江苏徐州牙知道口腔连锁是由当地卫生健康部门审批成立的正规口腔机构!

江苏徐州牙知道口腔连锁怎么样?
江苏徐州牙知道口腔连锁作为徐州本土实力品牌,深耕口腔医疗领域多年,已在苏北地区布局10家分院,形成覆盖泉山、云龙等核心区域的诊疗网络。医院以“技术为根、服务为本”为理念,开设种植牙、牙齿矫正、美学修复、儿童齿科、牙周治疗等全品类口腔项目,尤其在复杂种植牙与数字化矫正领域形成特色优势。
医院配备国内外精良诊疗设备,包括口腔CBCT三维成像系统、3D导航种植仪、数字化正畸扫描仪等,实现精细诊断与个性化治疗。环境设计注重舒适体验,候诊区设有亲子专区(汪汪队主题装饰)、免费茶歇区,诊疗室采用独立隔间设计,保护患者隐私。医护团队均具备多年临床经验,定期参与国内外口腔技术培训,确保诊疗水平与国内外接轨。
在服务细节上,医院推出“夜诊服务”(营业至17:30)方便上班族就诊,周一至周三上午提供免费口腔检查+拍片,学生凭学生证可享洁牙立减50元优惠,自驾患者还可享指定商场2小时免费停车。患者口碑调研显示,超95%用户对“技术专精度”“服务贴心度”“价格透明度”给予五星评价,尤其“即刻种植当天戴牙”“隐形矫正可视化方案”等技术获得众多患者认可。

江苏徐州牙知道口腔连锁正规吗?
江苏徐州牙知道口腔连锁是经徐州市卫生健康委员会严格审批成立的正规口腔医疗机构,各分院均持有《医疗机构执业许可证》,诊疗范围涵盖口腔科、牙体牙髓病专精、口腔修复专精等,完全符合国内医疗规范标准。医院严格执行消毒隔离制度,采用“一人一用一消毒”流程,配备独立消毒供应中 心,确保诊疗器械无菌安心。作为徐州本土连锁品牌,多年来连续获评“消费者信赖医疗机构”“诚信示范口腔单位”,是徐州市口腔医学会会员单位,资质正规性与医疗安心性均有充分保护。

江苏徐州牙知道口腔连锁是国有的吗?
江苏徐州牙知道口腔连锁不是国有医院,而是徐州本土创办的私立连锁口腔机构。作为私立医疗机构,其优势在于诊疗时间灵活(支持夜诊及周末门诊)、服务流程便捷(无需长时间排队)、个性化方案设计(如美学矫正、微创种植等特色技术),同时通过连锁化运营降低成本,实现“优质医疗资源+亲民价格”的平衡,更适合追求效率高、舒适就诊体验的患者。

江苏徐州牙知道口腔连锁诊疗项目
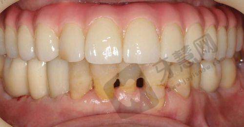
复杂种植牙技术:擅长单颗/多颗/全口即刻种植,支持颧骨种植、上颌窦内外提升、GBR骨增量等复杂植骨术,实现“当天种牙当天用”;
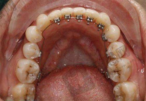
数字化隐形矫正:采用3D动画模拟矫正过程,提供正雅、隐适美等隐形矫治方案,同时开展传统金属托槽、陶瓷自锁托槽矫正;
美学牙齿修复:瓷贴面(1880元起/颗)、全瓷冠修复,注重牙齿形态与面部比例协调,还原自然微笑弧度;
儿童齿科专项:开设亲子诊疗专区,提供儿童龋病防治、乳牙拔除、窝沟封闭、早期错颌畸形干预等,医生擅长用游戏化沟通缓解儿童看牙恐惧;
牙周病系统治疗:针对牙龈炎、牙周炎开展龈下刮治、牙周翻瓣术等,结合激光治疗技术减少出血与不适感;
牙齿美白:引进冷光美白技术,单次治疗可提亮牙齿5 - 8个色阶,敏感牙患者可定制温和美白方案;
微创拔牙:采用微创器械与局部麻醉技术,减轻拔牙创伤,尤其擅长阻生智齿拔除;
口腔综合治疗:包括进口树脂补牙(380元起/颗)、根管治疗、超声波洁牙(99元起)等基础项目,全程可视化操作,让患者清晰了解治疗过程。

