102底商
2025-10-17 16:31:02

广州德伦口腔(三元里分院)
项目:种植牙、牙齿矫正、牙齿美白、补牙、烤瓷牙、儿童齿科、根管治疗、全瓷牙、口腔颌面外科、种植牙修复、即刻种植
地址:广东省广州市白云区三元里大道838号202铺(亚朵酒店旁)
2025-10-20 16:06:02

武汉优益佳口腔(江夏纸坊旗舰店)
项目:种植牙、牙齿矫正、牙齿美白、补牙、烤瓷牙、儿童齿科、根管治疗、全瓷牙、口腔颌面外科、种植牙修复、即刻种植
地址:湖北省武汉市江夏区纸坊街道鸿发世纪城三期14栋1~3层
2025-10-22 16:16:03
评价(已有0人点评)