在茂名市,粤西牙科医院作为一家主要的口腔医疗机构,吸引了众多患者的关注。很多人对医院的性质表示疑惑,尤其是关于其是否为公办医院的问题。事实上,粤西牙科医院是一家私立的二级口腔专科医院,尽管其在服务与技术上接近部分公办医院的水准,但其运营模式与管理体制与公办医院有着显著区别。本文将齐全分析茂名粤西牙科医院的背景、优势、医疗项目、收费标准、预约挂号流程及医生团队等,希望为患者提供清晰的了解。
2025年茂名粤西牙科医院的价格透明政策
粤西牙科医院在2025年将继续推行其透明的价格政策,确保患者在接受治疗前能够明确了解费用。医院的收费标准相对合理,基础牙科治疗如洗牙和补牙的价格约为200元到600元不等,而对于复杂的种植牙和正畸治疗,费用则在8000元到30000元之间。患者在就诊时,可以在前台咨询具体价格,确保对费用有清晰的了解。
优质服务让顾客在茂名粤西牙科医院倍感安心
粤西牙科医院注重患者的就医体验,致力于营造一个温馨、舒适的就医环境。医院的医护人员都经过专业培训,能够为患者提供细致周到的服务。无论是在挂号、就诊还是治疗过程中,患者都能感受到医院的用心与关怀。医院的环境现代化,设施齐全,确保患者在就医时倍感安心。
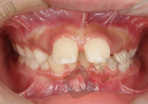
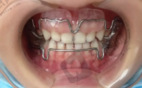
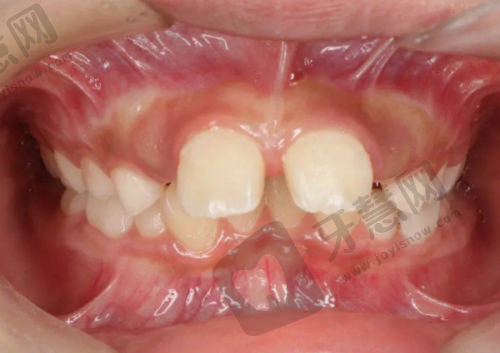
二级私立口腔门诊的实用治疗方案
粤西牙科医院提供多样化的医疗项目,涵盖了口腔身体科、口腔外科、口腔正畸、种植牙以及儿童口腔等多个领域。医院采用先进的数字化种植技术,提供可靠的种植牙解决方案,费用一般在10000元左右。对于需要矫正牙齿的患者,医院会制定个性化的正畸方案,帮助患者实现理想的牙齿排列。
茂名粤西牙科医院:顾客信赖的口腔健康伙伴
粤西牙科医院凭借其良好的口碑和优质的医疗服务,成为了患者信赖的口腔健康伙伴。医院的医生团队均具备丰富的临床经验,能够为患者提供专业的治疗方案。医院注重医生的持续教育与培训,确保医疗团队的技术水平始终处于行业前沿,患者在这里能够获得高质量的医疗服务。
2025年顾客满意度高的口腔护理体验
粤西牙科医院在2025年的顾客满意度调查中获得了显著的好评,患者普遍对医院的服务质量表示满意。医院通过优化预约挂号流程,提供在线预约、电话预约和现场预约等多种方式,方便患者根据自身情况选择。预约时,患者只需提供基本信息,医院会为其安排合适的医生和就诊时间,避免长时间等待。
综上所述,茂名粤西牙科医院凭借其透明的价格政策、优质的服务、专业的医疗团队和多样化的治疗方案,成为了当地患者口腔健康的优先选择。患者在选择合适的牙科医院时可考虑粤西牙科,医院致力于为每位患者提供优质的医疗体验。

评价(已有0人点评)