什么是咬合重建?一文拆解其定义、原理与临床应用价值
精选回复
什么是咬合重建?一文拆解其定义、原理与临床应用价值
在口腔医学领域,“咬合重建”这个词或许对特别多人来说有些陌生,但它却在维护口腔健康、改善口腔功能方面扮演着至关重要的角色。想象一下,我们的牙齿就像一支训练有素的团队,它们相互协作,完成咀嚼、发音等重要任务。然而,当这个团队的协作出现问题,比如牙齿磨损、缺失、排列不齐等,就会影响到整个口腔系统的正常运转。那么,什么是咬合重建呢?它又是如何解决这些口腔问题的呢?接下来,就让我们一起深入了解一下咬合重建的奥秘。

什么是咬合重建的定义
咬合重建,简单来说,就是通过一系列的口腔治疗手段,对患者的咬合关系进行重新调整和修复,使其修复到正常、健康的状态。在我们正常的口腔功能中,上下牙齿之间有着精细的咬合关系,这种关系就像是一把精细的锁和钥匙,只有相互匹配,才能让口腔的各项功能得以正常发挥。
当我们的牙齿因为各种原因,如长期的咀嚼压力、外伤、疾病等,导致咬合关系出现紊乱时,就会引发一系列的问题。比如,可能会出现牙齿过度磨损,使得牙齿表面的牙釉质被破坏,露出敏感的牙本质,导致牙齿疼痛;还可能会影响到咀嚼功能,使得食物不能被充分咀嚼,进而影响消化吸收。而咬合重建就是针对这些问题,通过专精的方法来修复正常的咬合关系。
从专精角度来看,咬合重建不仅仅是调整牙齿的位置和排列,更重要的是要考虑到整个口腔系统的生理功能和生物力学平衡。医生会综合考虑患者的牙齿、颌骨、肌肉等多个因素,制定出个性化的治疗方案,以达到至佳的治疗成效。

什么是咬合重建的原理
咬合重建的原理基于口腔解剖学、生理学和生物力学等多学科的知识。首先,医生会对患者的口腔进行全方面的检查,包括牙齿的形态、排列、磨损情况,颌骨的位置和运动,以及咀嚼肌的功能等。通过这些检查,医生可以正确地了解患者咬合紊乱的原因和程度。
在了解了患者的具体情况后,医生会根据人体口腔的正常生理结构和功能,设计出理想的咬合关系。这就像是为患者的口腔打造一个新的“蓝图”。然后,医生会根据这个“蓝图”,选择合适的治疗方法来实现咬合重建。
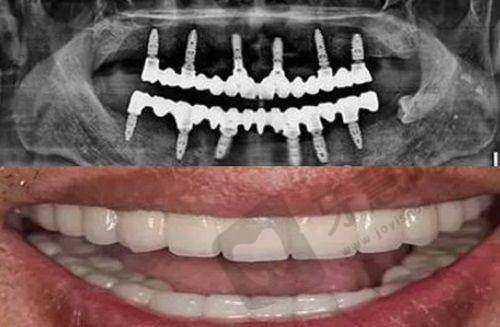
常见的治疗方法包括牙齿修复、正畸治疗、咬合板治疗等。牙齿修复可以通过补牙、镶牙等方式,修复牙齿的形态和功能;正畸治疗则是通过佩戴矫正器,调整牙齿的位置和排列;咬合板治疗是通过佩戴特殊的咬合板,来调整咬合关系,缓解咀嚼肌的紧张。这些治疗方法相互配合,共同实现咬合重建的目标。

什么是咬合重建的临床应用价值
在临床实践中,咬合重建具有重要的应用价值。首先,它可以有效地改善患者的咀嚼功能。当咬合关系修复正常后,牙齿能够更好地协同工作,将食物充分咀嚼,这样不仅可以提高消化效率,还能减轻胃肠道的负担。
其次,咬合重建对于保护牙齿健康也有着重要意义。正常的咬合关系可以避免牙齿过度磨损和受力不均,减少牙齿疾病的发生。比如,当牙齿排列整齐、咬合正常时,牙齿之间的清洁会更加容易,从而降低龋齿和牙周炎的发病风险。
此外,咬合重建还可以改善患者的面部美观。咬合紊乱可能会导致面部不对称、下巴后缩等问题,影响患者的外貌形象。通过咬合重建,调整牙齿和颌骨的位置,可以使面部轮廓更加协调,提升患者的自信心。

什么是咬合重建的治疗过程
咬合重建的治疗过程通常是一个较为复杂和漫长的过程。首先是诊断阶段,医生会对患者进行详细的口腔检查,包括口腔X光片、模型分析等,以确定患者的咬合问题和治疗方案。在这个阶段,患者需要积极配合医生,如实告知自己的症状和病史。
接下来是治疗方案的制定阶段。医生会根据诊断结果,结合患者的需求和期望,制定出个性化的治疗方案。这个方案可能包括多种治疗方法的组合,如精良行正畸治疗调整牙齿排列,再进行牙齿修复修复牙齿形态。
然后就是治疗实施阶段。在这个阶段,患者需要按照医生的要求,按时进行治疗。比如,如果是正畸治疗,患者需要定期到医院调整矫正器;如果是牙齿修复,患者需要按照医生的安排进行补牙、镶牙等操作。治疗过程中,患者可能会遇到一些不适,如牙齿疼痛、口腔溃疡等,但这些都是正常的反应,一般会随着治疗的进行逐渐缓解。

