厦门优梨口腔门诊部是一家备受关注的口腔医疗机构,在厦门地区为众多患者提供专精的口腔医疗服务。接下来,我们将从多个方面详细介绍厦门优梨口腔门诊部的相关信息。

厦门优梨口腔门诊部是否为正规医院
厦门优梨口腔门诊部的正规性探讨:厦门优梨口腔门诊部创办于2020年,是经厦门卫生部批准成立的牙科医疗品牌,属于卫生部门审批成立的正规口腔机构。它是一家综合性较强的口腔医疗服务机构,集合了口腔治疗、口腔预防、口腔美容修复等多种功能。虽然在2025年3月6日,厦门市思明区卫生健康局拟撤回其《医疗机构执业许可证》,但过去多年它一直正常运营,作为直营旗舰店持续升级服务,还新增了儿童全麻治疗室,在厦门地区积累了不错的口碑。

厦门优梨口腔门诊部擅长的项目
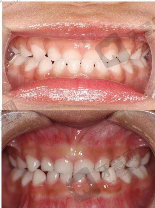
种植牙项目优势:厦门优梨口腔门诊部在种植牙方面表现出色。它采用数字化3D导板种植技术,误差小于0.1mm,还有“即刻负重”技术,能让患者上午种牙,中午就能正常饮食,并且在全口种植牙方面也有丰富的实例和娴熟的技术运用。牙齿矫正特色:牙齿矫正项目提供多样方案,如金属托槽、隐适美隐形矫正、自锁托槽矫正等,还拥有DSD微笑设计技术,能用3D建模预测矫正后的笑容弧度。儿童牙科专长:儿童牙科也是其擅长领域,专科儿牙团队由秦红英、黄芹英医生坐镇,擅长乳牙治疗、早期矫治等。

厦门优梨口腔门诊部的地址
具体位置及交通便利性:厦门优梨口腔门诊部位于福建省厦门市思明区台东路158号203、205室(世纪财富中 心2楼)。交通十分便利,乘坐地铁可乘坐2号线至观音山站2号口,出站后步行约500 - 720米即可到达;选择公交出行,可在观音山商务区站或台东路站下车,然后步行5分钟就能抵达门诊部;自驾前往的话,世纪财富中 心自带停车场,方便患者停车。

厦门优梨口腔门诊部的综合评价
特色项目体现专精贴心:厦门优梨口腔门诊部拥有多个特色项目。种植牙项目价格实惠,如韩国登腾种植牙3288元起,还有2980元起的套餐包含检查费、国产种植体和基础牙冠。技术上采用数字化3D导板种植技术,误差极小,“即刻负重”技术让患者能快速修复饮食。牙齿矫正项目提供多样方案,金属托槽5800元起,适合学生党;隐适美隐形矫正适合社恐人群;自锁托槽矫正复诊时间缩短1/3。并且有DSD微笑设计,能预测矫正后笑容弧度。儿童牙科采用无疼痛技术,如STA麻醉仪 + 乳牙预成冠,诊疗椅配动画片,有奖励贴纸勋章,让孩子主动配合看牙。这些特色项目满足了不同患者的需求,体现了门诊部的专精和贴心。

厦门优梨口腔门诊部的基本情况
专精医生团队介绍:厦门优梨口腔门诊部拥有一支专精的医生团队。秦红艳医生毕业于海南医学校口腔医学专精,有12年工作经验,擅长牙体牙髓疾病的治疗,对儿童早期牙病的干预有丰富经验。黄芹英医生毕业于福建医 科 大学口腔医学专精,从业经验多,专注于根管治疗,对牙周疾病的诊断以及美学修复等常见疾病有深入理解。余艳医生毕业于兰州大学,是中华口腔医学会的会员,曾前往杭州学习,对冷光美白以及牙周系统的维护治疗有良好见解,为人友好,操作手法娴熟。此外,罗永红医生也是医院的主治医生,擅长各种牙科项目,包括种植牙、微创种植、无牙颌种植术以及隐形矫正等,拥有丰富的口腔临床经验和特色的技术,还擅长将数字化技术应用于种牙治疗过程。