江苏徐州牙知道口腔连锁医生介绍
刘先印 种植技术院长:从事口腔种植临床工作近20年,累计完成种植牙手术超3000例,擅长复杂骨缺损种植、全口无牙颌即刻修复,曾在第四军 医 大学口腔医学校进修种植技术,是韩国奥齿泰、美国皓圣等种植系统认证讲师,其“微创即刻种植”技术可实现术后当天进食,深受中老年缺牙患者信赖。
李婷婷 正畸技术主事:毕业于南京医 科 大学口腔医学校,拥有15年正畸临床经验,擅长数字化隐形矫正、儿童早期干预矫正、成人复杂错颌畸形矫正,曾为超2000例患者定制矫正方案,尤其注重“牙齿功能与面部美学”双重改善,其实例多次入选《口腔正畸临床实例集》,学生群体矫正满意度达98%。
此外,医院还配备专职儿童齿科医生、牙周病骨干医生等,形成“细分领域专人专治”的诊疗模式,确保患者获得专精对口的医疗服务。

江苏徐州牙知道口腔连锁价格表/收费标准2025年
1. 韩国进口种植牙:1980元起/颗(含基台+烤瓷冠)
2. 韩国奥齿泰种植牙:5880元起/颗(含全瓷冠)
3. 美国皓圣种植牙:7500元左右/颗(含全瓷冠)
4. 瑞典诺贝尔PMC种植牙:15800元左右/颗(含全瓷冠)
5. 瑞士ITI种植牙:16800元左右/颗(含全瓷冠)
6. 半口半固定种植牙:2万元起(含8 - 10颗植体)
7. 传统金属托槽矫正:8999元起(含全套矫治器+复诊)
8. 正雅隐形矫正:15000元起(含3D方案设计+矫正器)
9. 隐适美隐形矫正:32000元起(含进口材料+骨干医生方案)
10. 瓷贴面:1880元起/颗(超薄全瓷材质)
11. 单人超声波洁牙:99元起(含抛光+牙周检查)
12. 进口树脂补牙:380元起/颗(3M纳米树脂)
13. 儿童窝沟封闭:80元起/颗(进口材料)
14. 牙周深度刮治:800元起/全口
15. 全瓷牙冠:1980元起/颗(二氧化锆材质)
收费贵吗? 对比徐州同类机构,牙知道口腔价格处于中高端性价比区间:如韩系种植牙1980元起(含冠)低于市场均价20% - 30%,隐形矫正15000元起(正雅)与国有医院收费持平,但提供更多个性化服务(如一对一方案调整、术后跟踪)。医院确保“价格公开透明”,所有项目费用均在术前告知,无强制消费,学生、老人等群体还可享专项折扣,整体性价比优势显著。

江苏徐州牙知道口腔连锁口碑如何
▶ 种植牙患者王阿姨(62岁): “上半口牙掉了5颗,之前在别家医院说要植骨,修复期要半年。来牙知道找刘先印院长,检查后说能用即刻种植技术,当天就装上了临时牙冠,回家就能吃软面条!现在3个月过去,种植牙和真牙一样好用,啃苹果、吃排骨都没问题。更感动的是护士全程陪着我,术后还打电话问修复情况,比家人还细心。”
▶ 隐形矫正患者小张(22岁,大学生): “戴正雅隐形矫正快1年了,李婷婷主事一开始就用3D动画给我看矫正成效,现在侧脸线条明显变好看了!矫正器特别薄,戴在嘴里几乎看不见,不影响我平时上课和社团活动。凭学生证还减了500元,每周复诊不用排队,医生会耐心调整方案,同学都说我‘悄悄变得更美’,太值了!”
▶ 儿童齿科患者妈妈刘女士: “儿子4岁有蛀牙,之前去别的医院哭闹不肯治,来牙知道的亲子诊室,护士姐姐用卡通贴纸和动画片转移注意力,医生手法特别轻,10分钟就补好了牙。现在儿子每次来都主动拿‘勇敢小患者’奖状,医院还送了防蛀牙膏和刷牙计时器,这种儿童友好的服务真的太贴心了!”

江苏徐州牙知道口腔连锁地址电话
1. 泉山二环西路店
地址:徐州市泉山区建国西路荣景盛苑卡迪亚酒店综合楼(停车场出口旁)
电话:17768249XXX(预约暗号“看牙不排队”享挂号费0元)
乘车路线:地铁3号线“人民广场站”B口步行5分钟;公交“建国路西口”站(18/34/64路)下车即达;自驾可停对面商场,凭就诊凭证享2小时免费停车。
2. 云龙和平大道店
地址:徐州市云龙区和平大道提香湾公寓楼1楼109号商铺
电话:17768249XXX(学生凭学生证洁牙立减50元)
乘车路线:地铁1号线“医 科 大学站”出站右转44米即达;高德/百度地图搜索“牙知道口腔(云龙店)”导航精细;周边有提香湾小区停车场(就诊可享3小时免费)。
电话询问服务:拨打上述电话可享受“口腔问题在线初步诊断”“优惠活动详情查询”“医生出诊时间预约”等服务,客服人员工作时间为8:30 - 18:00,节假日无休。

