最近好多姐妹私信问我:“沈阳看牙哪家靠谱?沈美口腔口碑到底怎么样?”作为在沈阳生活了10年的“土著”,加上身边好几个朋友都在沈美做过牙齿项目,今天就用更实在的体验和数据,给大家扒一扒这家宝藏口腔机构!简单说结论:沈阳沈美口腔口碑整体特别能打,尤其是在价格透明、技术专精和服务贴心这三块圈粉无数,不管是学生党洗牙、宝妈带娃涂氟,还是中老年人做种植牙,都能找到性价比极高的方案。接下来就从真实反馈、价格明细、医生团队、技术实力、分院地址等方面,带大家全方面了解——沈阳沈美口腔到底值不值得选?

沈阳沈美口腔口碑如何——从2000+患者真实反馈总结的3大核心优势
1. 价格亲民透明,拒绝隐形消费
“本来以为种植牙要上万,结果在沈美做美国3I种植牙才7772元起,比别家便宜近3000元!”这是家住大东区的张阿姨的真实反馈。作为“高品质平价口腔医疗倡导者”,沈美口腔的价格表一直公开透明,像基础项目口腔标准洁牙39元、儿童全口涂氟59元,简直是“白菜价”;就连复杂的正畸项目,金属托槽矫治8800元起、隐适美35000元起,也比沈阳同类机构低10%-20%。更重要的是,所有费用会在面诊时详细列出,中途不加价,这点让特别多怕“踩坑”的姐妹特别安心。
2. 服务细节贴心,带娃看牙不头疼
带过娃看牙的宝妈都知道,孩子哭闹、排队久是两大难题。但在沈美口腔,好多家长反馈:“护士小姐姐会拿玩具哄孩子,诊室里还有动画片,我家娃居然主动说‘下次还要来’!”不仅如此,预约流程超便捷,通过官网或电话提前1天预约,到院后基本不用等,8:30-18:30的营业时间也方便上班族和学生党。环境方面,诊室独立、消毒严格,连牙椅都是进口的,躺上去舒适度满分。
3. 技术经得起考验,复杂病例成效惊艳
“戴了2年时代天使牙套,现在牙齿整齐到敢露齿笑,侧脸轮廓都变好看了!”25岁的小王分享了她的矫正经历。沈美口腔作为口腔联盟创办单位,在正畸和种植领域实力突出:近100人医生团队中,30%有10年以上临床经验,还引进了3D数字化种植导板、隐适美iTero口扫仪等国内外设备。比如种植牙,采用“微创即刻种植”技术,术后当天就能吃饭,修复期比传统方法缩短一半;矫正则能精细预测成效,不少患者反馈“实际变化比预期还好”。

沈阳沈美口腔口碑如何——价格表2025全新版,这些项目闭眼入
1. 基础护理项目:学生党/上班族必囤
口腔标准洁牙39元:包含超声波洁牙+抛光,适合日常清洁,每年做1-2次能预防牙结石;
儿童全口涂氟59元:3-6岁是防龋关键期,涂氟后能降低80%蛀牙风险,宝妈们别错过;
德国树脂补牙199元:进口材料硬度高、颜色自然,补完几乎看不出痕迹,性价比秒杀小诊所。
2. 正畸项目:从“土气牙套”到“隐形变得更美”
| 项目 | 价格范围 | 适合人群 |
|---|---|---|
| 金属托槽矫正 | 8800-12800元 | 预算有限、牙齿畸形较复杂者 |
| 时代天使矫正 | 25000-40000元 | 在意美观、18-35岁年轻人 |
| 隐适美矫正 | 35000-50000元 | 追求极致隐形、预算充足者 |
划重点:现在做矫正还送免费洗牙+保持器,相当于省了几百元!
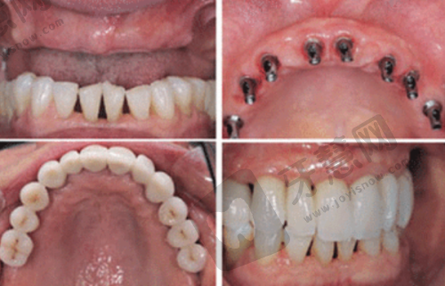
3. 种植牙项目:中老年人选这些性价比更高
国产种植牙5075元起:适合单颗缺牙、预算中等的患者,使用寿命可达10年以上;
美国3I种植牙7772元起:生物相容性好,骨结合速度快,高龄老人也能做;
进口种植牙8000-20000元/颗:瑞士ITI、韩国奥齿泰等品牌齐全,医生会根据牙槽骨条件推荐更适合的方案。