什么是咬合重建的注意事项
在进行咬合重建治疗前,患者需要做好充分的准备。首先,要选择正规的口腔医疗机构和有经验的医生。正规的医疗机构设备齐全、技术精良,有经验的医生能够正确地诊断病情,制定出合理的治疗方案。
其次,患者要与医生进行充分的沟通。患者要向医生详细描述自己的症状和期望,医生也要向患者解释治疗的过程、可能出现的问题和注意事项,让患者对治疗有充分的了解。
在治疗过程中,患者要严格遵守医生的嘱咐。比如,要注意口腔卫生,按时刷牙、使用牙线等;要避免食用实力强、过黏的食物,以免损坏牙齿和矫正器。同时,患者要按时复诊,让医生及时了解治疗进展,调整治疗方案。
治疗结束后,患者也不能掉以轻心。要按照医生的要求佩戴保持器,巩固治疗成效。保持器的佩戴时间一般较长,患者要坚持佩戴,否则可能会导致牙齿反弹,影响治疗成效。此外,患者还要定期进行口腔检查,及时发现和处理口腔问题。

什么是咬合重建的未来发展
随着科技的不断进步,咬合重建领域也在不断发展。未来,咬合重建的技术将更加精良和精细。比如,数字化技术的应用将使得咬合重建的诊断和治疗更加严谨。医生可以通过计算机模拟技术,提前预测治疗成效,制定出更加个性化的治疗方案。
材料科学的发展也将为咬合重建带来更多的选择。新型的牙齿修复材料将具有更好的生物相容性、耐磨性和美观性,能够更好地满足患者的需求。同时,治疗方法也将更加多样化和微创化。比如,一些新的正畸技术可以减少患者的不适感和治疗时间。
此外,咬合重建的理念也将更加注重整体健康。未来的治疗不仅会关注牙齿和颌骨的问题,还会考虑到患者的全身健康状况。比如,研究发现咬合紊乱与一些全身性疾病,如睡眠呼吸暂停综合征、颞下颌关节紊乱病等,有着密切的关系。因此,在进行咬合重建时,医生可能会综合考虑这些因素,为患者提供更加全方面的治疗方案。
总之,咬合重建是口腔医学中一项非常重要的治疗手段,它对于改善口腔功能、保护牙齿健康和提升面部美观都有着重要的意义。随着科技的不断发展,相信咬合重建会为更多的患者带来福音。
通过对以上内容的了解,我们对什么是咬合重建有了一个全方面而深入的认识。如果你也有咬合方面的问题,不妨及时询问专精的口腔医生,看看是否需要进行咬合重建治疗。让我们一起关注口腔健康,拥有一个健康、美丽的笑容。
相关问答
-
A晚上牙疼白天不疼可能由多种原因导致。体位变化方面,平躺时头部血液循环改变,牙齿周围血管扩张、压力升高,加上睡眠中呼吸变化和可能的磨牙,易引发疼痛。牙髓炎是常见原因,夜间注意力集中、抵抗力下降,炎症导致牙髓腔内压力升高,疼痛更明显,还可能放射至头部、耳部。磨牙症会使牙齿珐琅质受损,导致牙齿敏感疼痛,还影响颞下颌关节。此外,心理因素(夜间对疼痛耐受性降低)、饮食因素(刺激性食物、口腔清洁不当)、内分泌变化及全身性疾病也可能有关。应对需保持口腔清洁、及时就医(如牙髓炎做根管治疗、磨牙症用咬合垫)、调整
-
A拔牙是一项常见的牙科手术,许多人在面临拔牙时会考虑到时间的选择。早晨拔牙和下午拔牙,哪个时间段更为合适呢?本文将对此进行详细解析,帮助您做出明智的决策。 首先,我们来看看早晨拔牙的优缺点。早晨通常是医生和患者的精力为充沛的时段。对于医生而言,经过一夜的休息,他们的注意力和手术技能都处于很不错状态,...
-
A拔牙是一种常见的牙科手术,很多人因为各种原因需要进行拔牙。在选择拔牙的时间时,很多人会产生疑惑:早上拔牙和下午拔牙哪个时间更合适呢?本文将探讨很不错拔牙时间的选择建议,帮助大家更好地安排拔牙时间。 首先,我们需要了解拔牙的过程和影响因素。拔牙手术通常会涉及到局部麻醉,患者在手术过程中需要保持一定的镇...
-
A在孩子的成长过程中,换牙是一个重要的生理阶段。许多家长在这一时期会遇到一个常见的问题:小孩在换牙期间,下午是否适合进行拔牙?这个问题不仅关乎孩子的口腔健康,也涉及到家长的心理和情感。本文将对此进行详细探讨。 首先,我们需要了解换牙的过程。一般来说,孩子在6岁左右开始换牙,通常会持续到12岁左右。这...

评价(已有0人点评)