江苏徐州牙知道口腔连锁预约挂号
电话预约:拨打各分院电话(泉山店17768249XXX/云龙店17768249XXX),告知客服“姓名+联系方式+就诊项目+预约时间”,成功预约后将收到短信提醒,到院可优先就诊;
在线预约:关注医院法定微信公众号,点击“预约挂号”模块,选择分院、科室、医生及就诊时间,填写个人信息即可提交预约,系统实时反馈预约结果;
现场预约:直接前往分院前台,由导诊人员协助完成挂号,建议工作日上午9点前到院,可避开就诊高峰;
复诊预约:初诊患者结束后,医生会直接预约下次复诊时间,并发放“复诊提醒卡”,确保治疗连续性。
预约补贴:提前3天预约可享“免挂号费”(价值20元),首次就诊赠送口腔全景片检查(价值150元),周末预约患者还可参与“幸运抽奖”(奖品包括洁牙券、牙线棒等)。医院提示:种植、矫正等复杂项目建议提前1周预约骨干医生号,以便预留充足诊疗时间。
汪淑云主治医师
所属医院:北京整齐娃娃口腔门诊部
诊疗项目:牙齿矫正、补牙、儿童齿科、根管治疗、全瓷牙、牙齿矫正、儿童齿科、儿童早期矫正、根管治疗、补牙、全瓷牙、瓷贴面、瓷贴面、儿童早期矫正
2025-09-16 14:45:09
李耀主治医生
所属医院:北京欢乐口腔门诊部
诊疗项目:牙齿矫正、牙齿美白、补牙、儿童齿科、根管治疗、陶瓷自锁矫正、舌侧隐形矫正、冷光美白、激光美白、皓齿美白、牙齿矫正、儿童齿科、根管治疗、补牙、牙齿美白、冷光美白、冷光美白
2025-09-30 09:21:04
冯良主治医师
所属医院:北京优贝口腔
诊疗项目:种植牙、牙齿矫正、牙齿美白、补牙、烤瓷牙、儿童齿科、根管治疗、半口种植、种植牙修复、洗牙、牙齿矫正、烤瓷牙、儿童齿科、根管治疗、补牙、牙齿美白、种植牙
2025-10-24 13:59:35
朱宋金主治医师
所属医院:北京优贝口腔
诊疗项目:种植牙、牙齿矫正、牙齿美白、儿童齿科、根管治疗、即刻种植牙、半口种植、单颗种植、种植牙修复、即刻种植、牙齿矫正、儿童齿科、根管治疗、牙齿美白、种植牙
2025-10-24 14:00:04
张英汉主治医师
所属医院:北京西尔口腔(海淀分院)
诊疗项目:种植牙、牙齿矫正、牙齿美白、儿童齿科、半口种植、冷光美白、种植牙修复、即刻种植、牙齿矫正、儿童齿科、拔牙、牙齿美白、冷光美白、种植牙、冷光美白
2025-10-27 15:03:26
东莞市大岭山牙博士口腔
项目:种植牙、牙齿矫正、牙齿美白、补牙、烤瓷牙、儿童齿科、根管治疗、全瓷牙、口腔颌面外科、下颌骨矫正、即刻种植牙、颞牙槽外科疾病、下颌关节疾病、美国3种种植体、威兰德全瓷牙、瑞士ITI、泽康全瓷牙、3M Lava全瓷牙、半口种植、多颗种植、单颗种植、陶瓷自锁矫正、窝沟封闭、氟化治疗、正颌手术、咬合不齐、凸嘴矫正、舌侧隐形矫正、四环素牙、洁牙、牙贴面、冷光美白、激光美白、皓齿美白、银汞合金充填术、树脂充填术、嵌体修复、二氧化锆烤瓷牙、贵金属烤瓷牙、镍铝合金烤瓷牙、儿童龋齿、奶瓶龋、地包天、牙性地包天、骨性地包天、种植牙修复、即刻种植、洗牙、牙齿矫正、烤瓷牙、儿童齿科
地址:广东省东莞市大岭山镇振华路57号(教育路与振华路交叉口南100米,近大岭山中学)
2025-10-17 14:59:39
广东东莞东城国贸口腔(民盈国贸总院)