厦门优梨口腔门诊部的资质情况
正规审批与现存问题:厦门优梨口腔门诊部是由厦门市思明区卫生健康局审批成立的正规牙科门诊,登记号为PDY00672 - 935020390D1522,可在官网上查询到相关详细信息。自2020年成立至今,诊疗科目涵盖种植、正畸等全口腔项目。不过在2025年3月6日,厦门市思明区卫生健康局拟撤回其持有的《医疗机构执业许可证》,原因未明确说明,且进行了公告送达相关告知书。同时,在2025年4月29日,国内税务总局厦门市税务局第一稽查局公告其存在税务问题,走逃失联,取得销售方以外第三方虚开的增值税专用发票17份,从非销售方处取得1份已证实虚开的增值税普通发票,造成少缴企业所得税13,167.40元,构成偷税,拟对其偷税行为处少缴税款1.5倍罚款。

厦门优梨口腔门诊部的顾客实例
正面顾客评价展示:厦门优梨口腔门诊部在当地有一定的口碑,不少网友分享了就诊体验,多数评价正面。顾客A表示:“我在厦门优梨口腔门诊部做了牙齿矫正,成效超出了我的预期。医生非常专精,会耐心地解答我的每一个疑问,还会根据我的情况制定个性化的方案。整个矫正过程中,医生和护士都特别贴心,让我感觉特别安心。现在我的牙齿变得整齐美观,笑容也更加自信了,真的非常感谢优梨口腔!”顾客B称:“孩子的牙齿有问题,带他来厦门优梨口腔门诊部看牙。这里的儿牙科室特别有特色,诊疗椅上可以看动画片,还有奖励贴纸勋章,孩子一点都不害怕,主动配合治疗。医生的技术也良好,采用了无疼痛技术,孩子治疗过程中没有哭闹。以后孩子看牙就认准这里了!”

