最近好多沈阳的姐妹私信问我:“想做种植牙/矫正,九诺口腔和牙元素到底怎么选?”作为在口腔行业摸爬滚打5年的“过来人”,今天就用闺蜜聊天的方式,从医院资质、医生技术、价格透明性、真实成效等6大维度深扒这两家,帮你避开90%的口腔就诊坑!

沈阳九诺口腔与牙元素哪家好?先看医院资质谁更硬核!
选口腔机构,资质就像“身份证”,直接关系到治疗安心。
九诺口腔:成立12年,是沈阳少数拥有二级口腔专科医院资质的机构,卫健委审批的种植、正畸、修复全项目资质,医疗保险定点单位,这点对中老年患者特别友好,部分基础治疗可报销。
牙元素口腔:连锁品牌沈阳分院,虽为一级门诊资质,但主打数字化微创种植特色,卫健委备案项目齐全,近两年凭借高性价比在年轻群体中口碑不错。
避坑提醒:两家均无负面资质问题,但九诺的二级专科资质在复杂种植手术(如穿颧穿翼)审批上更具优势,牙元素则适合基础种植和常规矫正。

沈阳九诺口腔与牙元素哪家好?医生团队技术大PK!
医生的手,就是患者的“定心丸”!
九诺口腔医生亮点:
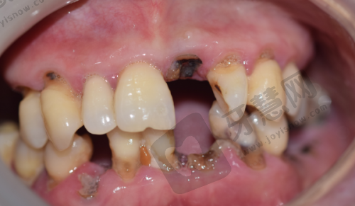
疑难种植骨干医生团:院长王医生有20年临床经验,擅长穿颧穿翼种植(针对牙槽骨重度萎缩患者),东北首批“即刻负重”认证医生,曾为78岁高龄老人完成全口种植。
正畸双博士坐镇:李医生是隐适美亚太区讲师,擅长复杂骨性畸形矫正,实例库超3000例,尤其擅长成人二次矫正。
牙元素口腔医生亮点:
数字化种植先锋:张主事专注数字化导板种植10年,3D导板植入正确率达98.7%,创伤小、修复期比传统种植缩短30%。
年轻矫正团队:平均年龄35岁,擅长隐适美、时代天使等隐形矫正,审美更贴合年轻人需求,实例以“快速排齐+面型改善”为主。
真实实例参考:
65岁的赵阿姨(九诺患者):牙槽骨吸收重度,传统种植需植骨,王院长用穿翼技术1小时完成半口种植,当天戴牙吃东西。
28岁的小林(牙元素患者):龅牙+牙列拥挤,张主事用3D口扫设计方案,隐适美矫正11个月排齐,面型凸度改善明显。

沈阳九诺口腔与牙元素哪家好?2025价格表大公开(附避坑指南)!
价格是绕不开的话题,两家定价差异明显,按需选择更省钱!
种植牙价格对比(2025年全新):
韩国登腾种植体:九诺口腔2580元起/颗,牙元素口腔(无此品牌)
韩国祯诺种植体:九诺口腔(无此品牌),牙元素口腔998元起/颗
瑞士ITI种植体:九诺口腔12800元起,牙元素口腔11800元起
半口即刻负重种植:九诺口腔5.8万起,牙元素口腔(主推全口)
矫正价格对比:
九诺:隐适美4.2万起(含拔牙+保持器),传统金属矫正1.8万起。
牙元素:隐适美3.8万起(赠洗牙2次),金属自锁托槽1.5万起,学生凭学生证再减1000元。
九诺特殊补贴:
义齿“以旧换新”计划:佩戴满5年的活动假牙,可折价500 - 2000元换购新义齿,还能在“东北义齿体验馆”模拟10年磨损成效。
避坑要点:
牙元素998元种植体为基础款单颗价,不含基台、牙冠,全套下来约3000元/颗,需问清总价。
九诺复杂种植需加收技术费(穿颧穿翼加收5000 - 8000元),术前一定要看详细报价单!

沈阳九诺口腔与牙元素哪家好?技术设备谁更“智能”?
现在看牙,早就不是“敲敲打打”的年代了!
九诺口腔设备优势:
德国蔡司3D导航种植机:实时扫描牙槽骨密度,避开神经血管,手术误差≤0.5mm。
激光治疗仪:治疗牙周病、口腔溃疡不用打麻药,3分钟止痛,愈合速度提升50%。
牙元素口腔设备优势:
德国Sirona CBCT:360°扫描口腔,10分钟出三维影像,种植方案设计更精细。
3Shape口扫仪:矫正患者当天就能看到模拟成效,避免传统取模的恶心感。
一句话总结:九诺设备更侧重复杂病例解决方案,牙元素则在舒适度和效率上更胜一筹。

沈阳九诺口腔与牙元素哪家好?服务环境适合谁?
看牙心情特别重要,环境和服务直接影响体验!
九诺口腔:
5000㎡诊疗空间:分设种植中 心、矫正中 心、儿童齿科等独立区域,有VIP病房(适合需住院观察的复杂种植患者),免费提供早餐和接送服务(限70岁以上老人)。
家属等候区:配备按摩椅、充电站、儿童游乐区,带娃看牙不焦虑。
牙元素口腔:
温馨社区门诊风:面积约1500㎡,色调以马卡龙色为主,矫正患者有专属“打卡墙”,定期举办“牙套派对”,年轻患者社交属性拉满。
1小时快速诊疗:基础项目(如补牙、洗牙)无需长时间等待,适合上班族午休就诊。

沈阳九诺口腔与牙元素哪家好?地址预约全攻略!
九诺口腔地址:
沈河区奉天街188号(金廊商圈店):地铁1号线青年大街站B口步行5分钟,停车免费3小时。
和平区南京南街108号(太原街店):24小时急诊服务,夜间种植询问至20:00。
牙元素口腔地址:
沈河区北站路51号(财富中 心店):地铁2号线金融中 心站D口直达,楼下就是网红咖啡店,看完牙还能打卡!
预约补贴:
九诺:在线预约免骨干医生挂号费(原价300元),首次种植检查送全景片+CT(价值580元)。
牙元素:私信预约矫正送口腔护理大礼包(含电动牙刷+牙间刷),学生矫正可多次0利息。

理性总结:沈阳九诺口腔与牙元素到底怎么选?
选九诺口腔:适合牙槽骨条件差、高龄种植、复杂矫正、追求“一步到位”治疗的患者,尤其推荐中老年朋友和疑难病例。
选牙元素口腔:适合预算有限、基础种植/矫正、注重就诊效率和体验的年轻人,学生党和上班族优选。
末尾提醒:无论选哪家,一定要先做免费口腔CT检查(两家都提供),让医生评估后再决定!现在点击文章底部“在线询问”,还能获取2025年专属折扣码,帮你省下一顿火锅钱~
希望这篇攻略能帮你选到心仪的口腔机构,记得:看牙要趁早,健康没烦恼!?

评价(已有0人点评)