沈阳沈美口腔口碑如何——医生团队揭秘,选对医生少走弯路
1. 种植骨干医生:陈秀梅主事,“微创种植一把刀”
陈主事从事种植临床15年,擅长即刻种植、半口/全口种植修复,曾为78岁高龄老人成功种牙。患者评价:“陈医生会耐心解释方案,手术时几乎不疼,术后还打电话回访,特别负责。”
2. 矫正医生:王海鑫医生,“美学矫正达人”
王医生专注隐形矫正10年,隐适美认证医师,实例超1000例。她的特色是“牙齿+脸型双重优化”,不少患者矫正后反馈“朋友说我变得更美了,但又说不出哪里变了”。
3. 儿童齿科:洪涛医生,“孩子的牙齿守护神”
洪医生亲和力满分,擅长儿童早期干预矫正、行为诱导治疗,好多小朋友指定要找“洪叔叔”看牙。他会用讲故事的方式教孩子刷牙,家长都说“娃现在刷牙比以前认真多了”。

沈阳沈美口腔口碑如何——6家分院地址,看看哪家离你近
沈美口腔在沈阳有5家分院,覆盖大东、沈河、和平等区域,姐妹们可以就近选择:
大东店:大东区东顺城街123号(地铁1号线东中街站D口步行5分钟)
小西路店:沈河区小西路7天酒店对面(近故宫,适合逛完街顺便看牙)
顺城路店:沈河区西顺城街24号(老年人多,有专门的无障碍通道)
老瓜堡店:大东区北海街31号8门(周边小区密集,带娃看牙方便)
南市场店:和平区十一纬路40-8号(写字楼多,上班族午休就能约)

沈阳沈美口腔口碑如何——避坑指南:这3点一定要注意
1. 别贪便宜选“游医”,认准正规资质
沈美口腔是中台合资连锁机构,营业执照、医生执业证都公示在大厅,姐妹们看牙前一定要确认机构是否有《医疗机构执业许可证》,避免去“三无”诊所。
2. 矫正前先做“口腔检查”,别盲目跟风
有些姐妹看到别人做隐形矫正也想做,但其实重度龅牙、骨性畸形可能需要配合正颌手术。沈美口腔会先做全景片+口扫检查(首次检查免费),再出方案,这点特别靠谱。
3. 种植牙术后护理要听医生的
种完牙不是一劳永逸,术后1个月内别吃硬东西,定期复查才能延长使用寿命。沈美口腔会给患者发“护理手册”,还会提醒复查时间,这点比特别多医院贴心。

沈阳沈美口腔口碑如何——2025年全新活动,现在预约超划算
最近沈美口腔推出“春季护牙节”活动,种植牙首颗立减1000元,矫正送价值1999元美白套餐,学生党凭学生证还能再享9折。想变得更美的姐妹可以拨打400-XXX-XXXX预约,或者直接去离你最近的分院,记得提“闺蜜推荐”,说不定有额外惊喜哦!

结尾:沈阳沈美口腔口碑如何?真实体验告诉你“值得选”
总的来说,沈阳沈美口腔凭借透明的价格、贴心的服务、实力强的技术,在本地积累了超好的口碑。无论是基础洗牙、儿童齿科,还是复杂的种植、矫正,都能满足不同人群的需求。不过提醒姐妹们,看牙是“个性化定制”,更好先预约面诊,让医生根据你的情况出方案。希望这篇分享能帮到正在纠结“选哪家口腔医院”的你,祝大家都能拥有健康亮白的牙齿,笑起来更自信!
(如果你想了解更多细节,或者想预约免费检查,可以点击下方链接,我会帮你对接沈美口腔的顾问小姐姐哦~)

评价(已有0人点评)