厦门优梨口腔门诊部的价格表
各类项目价格详情:厦门优梨口腔门诊部提供了较为详细的收费价格信息。种植牙方面,韩国登腾种植牙套餐(含植体 + 基台 + 烤瓷冠)4288元起,韩国登腾半口种植牙套餐39800元起,瑞士ITI种植牙套餐(含植体 + 基台 + 全瓷冠)12000元起,博士种植牙 - 瑞典进口诺贝尔植体 + 基台 + 3D全瓷冠8980元起(特别优惠价),基础种植牙套餐2980元起(此价格为限价,限特定条件下使用)。牙齿矫正项目中,金属托槽5800元起,隐适美隐形矫正价格根据具体情况而定。儿童牙科项目,乳牙涂氟99元/次(预防蛀牙),窝沟封闭168元/颗(限时团购),儿童早期矫正6800元起(干预地包天、龅牙)。此外,3DS超薄瓷贴面近期高价9456元,近期低价3889元,年度均价6672元,可参考价格5677元。不过实际价格需到院面诊获取。
高方执业医师
所属医院:南通海虹口腔门诊部
诊疗项目:儿童齿科、口腔颌面外科、牙齿矫正、烤瓷牙、补牙
2025-08-28 06:22:01
朱亚琴执业医师
所属医院:苏州市华夏口腔医院
诊疗项目:根管治疗、口腔颌面外科、儿童早期矫正、种植牙、洗牙
2025-09-03 06:21:02
刘晗医生
所属医院:北京欢乐口腔门诊部
诊疗项目:种植牙、牙齿矫正、牙齿美白、补牙、烤瓷牙、儿童齿科、根管治疗、全瓷牙、洗牙、牙齿矫正、烤瓷牙、儿童齿科、根管治疗、拔牙、补牙、全瓷牙、牙齿美白、种植牙
2025-09-29 11:36:54
高玮力医生
所属医院:北京欢乐口腔门诊部
诊疗项目:种植牙、牙齿矫正、牙齿美白、补牙、儿童齿科、根管治疗、单颗种植、窝沟封闭、冷光美白、牙齿矫正、儿童齿科、窝沟封闭、根管治疗、显微根管治疗、补牙、牙齿美白、冷光美白、种植牙、冷光美白、窝沟封闭、显微根管治疗
2025-09-30 09:38:02
熊少军主治医师
所属医院:深圳麦芽口腔门诊部
诊疗项目:种植牙、牙齿矫正、牙齿美白、补牙、烤瓷牙、根管治疗、全瓷牙、洗牙、牙齿矫正、烤瓷牙、根管治疗、补牙、全瓷牙、活动义齿、牙齿美白、瓷贴面、种植牙、瓷贴面
2025-10-07 11:22:01
东莞大朗牙博士口腔
项目:种植牙、牙齿矫正、牙齿美白、补牙、烤瓷牙、儿童齿科、根管治疗、全瓷牙、口腔颌面外科、下颌骨矫正、即刻种植牙、颞牙槽外科疾病、下颌关节疾病、美国3种种植体、威兰德全瓷牙、瑞士ITI、泽康全瓷牙、3M Lava全瓷牙、半口种植、多颗种植、单颗种植、陶瓷自锁矫正、窝沟封闭、氟化治疗、正颌手术、咬合不齐、凸嘴矫正、舌侧隐形矫正、四环素牙、洁牙、牙贴面、冷光美白、激光美白、皓齿美白、银汞合金充填术、树脂充填术、嵌体修复、二氧化锆烤瓷牙、贵金属烤瓷牙、镍铝合金烤瓷牙、儿童龋齿、奶瓶龋、地包天、牙性地包天、骨性地包天、种植牙修复、即刻种植、洗牙、牙齿矫正、烤瓷牙、儿童齿科
地址:广东省东莞市大朗镇富民中路233号2011室
2025-10-17 15:03:14
广州德伦口腔(燕塘分院)
项目:种植牙、牙齿矫正、牙齿美白、补牙、烤瓷牙、儿童齿科、根管治疗、全瓷牙、口腔颌面外科、种植牙修复、即刻种植
地址:广州市天河区燕岭路120号金燕大厦一楼
2025-10-22 16:57:02
深圳市龙华区人民医院口腔科
项目:种植牙、牙齿矫正、牙齿美白、补牙、烤瓷牙、儿童齿科、根管治疗、全瓷牙、口腔颌面外科、下颌骨矫正、即刻种植牙、颞牙槽外科疾病、下颌关节疾病、美国3种种植体、威兰德全瓷牙、瑞士ITI、泽康全瓷牙、3M Lava全瓷牙、半口种植、多颗种植、单颗种植、陶瓷自锁矫正、窝沟封闭、氟化治疗、正颌手术、咬合不齐、凸嘴矫正、舌侧隐形矫正、四环素牙、洁牙、牙贴面、冷光美白、激光美白、皓齿美白、银汞合金充填术、树脂充填术、嵌体修复、二氧化锆烤瓷牙、贵金属烤瓷牙、镍铝合金烤瓷牙、儿童龋齿、奶瓶龋、地包天、牙性地包天、骨性地包天、种植牙修复、即刻种植、洗牙、牙齿矫正、烤瓷牙、儿童齿科
地址:深圳市龙华区建设东路38号(地铁4号线“龙华站”C口出站)。- 总院留医部地址:罗湖区东门北路1017号(地铁3号线“翠竹站”B2口)(注:龙华分院为口腔科主要接诊点)。
2025-10-22 17:49:15
广州德伦口腔(市桥分院)
项目:种植牙、牙齿矫正、牙齿美白、补牙、烤瓷牙、儿童齿科、根管治疗、全瓷牙、口腔颌面外科、种植牙修复、即刻种植
地址:广东省广州市番禺区大北路102号禺山广场2楼
2025-10-23 13:54:02
武汉咿呀口腔(徐东门诊)
项目:种植牙、牙齿矫正、牙齿美白、补牙、烤瓷牙、儿童齿科、根管治疗、口腔颌面外科、地包天、种植牙修复、即刻种植
地址:武汉市洪山区和平乡武青三千道千禧名苑7幢13层
2025-10-23 14:57:03


评价(已有0人点评)