项目:种植牙、牙齿矫正、牙齿美白、补牙、烤瓷牙、儿童齿科、根管治疗、全瓷牙、口腔颌面外科、下颌骨矫正、即刻种植牙、颞牙槽外科疾病、下颌关节疾病、美国3种种植体、威兰德全瓷牙、瑞士ITI、泽康全瓷牙、3M Lava全瓷牙、半口种植、多颗种植、单颗种植、陶瓷自锁矫正、窝沟封闭、氟化治疗、正颌手术、咬合不齐、凸嘴矫正、舌侧隐形矫正、四环素牙、洁牙、牙贴面、冷光美白、激光美白、皓齿美白、银汞合金充填术、树脂充填术、嵌体修复、二氧化锆烤瓷牙、贵金属烤瓷牙、镍铝合金烤瓷牙、儿童龋齿、奶瓶龋、地包天、牙性地包天、骨性地包天、种植牙修复、即刻种植、洗牙、牙齿矫正、烤瓷牙、儿童齿科
地址:广东省东莞市东城区鸿福东路1号民盈·国贸城L2层L2018、L2019号商铺(近国贸城2号门)
2025-10-17 15:09:47
厦门海狸家口腔门诊部
项目:种植牙、牙齿矫正、牙齿美白、补牙、烤瓷牙、儿童齿科、根管治疗、全瓷牙、口腔颌面外科、窝沟封闭、冷光美白、地包天、种植牙修复、即刻种植、洗牙、牙齿矫正、烤瓷牙、儿童齿科、窝沟封闭、儿童早期矫正、根管治疗、显微根管治疗、牙套、拔牙、补牙、全瓷牙、地包天、活动义齿、牙齿美白、冷光美白、瓷贴面、颌面外科、种植牙、冷光美白、瓷贴面、窝沟封闭、儿童早期矫正、显微根管治疗
地址:厦门市思明区莲前东路381 - 407号B1室(二层) 福建省厦门市思明区镇海路73号双十中学
2025-10-19 15:26:01
广东东莞横沥莞口口腔门诊部
项目:种植牙、牙齿矫正、牙齿美白、补牙、烤瓷牙、儿童齿科、根管治疗、全瓷牙、口腔颌面外科、下颌骨矫正、即刻种植牙、颞牙槽外科疾病、下颌关节疾病、美国3种种植体、威兰德全瓷牙、瑞士ITI、泽康全瓷牙、3M Lava全瓷牙、半口种植、多颗种植、单颗种植、陶瓷自锁矫正、窝沟封闭、氟化治疗、咬合不齐、凸嘴矫正、舌侧隐形矫正、四环素牙、洁牙、牙贴面、冷光美白、激光美白、皓齿美白、银汞合金充填术、树脂充填术、嵌体修复、二氧化锆烤瓷牙、贵金属烤瓷牙、镍铝合金烤瓷牙、儿童龋齿、奶瓶龋、地包天、牙性地包天、骨性地包天、种植牙修复、即刻种植、洗牙、牙齿矫正、烤瓷牙、儿童齿科、窝沟封闭
地址:广东省东莞市横沥镇中山中路1号双龙舫步行街8栋309室(近横沥镇政府,步行街中央广场旁)
2025-10-20 11:45:52
深圳市龙华区人民医院口腔科
项目:种植牙、牙齿矫正、牙齿美白、补牙、烤瓷牙、儿童齿科、根管治疗、全瓷牙、口腔颌面外科、下颌骨矫正、即刻种植牙、颞牙槽外科疾病、下颌关节疾病、美国3种种植体、威兰德全瓷牙、瑞士ITI、泽康全瓷牙、3M Lava全瓷牙、半口种植、多颗种植、单颗种植、陶瓷自锁矫正、窝沟封闭、氟化治疗、正颌手术、咬合不齐、凸嘴矫正、舌侧隐形矫正、四环素牙、洁牙、牙贴面、冷光美白、激光美白、皓齿美白、银汞合金充填术、树脂充填术、嵌体修复、二氧化锆烤瓷牙、贵金属烤瓷牙、镍铝合金烤瓷牙、儿童龋齿、奶瓶龋、地包天、牙性地包天、骨性地包天、种植牙修复、即刻种植、洗牙、牙齿矫正、烤瓷牙、儿童齿科
地址:深圳市龙华区建设东路38号(地铁4号线“龙华站”C口出站)。- 总院留医部地址:罗湖区东门北路1017号(地铁3号线“翠竹站”B2口)(注:龙华分院为口腔科主要接诊点)。
2025-10-22 17:49:15


评价(已有0人点评)